电话:
+86 (0512) 65829739
传真:
+86 (010) 6788 5057
电子邮件:
orders@antibodies-online.cn

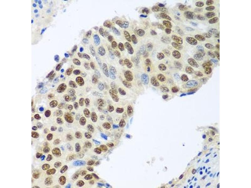
MDC1 抗体 (AA 1-350)

This 兔 多克隆 antibody specifically detects MDC1 in WB, IHC 和 IF. It exhibits reactivity toward 人.
产品编号 ABIN6143660
发货至: 中国
Contact our Customer Service for availability and price in your country. Contact Info

Our Local Distributor

中国
北京 101111
No. 88 KeChuang 6th Street
Beijing Economic Technological Development Area
Room 801-803
4A Biotech Co.,Ltd.
Tel +86 (0512) 65829739 传真 +86 (010) 6788 5057

Quick Overview for MDC1 抗体 (AA 1-350) (ABIN6143660)

抗原

See all MDC1 抗体
MDC1 (Mdc1 (MDC1))

适用

  • 57
  • 45
  • 16
  • 12
  • 11
  • 2
  • 1
  • 1

宿主

  • 47
  • 28

克隆类型

  • 47
  • 28
多克隆

标记

  • 27
  • 6
  • 6
  • 4
  • 3
  • 3
  • 3
  • 2
  • 2
  • 2
  • 1
  • 1
  • 1
  • 1
  • 1
  • 1
  • 1
  • 1
  • 1
  • 1
  • 1
  • 1
  • 1
  • 1
  • 1
  • 1
  • 1
This MDC1 antibody is un-conjugated

应用范围

  • 56
  • 21
  • 13
  • 13
  • 13
  • 13
  • 10
  • 10
  • 9
  • 6
  • 3
  • 2
  • 1
  • 1
  • 1
Western Blotting (WB), Immunohistochemistry (IHC), Immunofluorescence (IF)
  • 抗原表位

    • 21
    • 15
    • 10
    • 9
    • 5
    • 3
    • 2
    • 2
    • 1
    • 1
    • 1
    • 1
    • 1
    • 1
    • 1
    AA 1-350

    序列

    MEDTQAIDWD VEEEEETEQS SESLRCNVEP VGRLHIFSGA HGPEKDFPLH LGKNVVGRMP DCSVALPFPS ISKQHAEIEI LAWDKAPILR DCGSLNGTQI LRPPKVLSPG VSHRLRDQEL ILFADLLCQY HRLDVSLPFV SRGPLTVEET PRVQGETQPQ RLLLAEDSEE EVDFLSERRM VKKSRTTSSS VIVPESDEEG HSPVLGGLGP PFAFNLNSDT DVEEGQQPAT EEASSAARRG ATVEAKQSEA EVVTEIQLEK DQPLVKERDN DTKVKRGAGN GVVPAGVILE RSQPPGEDSD TDVDDDSRPP GRPAEVHLER AQPFGFIDSD TDAEEERIPA TPVVIPMKKR

    交叉反应

    产品特性

    Polyclonal Antibodies

    免疫原

    Recombinant fusion protein containing a sequence corresponding to amino acids 1-350 of human MDC1 (NP_055456.2).

    亚型

    IgG
  • 应用备注

    WB,1:500 - 1:2000,IHC,1:100 - 1:200,IF,1:50 - 1:200

    限制

    仅限研究用
  • 状态

    Liquid

    缓冲液

    PBS with 0.02 % sodium azide,50 % glycerol, pH 7.3.

    储存液

    Sodium azide

    注意事项

    This product contains Sodium azide: a POISONOUS AND HAZARDOUS SUBSTANCE which should be handled by trained staff only.

    储存条件

    -20 °C

    储存方法

    Store at -20°C. Avoid freeze / thaw cycles.
  • 抗原

    MDC1 (Mdc1 (MDC1))

    别名

    MDC1

    背景

    The protein encoded by this gene contains an N-terminal forkhead domain, two BRCA1 C-terminal (BRCT) motifs and a central domain with 13 repetitions of an approximately 41-amino acid sequence. The encoded protein is required to activate the intra-S phase and G2/M phase cell cycle checkpoints in response to DNA damage. This nuclear protein interacts with phosphorylated histone H2AX near sites of DNA double-strand breaks through its BRCT motifs, and facilitates recruitment of the ATM kinase and meiotic recombination 11 protein complex to DNA damage foci.,MDC1,NFBD1,Epigenetics & Nuclear Signaling,DNA Damage & Repair,MDC1

    分子量

    116 kDa/195 kDa/197 kDa/226 kDa

    基因ID

    9656

    UniProt

    Q14676
You are here: