NASP 抗体 (AA 180-449)
Our Local Distributor
北京 101111
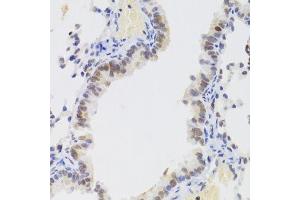
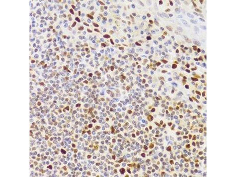
Quick Overview for NASP 抗体 (AA 180-449) (ABIN6144374)
抗原
See all NASP 抗体适用
宿主
克隆类型
标记
应用范围
-
-
抗原表位
- AA 180-449
-
序列
- WDMLDLAKII FKRQETKEAQ LYAAQAHLKL GEVSVESENY VQAVEEFQSC LNLQEQYLEA HDRLLAETHY QLGLAYGYNS QYDEAVAQFS KSIEVIENRM AVLNEQVKEA EGSSAEYKKE IEELKELLPE IREKIEDAKE SQRSGNVAEL ALKATLVESS TSGFTPGGGG SSVSMIASRK PTDGASSSNC VTDISHLVRK KRKPEEESPR KDDAKKAKQE PEVNGGSGDA VPSGNEVSEN MEEEAENQAE SRAAVEGTVE AGATVESTAC
-
交叉反应
- 人, 小鼠, 大鼠
-
产品特性
- Polyclonal Antibodies
-
免疫原
- Recombinant fusion protein containing a sequence corresponding to amino acids 180-449 of human NASP (NP_689511.2).
-
亚型
- IgG
-
-
-
-
应用备注
- WB,1:500 - 1:2000,IHC,1:50 - 1:200,IF,1:50 - 1:200
-
说明
-
HIGH QUALITY
-
限制
- 仅限研究用
-
-
-
状态
- Liquid
-
缓冲液
- PBS with 0.02 % sodium azide,50 % glycerol, pH 7.3.
-
储存液
- Sodium azide
-
注意事项
- This product contains Sodium azide: a POISONOUS AND HAZARDOUS SUBSTANCE which should be handled by trained staff only.
-
储存条件
- -20 °C
-
储存方法
- Store at -20°C. Avoid freeze / thaw cycles.
-
-
- NASP (Nuclear Autoantigenic Sperm Protein (Histone-Binding) (NASP))
-
别名
- NASP
-
背景
- This gene encodes a H1 histone binding protein that is involved in transporting histones into the nucleus of dividing cells. Multiple isoforms are encoded by transcript variants of this gene. The somatic form is expressed in all mitotic cells, is localized to the nucleus, and is coupled to the cell cycle. The testicular form is expressed in embryonic tissues, tumor cells, and the testis. In male germ cells, this protein is localized to the cytoplasm of primary spermatocytes, the nucleus of spermatids, and the periacrosomal region of mature spermatozoa.,NASP,FLB7527,HMDRA1,PRO1999,Epigenetics & Nuclear Signaling,Chromatin Remodeling,Cell Biology & Developmental Biology,Cell Cycle,NASP
-
分子量
- 48 kDa/78 kDa/85 kDa/86 kDa
-
基因ID
- 4678
-
UniProt
- P49321
抗原
-