电话:
+86 (0512) 65829739
传真:
+86 (010) 6788 5057
电子邮件:
orders@antibodies-online.cn

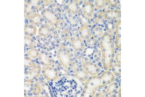
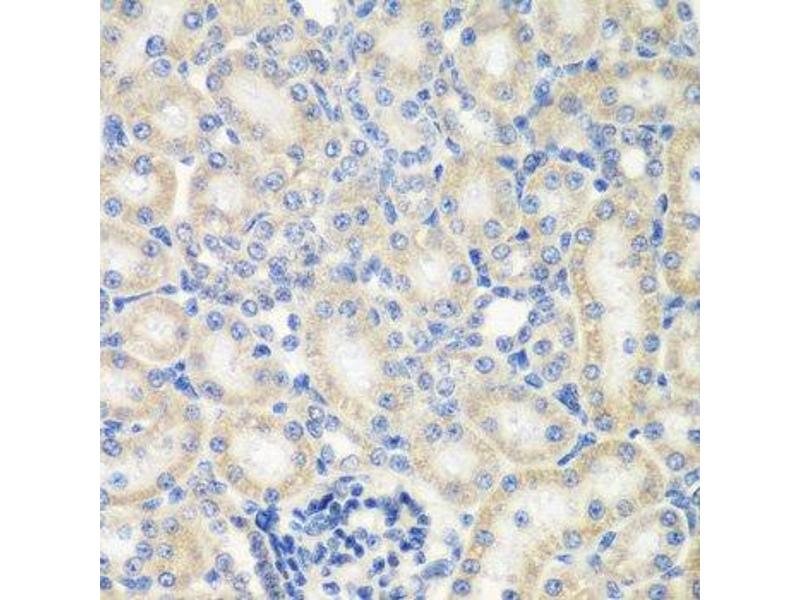
NAA50 抗体 (AA 1-169)

This 兔 多克隆 antibody specifically detects NAA50 in WB, IF 和 IHC. It exhibits reactivity toward 人.
产品编号 ABIN6144326
发货至: 中国
Contact our Customer Service for availability and price in your country. Contact Info

Our Local Distributor

中国
北京 101111
No. 88 KeChuang 6th Street
Beijing Economic Technological Development Area
Room 801-803
4A Biotech Co.,Ltd.
Tel +86 (0512) 65829739 传真 +86 (010) 6788 5057

Quick Overview for NAA50 抗体 (AA 1-169) (ABIN6144326)

抗原

See all NAA50 抗体
NAA50 (N(alpha)-Acetyltransferase 50, NatE Catalytic Subunit (NAA50))

适用

  • 18
  • 4
  • 3
  • 2
  • 2
  • 2
  • 2
  • 2
  • 1
  • 1

宿主

  • 18

克隆类型

  • 18
多克隆

标记

  • 13
  • 1
  • 1
  • 1
  • 1
  • 1
This NAA50 antibody is un-conjugated

应用范围

  • 17
  • 10
  • 9
  • 2
  • 2
  • 1
Western Blotting (WB), Immunofluorescence (IF), Immunohistochemistry (IHC)
  • 抗原表位

    • 8
    • 4
    • 3
    • 2
    • 1
    AA 1-169

    序列

    MKGSRIELGD VTPHNIKQLK RLNQVIFPVS YNDKFYKDVL EVGELAKLAY FNDIAVGAVC CRVDHSQNQK RLYIMTLGCL APYRRLGIGT KMLNHVLNIC EKDGTFDNIY LHVQISNESA IDFYRKFGFE IIETKKNYYK RIEPADAHVL QKNLKVPSGQ NADVQKTDN

    交叉反应

    人, 小鼠, 大鼠

    产品特性

    Polyclonal Antibodies

    免疫原

    Recombinant fusion protein containing a sequence corresponding to amino acids 1-169 of human NAA50 (NP_079422.1).

    亚型

    IgG
  • 应用备注

    WB,1:200 - 1:2000,IHC,1:50 - 1:200,IF,1:50 - 1:200

    限制

    仅限研究用
  • 状态

    Liquid

    缓冲液

    PBS with 0.02 % sodium azide,50 % glycerol, pH 7.3.

    储存液

    Sodium azide

    注意事项

    This product contains Sodium azide: a POISONOUS AND HAZARDOUS SUBSTANCE which should be handled by trained staff only.

    储存条件

    -20 °C

    储存方法

    Store at -20°C. Avoid freeze / thaw cycles.
  • 抗原

    NAA50 (N(alpha)-Acetyltransferase 50, NatE Catalytic Subunit (NAA50))

    别名

    NAA50

    背景

    N-alpha-acetyltransferase that acetylates the N-terminus of proteins that retain their initiating methionine. Has a broad substrate specificity: able to acetylate the initiator methionine of most peptides, except for those with a proline in second position. Also displays N-epsilon-acetyltransferase activity by mediating acetylation of the side chain of specific lysines on proteins. Autoacetylates in vivo. The relevance of N-epsilon-acetyltransferase activity is however unclear: able to acetylate H4 in vitro, but this result has not been confirmed in vivo. Component of N-alpha-acetyltransferase complexes containing NAA10 and NAA15, which has N-alpha-acetyltransferase activity. Does not influence the acetyltransferase activity of NAA10. However, it negatively regulates the N-alpha-acetyltransferase activity of the N-terminal acetyltransferase A complex (also called the NatA complex. The multiprotein complexes probably constitute the major contributor for N-terminal acetylation at the ribosome exit tunnel, with NAA10 acetylating all amino termini that are devoid of methionine and NAA50 acetylating other peptides. Required for sister chromatid cohesion during mitosis by promoting binding of CDCA5/sororin to cohesin: may act by counteracting the function of NAA10.,NAA50,MAK3,NAT13,NAT13P,NAT5,NAT5P,SAN,Epigenetics & Nuclear Signaling,Cell Biology & Developmental Biology,NAA50

    分子量

    9 kDa/19 kDa

    基因ID

    80218

    UniProt

    Q9GZZ1
You are here: