PARP8 抗体 (AA 1-300)
Our Local Distributor
北京 101111
Quick Overview for PARP8 抗体 (AA 1-300) (ABIN6145242)
抗原
适用
宿主
克隆类型
标记
应用范围
-
-
抗原表位
- AA 1-300
-
序列
- MGMCSRQERI QKDIDVVIQK SRAEKDCLFA DFRYSDSTFT FTYVGGPRSV SYSVHVSEDY PDNTYVSSSE NDEDVLVTTE PIPVIFHRIA TELRKTNDIN CCLSIKSKLQ KENGEESRQN STVEEDSEGD NDSEEFYYGG QVNYDGELHK HPQLEADLSA VREIYGPHAV SLREYGAIDD VDIDLHIDVS FLDEEIAVAW EVIRTEPIIV RLHCSLTQYL NGPVPTVDVF QISTKERFGL GHQLKKIMQT FVTQQWKQSK EKSNCLHNKK LSEKKVKSPL HLFSTLRRSP SYPPPGCGKS
-
交叉反应
- 人, 小鼠, 大鼠
-
产品特性
- Polyclonal Antibodies
-
免疫原
- Recombinant fusion protein containing a sequence corresponding to amino acids 1-300 of human PARP8 (NP_001171527.1).
-
亚型
- IgG
-
-
-
-
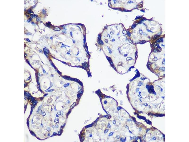
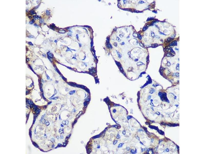
应用备注
- WB,1:500 - 1:2000,IHC,1:50 - 1:200
-
说明
-
HIGH QUALITY
-
限制
- 仅限研究用
-
-
-
状态
- Liquid
-
缓冲液
- PBS with 0.02 % sodium azide,50 % glycerol, pH 7.3.
-
储存液
- Sodium azide
-
注意事项
- This product contains Sodium azide: a POISONOUS AND HAZARDOUS SUBSTANCE which should be handled by trained staff only.
-
储存条件
- -20 °C
-
储存方法
- Store at -20°C. Avoid freeze / thaw cycles.
-
-
- PARP8 (Poly (ADP-Ribose) Polymerase Family, Member 8 (PARP8))
-
别名
- PARP8
-
背景
- Mono-ADP-ribosyltransferase that mediates mono-ADP-ribosylation of target proteins.,PARP8,ARTD16,pART16,Epigenetics & Nuclear Signaling,PARP8
-
分子量
- 91 kDa/95 kDa
-
基因ID
- 79668
-
UniProt
- Q8N3A8
抗原
-