电话:
+86 (0512) 65829739
传真:
+86 (010) 6788 5057
电子邮件:
orders@antibodies-online.cn

PCDHA12 抗体 (AA 713-792)

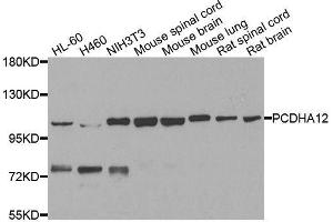
This 兔 多克隆 antibody specifically detects PCDHA12 in WB. It exhibits reactivity toward 人.
产品编号 ABIN6145297
发货至: 中国
Contact our Customer Service for availability and price in your country. Contact Info

Our Local Distributor

中国
北京 101111
No. 88 KeChuang 6th Street
Beijing Economic Technological Development Area
Room 801-803
4A Biotech Co.,Ltd.
Tel +86 (0512) 65829739 传真 +86 (010) 6788 5057

Quick Overview for PCDHA12 抗体 (AA 713-792) (ABIN6145297)

抗原

See all PCDHA12 抗体
PCDHA12 (Protocadherin alpha 12 (PCDHA12))

适用

  • 35
  • 5
  • 3
  • 2
  • 2
  • 2
  • 2
  • 1
  • 1
  • 1

宿主

  • 33
  • 2

克隆类型

  • 33
  • 2
多克隆

标记

  • 15
  • 2
  • 2
  • 2
  • 2
  • 1
  • 1
  • 1
  • 1
  • 1
  • 1
  • 1
  • 1
  • 1
  • 1
  • 1
  • 1
This PCDHA12 antibody is un-conjugated

应用范围

  • 16
  • 15
  • 13
  • 13
  • 10
  • 5
  • 3
  • 2
  • 2
  • 1
Western Blotting (WB)
  • 抗原表位

    • 15
    • 8
    • 5
    • 1
    • 1
    • 1
    • 1
    • 1
    • 1
    AA 713-792

    序列

    LTLLLYTALR CSAPPTVSRC APGKPTLVCS SAVGSWSYSQ QRRQRVCSAE SPPKTDLMAF SPSLQLSRED CLNPPSEVSY

    交叉反应

    人, 小鼠, 大鼠

    产品特性

    Polyclonal Antibodies

    免疫原

    Recombinant fusion protein containing a sequence corresponding to amino acids 713-792 of human PCDHA12 (NP_114070.1).

    亚型

    IgG
  • 应用备注

    WB,1:500 - 1:2000

    说明

    HIGH QUALITY

    限制

    仅限研究用
  • 状态

    Liquid

    缓冲液

    PBS with 0.02 % sodium azide,50 % glycerol, pH 7.3.

    储存液

    Sodium azide

    注意事项

    This product contains Sodium azide: a POISONOUS AND HAZARDOUS SUBSTANCE which should be handled by trained staff only.

    储存条件

    -20 °C

    储存方法

    Store at -20°C. Avoid freeze / thaw cycles.
  • 抗原

    PCDHA12 (Protocadherin alpha 12 (PCDHA12))

    别名

    PCDHA12

    背景

    This gene is a member of the protocadherin alpha gene cluster, one of three related gene clusters tandemly linked on chromosome five that demonstrate an unusual genomic organization similar to that of B-cell and T-cell receptor gene clusters. The alpha gene cluster is composed of 15 cadherin superfamily genes related to the mouse CNR genes and consists of 13 highly similar and 2 more distantly related coding sequences. The tandem array of 15 N-terminal exons, or variable exons, are followed by downstream C-terminal exons, or constant exons, which are shared by all genes in the cluster. The large, uninterrupted N-terminal exons each encode six cadherin ectodomains while the C-terminal exons encode the cytoplasmic domain. These neural cadherin-like cell adhesion proteins are integral plasma membrane proteins that most likely play a critical role in the establishment and function of specific cell-cell connections in the brain. Alternative splicing has been observed and additional variants have been suggested but their full-length nature has yet to be determined.,PCDHA12,PCDH-ALPHA12,Cancer,Invasion and Metastasis,Signal Transduction,Cell Biology & Developmental Biology,Cell Cycle,Centrosome,Cell Adhesion,Cadherins,Cytoskeleton,Neuroscience,Calcium Signaling,PCDHA12

    分子量

    85 kDa/101 kDa

    基因ID

    56137

    UniProt

    Q9UN75
You are here: