电话:
+86 (0512) 65829739
传真:
+86 (010) 6788 5057
电子邮件:
orders@antibodies-online.cn

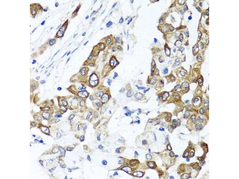
PPOX 抗体 (AA 1-280)

The 兔 多克隆 anti-PPOX antibody (ABIN6146051) specifically detects PPOX in WB 和 IHC. The antibody is reactive with 人 samples.
产品编号 ABIN6146051
发货至: 中国
Contact our Customer Service for availability and price in your country. Contact Info

Our Local Distributor

中国
北京 101111
No. 88 KeChuang 6th Street
Beijing Economic Technological Development Area
Room 801-803
4A Biotech Co.,Ltd.
Tel +86 (0512) 65829739 传真 +86 (010) 6788 5057

Quick Overview for PPOX 抗体 (AA 1-280) (ABIN6146051)

抗原

See all PPOX 抗体
PPOX (Protoporphyrinogen Oxidase (PPOX))

适用

  • 37
  • 23
  • 17
  • 4
  • 4
  • 3
  • 3
  • 2
  • 2
  • 1
  • 1
  • 1
  • 1

宿主

  • 36
  • 5

克隆类型

  • 37
  • 4
多克隆

标记

  • 22
  • 4
  • 2
  • 2
  • 2
  • 2
  • 2
  • 2
  • 2
  • 1
This PPOX antibody is un-conjugated

应用范围

  • 22
  • 11
  • 9
  • 7
  • 4
  • 2
  • 2
  • 1
  • 1
Western Blotting (WB), Immunohistochemistry (IHC)
  • 抗原表位

    • 5
    • 2
    • 2
    • 2
    • 1
    • 1
    • 1
    • 1
    AA 1-280

    序列

    MGRTVVVLGG GISGLAASYH LSRAPCPPKV VLVESSERLG GWIRSVRGPN GAIFELGPRG IRPAGALGAR TLLLVSELGL DSEVLPVRGD HPAAQNRFLY VGGALHALPT GLRGLLRPSP PFSKPLFWAG LRELTKPRGK EPDETVHSFA QRRLGPEVAS LAMDSLCRGV FAGNSRELSI RSCFPSLFQA EQTHRSILLG LLLGAGRTPQ PDSALIRQAL AERWSQWSLR GGLEMLPQAL ETHLTSRGVS VLRGQPVCGL SLQAEGRWKV SLRDSSLEAD

    交叉反应

    人, 小鼠

    产品特性

    Polyclonal Antibodies

    免疫原

    Recombinant fusion protein containing a sequence corresponding to amino acids 1-280 of human PPOX (NP_001116236.1).

    亚型

    IgG
  • 应用备注

    WB,1:500 - 1:2000,IHC,1:50 - 1:200

    说明

    HIGH QUALITY

    限制

    仅限研究用
  • 状态

    Liquid

    缓冲液

    PBS with 0.02 % sodium azide,50 % glycerol, pH 7.3.

    储存液

    Sodium azide

    注意事项

    This product contains Sodium azide: a POISONOUS AND HAZARDOUS SUBSTANCE which should be handled by trained staff only.

    储存条件

    -20 °C

    储存方法

    Store at -20°C. Avoid freeze / thaw cycles.
  • 抗原

    PPOX (Protoporphyrinogen Oxidase (PPOX))

    别名

    PPOX

    背景

    This gene encodes the penultimate enzyme of heme biosynthesis, which catalyzes the 6-electron oxidation of protoporphyrinogen IX to form protoporphyrin IX. Mutations in this gene cause variegate porphyria, an autosomal dominant disorder of heme metabolism resulting from a deficiency in protoporphyrinogen oxidase, an enzyme located on the inner mitochondrial membrane. Alternatively spliced transcript variants encoding the same protein have been identified.,PPOX,PPO,V290M,VP,Endocrine & Metabolism,Mitochondrial metabolism,Mitochondrial markers,PPOX

    分子量

    50 kDa

    基因ID

    5498

    UniProt

    P50336

    途径

    Synaptic Membrane, Feeding Behaviour
You are here: