电话:
+86 (0512) 65829739
传真:
+86 (010) 6788 5057
电子邮件:
orders@antibodies-online.cn

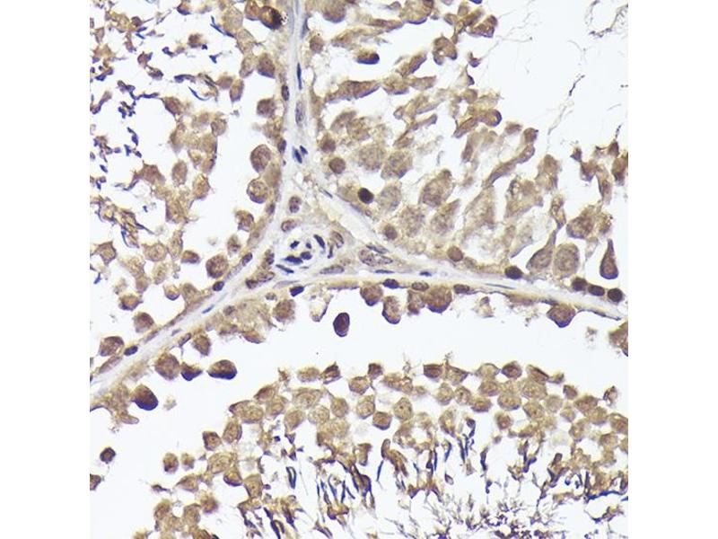
METTL4 抗体 (AA 1-190)

The 兔 多克隆 anti-METTL4 antibody is suitable to detect METTL4 in samples from 人. It has been validated for WB, IHC 和 IF.
产品编号 ABIN6143773
发货至: 中国
Contact our Customer Service for availability and price in your country. Contact Info

Our Local Distributor

中国
北京 101111
No. 88 KeChuang 6th Street
Beijing Economic Technological Development Area
Room 801-803
4A Biotech Co.,Ltd.
Tel +86 (0512) 65829739 传真 +86 (010) 6788 5057

Quick Overview for METTL4 抗体 (AA 1-190) (ABIN6143773)

抗原

See all METTL4 抗体
METTL4 (Methyltransferase Like 4 (METTL4))

适用

  • 17
  • 13
  • 5
  • 2
  • 2
  • 2
  • 2
  • 2
  • 1
  • 1
  • 1
  • 1
  • 1

宿主

  • 16
  • 1

克隆类型

  • 17
多克隆

标记

  • 12
  • 1
  • 1
  • 1
  • 1
  • 1
This METTL4 antibody is un-conjugated

应用范围

  • 17
  • 9
  • 9
  • 4
  • 1
  • 1
Western Blotting (WB), Immunohistochemistry (IHC), Immunofluorescence (IF)
  • 抗原表位

    • 9
    • 5
    • 2
    • 1
    • 1
    • 1
    AA 1-190

    序列

    MSVVHQLSAG WLLDHLSFIN KINYQLHQHH EPCCRKKEFT TSVHFESLQM DSVSSSGVCA AFIASDSSTK PENDDGGNYE MFTRKFVFRP ELFDVTKPYI TPAVHKECQQ SNEKEDLMNG VKKEISISII GKKRKRCVVF NQGELDAMEY HTKIRELILD GSLQLIQEGL KSGFLYPLFE KQDKGSKPIT

    交叉反应

    人, 小鼠, 大鼠

    产品特性

    Polyclonal Antibodies

    免疫原

    Recombinant fusion protein containing a sequence corresponding to amino acids 1-190 of human METTL4 (NP_073751.3).

    亚型

    IgG
  • 应用备注

    WB,1:1000 - 1:2000,IHC,1:50 - 1:200,IF,1:50 - 1:200

    限制

    仅限研究用
  • 状态

    Liquid

    缓冲液

    PBS with 0.02 % sodium azide,50 % glycerol, pH 7.3.

    储存液

    Sodium azide

    注意事项

    This product contains Sodium azide: a POISONOUS AND HAZARDOUS SUBSTANCE which should be handled by trained staff only.

    储存条件

    -20 °C

    储存方法

    Store at -20°C. Avoid freeze / thaw cycles.
  • 抗原

    METTL4 (Methyltransferase Like 4 (METTL4))

    别名

    METTL4

    背景

    N(6-adenine-specific methyltransferase that can methylate both RNAs and DNA. Acts as a N(6-adenine-specific RNA methyltransferase by catalyzing formation of N6,2'-O-dimethyladenosine (m6A(m on internal positions of U2 small nuclear RNA (snRNA: methylates the 6th position of adenine residues with a pre-deposited 2'-O-methylation. Internal m6A(m methylation of snRNAs regulates RNA splicing. Also able to act as a N(6-adenine-specific DNA methyltransferase by mediating methylation of DNA on the 6th position of adenine (N(6-methyladenosine. The existence of N(6-methyladenosine (m6A on DNA is however unclear in mammals, and additional evidences are required to confirm the role of the N(6-adenine-specific DNA methyltransferase activity of METTL4 in vivo. Acts as a regulator of mitochondrial transcript levels and mitochondrial DNA (mtDNA copy number by mediating mtDNA N(6-methylation: m6A on mtDNA reduces transcription by repressing TFAM DNA-binding and bending. N(6-methyladenosine deposition by METTL4 regulates Polycomb silencing by triggering ubiquitination and degradation of sensor proteins ASXL1 and MPND, leading to inactivation of the PR-DUB complex and subsequent preservation of Polycomb silencing (By similarity.,METTL4,HsT661,Epigenetics & Nuclear Signaling,METTL4

    分子量

    54 kDa

    基因ID

    64863

    UniProt

    Q8N3J2
You are here: