POLR2H 抗体 (AA 1-150)
Our Local Distributor
北京 101111
Quick Overview for POLR2H 抗体 (AA 1-150) (ABIN6145925)
抗原
See all POLR2H 抗体适用
宿主
克隆类型
标记
应用范围
-
-
抗原表位
- AA 1-150
-
序列
- MAGILFEDIF DVKDIDPEGK KFDRVSRLHC ESESFKMDLI LDVNIQIYPV DLGDKFRLVI ASTLYEDGTL DDGEYNPTDD RPSRADQFEY VMYGKVYRIE GDETSTEAAT RLSAYVSYGG LLMRLQGDAN NLHGFEVDSR VYLLMKKLAF
-
交叉反应
- 人, 小鼠, 大鼠
-
产品特性
- Polyclonal Antibodies
-
免疫原
- Recombinant fusion protein containing a sequence corresponding to amino acids 1-150 of human POLR2H (NP_006223.2).
-
亚型
- IgG
-
-
-
-
应用备注
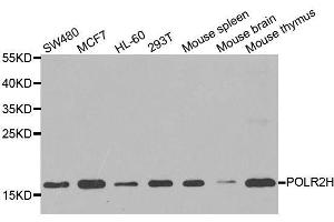
- WB,1:500 - 1:2000,IP,1:50 - 1:200
-
说明
-
HIGH QUALITY
-
限制
- 仅限研究用
-
-
-
状态
- Liquid
-
缓冲液
- PBS with 0.02 % sodium azide,50 % glycerol, pH 7.3.
-
储存液
- Sodium azide
-
注意事项
- This product contains Sodium azide: a POISONOUS AND HAZARDOUS SUBSTANCE which should be handled by trained staff only.
-
储存条件
- -20 °C
-
储存方法
- Store at -20°C. Avoid freeze / thaw cycles.
-
-
- POLR2H (Polymerase (RNA) II (DNA Directed) Polypeptide H (POLR2H))
-
别名
- POLR2H
-
背景
- The three eukaryotic RNA polymerases are complex multisubunit enzymes that play a central role in the transcription of nuclear genes. This gene encodes an essential and highly conserved subunit of RNA polymerase II that is shared by the other two eukaryotic DNA-directed RNA polymerases, I and III. Alternative splicing results in multiple transcript variants of this gene.,POLR2H,RPABC3,RPB17,RPB8,Epigenetics & Nuclear Signaling,Neuroscience,Neurodegenerative Diseases,POLR2H
-
分子量
- 9 kDa/12 kDa/13 kDa/17 kDa/19 kDa
-
基因ID
- 5437
-
UniProt
- P52434
-
途径
- Regulatory RNA Pathways
抗原
-