电话:
+86 (0512) 65829739
传真:
+86 (010) 6788 5057
电子邮件:
orders@antibodies-online.cn

PFKM 抗体 (AA 501-780)

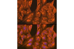
This 兔 多克隆 antibody specifically detects PFKM in WB 和 IF. It exhibits reactivity toward 人.
产品编号 ABIN6145488
发货至: 中国
Contact our Customer Service for availability and price in your country. Contact Info

Our Local Distributor

中国
北京 101111
No. 88 KeChuang 6th Street
Beijing Economic Technological Development Area
Room 801-803
4A Biotech Co.,Ltd.
Tel +86 (0512) 65829739 传真 +86 (010) 6788 5057

Quick Overview for PFKM 抗体 (AA 501-780) (ABIN6145488)

抗原

See all PFKM 抗体
PFKM (phosphofructokinase, Muscle (PFKM))

适用

  • 91
  • 50
  • 46
  • 9
  • 2
  • 2
  • 2
  • 2
  • 1
  • 1
  • 1

宿主

  • 83
  • 9
  • 6
  • 4

克隆类型

  • 65
  • 37
多克隆

标记

  • 52
  • 10
  • 4
  • 4
  • 4
  • 4
  • 4
  • 4
  • 4
  • 4
  • 2
  • 2
  • 2
  • 2
This PFKM antibody is un-conjugated

应用范围

  • 83
  • 38
  • 35
  • 34
  • 16
  • 13
  • 8
  • 6
  • 5
  • 3
  • 2
  • 2
  • 2
  • 1
  • 1
Western Blotting (WB), Immunofluorescence (IF)
  • 抗原表位

    • 8
    • 8
    • 6
    • 5
    • 5
    • 5
    • 3
    • 2
    • 2
    • 2
    • 1
    • 1
    • 1
    • 1
    • 1
    • 1
    • 1
    AA 501-780

    序列

    AYTGGLELME GRKQFDELCI PFVVIPATVS NNVPGSDFSV GADTALNTIC TTCDRIKQSA AGTKRRVFII ETMGGYCGYL ATMAGLAAGA DAAYIFEEPF TIRDLQANVE HLVQKMKTTV KRGLVLRNEK CNENYTTDFI FNLYSEEGKG IFDSRKNVLG HMQQGGSPTP FDRNFATKMG AKAMNWMSGK IKESYRNGRI FANTPDSGCV LGMRKRALVF QPVAELKDQT DFEHRIPKEQ WWLKLRPILK ILAKYEIDLD TSDHAHLEHI TRKRSGEAAV

    交叉反应

    人, 小鼠, 大鼠

    产品特性

    Polyclonal Antibodies

    免疫原

    Recombinant fusion protein containing a sequence corresponding to amino acids 501-780 of human PFKM (NP_001160160.1).

    亚型

    IgG
  • 应用备注

    WB,1:500 - 1:2000,IF,1:50 - 1:200

    说明

    HIGH QUALITY

    限制

    仅限研究用
  • 状态

    Liquid

    缓冲液

    PBS with 0.02 % sodium azide,50 % glycerol, pH 7.3.

    储存液

    Sodium azide

    注意事项

    This product contains Sodium azide: a POISONOUS AND HAZARDOUS SUBSTANCE which should be handled by trained staff only.

    储存条件

    -20 °C

    储存方法

    Store at -20°C. Avoid freeze / thaw cycles.
  • 抗原

    PFKM (phosphofructokinase, Muscle (PFKM))

    别名

    PFKM

    背景

    Three phosphofructokinase isozymes exist in humans: muscle, liver and platelet. These isozymes function as subunits of the mammalian tetramer phosphofructokinase, which catalyzes the phosphorylation of fructose-6-phosphate to fructose-1,6-bisphosphate. Tetramer composition varies depending on tissue type. This gene encodes the muscle-type isozyme. Mutations in this gene have been associated with glycogen storage disease type VII, also known as Tarui disease. Alternatively spliced transcript variants have been described.,PFKM,ATP-PFK,GSD7,PFK-1,PFK1,PFKA,PFKX,PPP1R122,Cancer,Signal Transduction,Endocrine & Metabolism,Carbohydrate metabolism,Warburg Effect,PFKM

    分子量

    81 kDa/85 kDa/93 kDa

    基因ID

    5213

    UniProt

    P08237

    途径

    Positive Regulation of Peptide Hormone Secretion, Negative Regulation of Hormone Secretion, Carbohydrate Homeostasis, Warburg Effect
You are here: