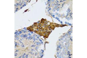
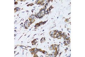
PGRMC1 抗体 (AA 44-195)
Our Local Distributor
北京 101111
Quick Overview for PGRMC1 抗体 (AA 44-195) (ABIN6145520)
抗原
See all PGRMC1 抗体适用
宿主
克隆类型
标记
应用范围
-
-
抗原表位
- AA 44-195
-
序列
- KIVRGDQPAA SGDSDDDEPP PLPRLKRRDF TPAELRRFDG VQDPRILMAI NGKVFDVTKG RKFYGPEGPY GVFAGRDASR GLATFCLDKE ALKDEYDDLS DLTAAQQETL SDWESQFTFK YHHVGKLLKE GEEPTVYSDE EEPKDESARK ND
-
交叉反应
- 人, 小鼠, 大鼠
-
产品特性
- Polyclonal Antibodies
-
免疫原
- Recombinant fusion protein containing a sequence corresponding to amino acids 44-195 of human PGRMC1 (NP_006658.1).
-
亚型
- IgG
-
-
-
-
应用备注
- WB,1:500 - 1:2000,IHC,1:50 - 1:100,IF,1:50 - 1:100
-
说明
-
HIGH QUALITY
-
限制
- 仅限研究用
-
-
-
状态
- Liquid
-
缓冲液
- PBS with 0.02 % sodium azide,50 % glycerol, pH 7.3.
-
储存液
- Sodium azide
-
注意事项
- This product contains Sodium azide: a POISONOUS AND HAZARDOUS SUBSTANCE which should be handled by trained staff only.
-
储存条件
- -20 °C
-
储存方法
- Store at -20°C. Avoid freeze / thaw cycles.
-
-
- PGRMC1 (Progesterone Receptor Membrane Component 1 (PGRMC1))
-
别名
- PGRMC1
-
背景
- This gene encodes a putative membrane-associated progesterone steroid receptor. The protein is expressed predominantly in the liver and kidney.,PGRMC1,HPR6.6,MPR,Cancer,Signal Transduction,Cell Biology & Developmental Biology,Growth factor,Cardiovascular,Hypoxia,PGRMC1
-
分子量
- 15 kDa/21 kDa
-
基因ID
- 10857
-
UniProt
- O00264
抗原
-