电话:
+86 (0512) 65829739
传真:
+86 (010) 6788 5057
电子邮件:
orders@antibodies-online.cn

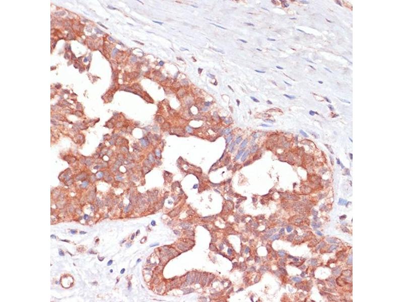
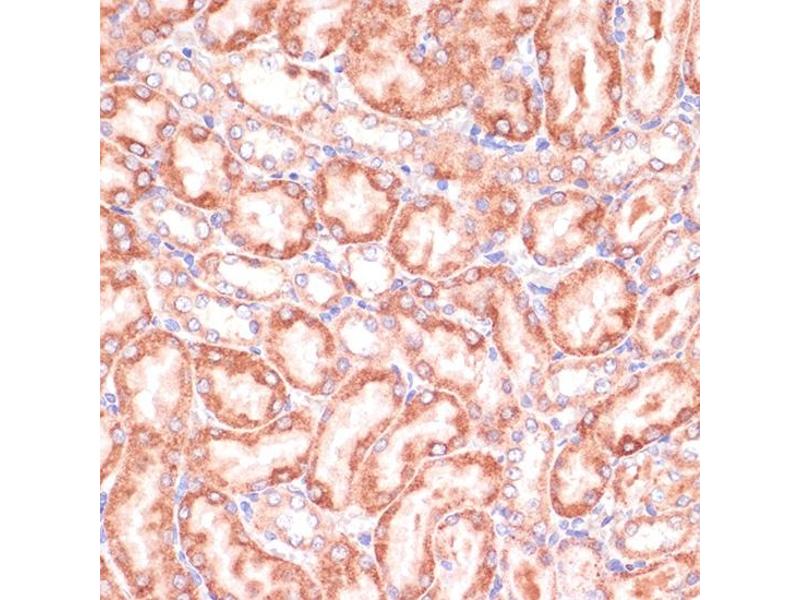
PGD 抗体 (AA 184-483)

This 兔 多克隆 antibody specifically detects PGD in WB, IF 和 IHC. It exhibits reactivity toward 人.
产品编号 ABIN6145502
发货至: 中国
Contact our Customer Service for availability and price in your country. Contact Info

Our Local Distributor

中国
北京 101111
No. 88 KeChuang 6th Street
Beijing Economic Technological Development Area
Room 801-803
4A Biotech Co.,Ltd.
Tel +86 (0512) 65829739 传真 +86 (010) 6788 5057

Quick Overview for PGD 抗体 (AA 184-483) (ABIN6145502)

抗原

See all PGD 抗体
PGD (Phosphogluconate Dehydrogenase (PGD))

适用

  • 72
  • 33
  • 29
  • 2
  • 2
  • 2
  • 2
  • 2
  • 1
  • 1
  • 1
  • 1
  • 1
  • 1
  • 1

宿主

  • 67
  • 5

克隆类型

  • 45
  • 27
多克隆

标记

  • 31
  • 6
  • 5
  • 3
  • 3
  • 3
  • 3
  • 3
  • 3
  • 3
  • 2
  • 2
  • 2
  • 2
  • 1
This PGD antibody is un-conjugated

应用范围

  • 56
  • 35
  • 23
  • 21
  • 19
  • 16
  • 14
  • 4
  • 2
  • 2
  • 1
  • 1
  • 1
  • 1
Western Blotting (WB), Immunofluorescence (IF), Immunohistochemistry (IHC)
  • 抗原表位

    • 12
    • 5
    • 4
    • 2
    • 2
    • 1
    • 1
    • 1
    • 1
    • 1
    • 1
    • 1
    • 1
    • 1
    • 1
    • 1
    AA 184-483

    序列

    KMVHNGIEYG DMQLICEAYH LMKDVLGMAQ DEMAQAFEDW NKTELDSFLI EITANILKFQ DTDGKHLLPK IRDSAGQKGT GKWTAISALE YGVPVTLIGE AVFARCLSSL KDERIQASKK LKGPQKFQFD GDKKSFLEDI RKALYASKII SYAQGFMLLR QAATEFGWTL NYGGIALMWR GGCIIRSVFL GKIKDAFDRN PELQNLLLDD FFKSAVENCQ DSWRRAVSTG VQAGIPMPCF TTALSFYDGY RHEMLPASLI QAQRDYFGAH TYELLAKPGQ FIHTNWTGHG GTVSSSSYNA

    交叉反应

    人, 小鼠, 大鼠

    产品特性

    Polyclonal Antibodies

    免疫原

    Recombinant fusion protein containing a sequence corresponding to amino acids 184-483 of human PGD (NP_002622.2).

    亚型

    IgG
  • 应用备注

    WB,1:500 - 1:2000,IHC,1:50 - 1:200,IF,1:50 - 1:200

    说明

    HIGH QUALITY

    限制

    仅限研究用
  • 状态

    Liquid

    缓冲液

    PBS with 0.02 % sodium azide,50 % glycerol, pH 7.3.

    储存液

    Sodium azide

    注意事项

    This product contains Sodium azide: a POISONOUS AND HAZARDOUS SUBSTANCE which should be handled by trained staff only.

    储存条件

    -20 °C

    储存方法

    Store at -20°C. Avoid freeze / thaw cycles.
  • 抗原

    PGD (Phosphogluconate Dehydrogenase (PGD))

    别名

    PGD

    背景

    6-phosphogluconate dehydrogenase is the second dehydrogenase in the pentose phosphate shunt. Deficiency of this enzyme is generally asymptomatic, and the inheritance of this disorder is autosomal dominant. Hemolysis results from combined deficiency of 6-phosphogluconate dehydrogenase and 6-phosphogluconolactonase suggesting a synergism of the two enzymopathies. Several transcript variants encoding different isoforms have been found for this gene.,PGD,6PGD,Signal Transduction,Endocrine & Metabolism,PGD

    分子量

    51 kDa/53 kDa

    基因ID

    5226

    UniProt

    P52209
You are here: