电话:
+86 (0512) 65829739
传真:
+86 (010) 6788 5057
电子邮件:
orders@antibodies-online.cn

LRRC7 抗体 (AA 730-890)

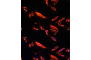
The 兔 多克隆 anti-LRRC7 antibody is suitable to detect LRRC7 in samples from 人. It has been validated for WB 和 IF.
产品编号 ABIN6143347
发货至: 中国
Contact our Customer Service for availability and price in your country. Contact Info

Our Local Distributor

中国
北京 101111
No. 88 KeChuang 6th Street
Beijing Economic Technological Development Area
Room 801-803
4A Biotech Co.,Ltd.
Tel +86 (0512) 65829739 传真 +86 (010) 6788 5057

Quick Overview for LRRC7 抗体 (AA 730-890) (ABIN6143347)

抗原

See all LRRC7 抗体
LRRC7 (Leucine Rich Repeat Containing 7 (LRRC7))

适用

  • 10
  • 10
  • 9
  • 1
  • 1
  • 1
  • 1
  • 1
  • 1
  • 1

宿主

  • 10

克隆类型

  • 12
多克隆

标记

  • 12
This LRRC7 antibody is un-conjugated

应用范围

  • 9
  • 4
  • 3
  • 2
  • 2
  • 2
  • 1
  • 1
Western Blotting (WB), Immunofluorescence (IF)
  • 抗原表位

    • 4
    • 3
    • 2
    • 1
    • 1
    AA 730-890

    序列

    FPQPLDSKPL LSQREAVPPG NIPQRPDRLP MSDTFTDNWT DGSHYDNTGF VAEETTAENA NSNPLLSSKS RSTSSHGRRP LIRQDRIVGV PLELEQSTHR HTPETEVPPS NPWQNWTRTP SPFEDRTAFP SKLETTPTTS PLPERKEHIK ESTEIPSPFS P

    交叉反应

    人, 小鼠, 大鼠

    产品特性

    Polyclonal Antibodies

    免疫原

    Recombinant fusion protein containing a sequence corresponding to amino acids 730-890 of human LRRC7 (NP_065845.1).

    亚型

    IgG
  • 应用备注

    WB,1:500 - 1:2000,IF,1:50 - 1:200

    说明

    HIGH QUALITY

    限制

    仅限研究用
  • 状态

    Liquid

    缓冲液

    PBS with 0.02 % sodium azide,50 % glycerol, pH 7.3.

    储存液

    Sodium azide

    注意事项

    This product contains Sodium azide: a POISONOUS AND HAZARDOUS SUBSTANCE which should be handled by trained staff only.

    储存条件

    -20 °C

    储存方法

    Store at -20°C. Avoid freeze / thaw cycles.
  • 抗原

    LRRC7 (Leucine Rich Repeat Containing 7 (LRRC7))

    别名

    LRRC7

    背景

    Required for normal synaptic spine architecture and function. Necessary for DISC1 and GRM5 localization to postsynaptic density complexes and for both N-methyl D-aspartate receptor-dependent and metabotropic glutamate receptor-dependent long term depression.,LRRC7,DENSIN,Signal Transduction,Cell Biology & Developmental Biology,Cytoskeleton,Intermediate Filaments,Neuroscience,Cell Type Marker,Neuron marker,Synapse marker,LRRC7

    分子量

    20 kDa/167 kDa/172 kDa

    基因ID

    57554

    UniProt

    Q96NW7

    途径

    Synaptic Membrane
You are here: