电话:
+86 (0512) 65829739
传真:
+86 (010) 6788 5057
电子邮件:
orders@antibodies-online.cn

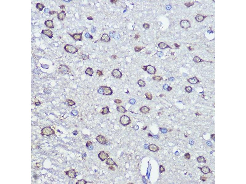
NFS1 抗体 (AA 208-457)

The 兔 多克隆 anti-NFS1 antibody is suitable to detect NFS1 in samples from 人. It has been validated for WB, IHC 和 IF.
产品编号 ABIN6144595
发货至: 中国
Contact our Customer Service for availability and price in your country. Contact Info

Our Local Distributor

中国
北京 101111
No. 88 KeChuang 6th Street
Beijing Economic Technological Development Area
Room 801-803
4A Biotech Co.,Ltd.
Tel +86 (0512) 65829739 传真 +86 (010) 6788 5057

Quick Overview for NFS1 抗体 (AA 208-457) (ABIN6144595)

抗原

See all NFS1 抗体
NFS1 (NFS1, Cysteine Desulfurase (NFS1))

适用

  • 36
  • 17
  • 15
  • 2
  • 2
  • 2
  • 1
  • 1
  • 1
  • 1
  • 1

宿主

  • 28
  • 8

克隆类型

  • 30
  • 6
多克隆

标记

  • 24
  • 2
  • 1
  • 1
  • 1
  • 1
  • 1
  • 1
  • 1
  • 1
  • 1
  • 1
This NFS1 antibody is un-conjugated

应用范围

  • 28
  • 15
  • 9
  • 4
  • 4
  • 2
  • 2
  • 2
  • 1
Western Blotting (WB), Immunohistochemistry (IHC), Immunofluorescence (IF)
  • 抗原表位

    • 7
    • 2
    • 2
    • 2
    • 2
    • 2
    • 1
    • 1
    • 1
    • 1
    • 1
    • 1
    AA 208-457

    序列

    EIGVKQPIAE IGRICSSRKV YFHTDAAQAV GKIPLDVNDM KIDLMSISGH KIYGPKGVGA IYIRRRPRVR VEALQSGGGQ ERGMRSGTVP TPLVVGLGAA CEVAQQEMEY DHKRISKLSE RLIQNIMKSL PDVVMNGDPK HHYPGCINLS FAYVEGESLL MALKDVALSS GSACTSASLE PSYVLRAIGT DEDLAHSSIR FGIGRFTTEE EVDYTVEKCI QHVKRLREMS PLWEMVQDGI DLKSIKWTQH

    交叉反应

    人, 小鼠, 大鼠

    产品特性

    Polyclonal Antibodies

    免疫原

    Recombinant fusion protein containing a sequence corresponding to amino acids 208-457 of human NFS1 (NP_066923.3).

    亚型

    IgG
  • 应用备注

    WB,1:500 - 1:2000,IHC,1:50 - 1:200,IF,1:50 - 1:200

    说明

    HIGH QUALITY

    限制

    仅限研究用
  • 状态

    Liquid

    缓冲液

    PBS with 0.02 % sodium azide,50 % glycerol, pH 7.3.

    储存液

    Sodium azide

    注意事项

    This product contains Sodium azide: a POISONOUS AND HAZARDOUS SUBSTANCE which should be handled by trained staff only.

    储存条件

    -20 °C

    储存方法

    Store at -20°C. Avoid freeze / thaw cycles.
  • 抗原

    NFS1 (NFS1, Cysteine Desulfurase (NFS1))

    别名

    NFS1

    背景

    Iron-sulfur clusters are required for the function of many cellular enzymes. The proteins encoded by this gene supply inorganic sulfur to these clusters by removing the sulfur from cysteine, creating alanine in the process. This gene uses alternate in-frame translation initiation sites to generate mitochondrial forms and cytoplasmic/nuclear forms. Selection of the alternative initiation sites is determined by the cytosolic pH . The encoded proteins belong to the class-V family of pyridoxal phosphate-dependent aminotransferases. Alternatively spliced transcript variants have been described.,NFS1,HUSSY-08,IscS,NIFS,Signal Transduction,Endocrine & Metabolism,Amino acid metabolism,Neuroscience,Neurodegenerative Diseases Markers,Other Neurological disorders,NFS1

    分子量

    44 kDa/50 kDa

    基因ID

    9054

    UniProt

    Q9Y697

    途径

    Transition Metal Ion Homeostasis
You are here: