电话:
+86 (0512) 65829739
传真:
+86 (010) 6788 5057
电子邮件:
orders@antibodies-online.cn

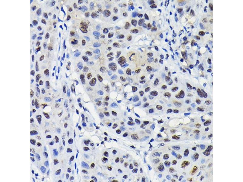
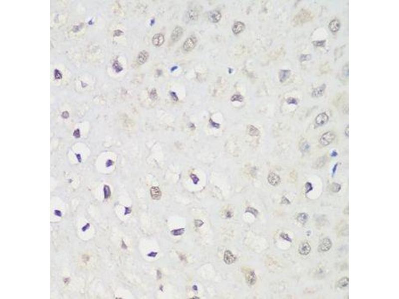
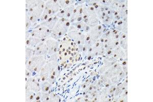
KPNA3 抗体 (AA 1-210)

There are 2+ publications for this product available. The 兔 多克隆 anti-KPNA3 antibody is suitable to detect KPNA3 in samples from 人. It has been validated for WB 和 IHC.
产品编号 ABIN6142991
发货至: 中国
Contact our Customer Service for availability and price in your country. Contact Info

Our Local Distributor

中国
北京 101111
No. 88 KeChuang 6th Street
Beijing Economic Technological Development Area
Room 801-803
4A Biotech Co.,Ltd.
Tel +86 (0512) 65829739 传真 +86 (010) 6788 5057

Quick Overview for KPNA3 抗体 (AA 1-210) (ABIN6142991)

抗原

See all KPNA3 抗体
KPNA3 (Karyopherin alpha 3 (Importin alpha 4) (KPNA3))

适用

  • 34
  • 27
  • 24
  • 2
  • 2
  • 1
  • 1
  • 1
  • 1
  • 1
  • 1

宿主

  • 30
  • 2
  • 1
  • 1

克隆类型

  • 33
  • 1
多克隆

标记

  • 18
  • 2
  • 1
  • 1
  • 1
  • 1
  • 1
  • 1
  • 1
  • 1
  • 1
  • 1
  • 1
  • 1
  • 1
  • 1
This KPNA3 antibody is un-conjugated

应用范围

  • 31
  • 14
  • 8
  • 7
  • 6
  • 6
  • 4
  • 4
  • 1
  • 1
  • 1
  • 1
  • 1
Western Blotting (WB), Immunohistochemistry (IHC)
  • 抗原表位

    • 7
    • 4
    • 2
    • 2
    • 1
    • 1
    AA 1-210

    序列

    MAENPSLENH RIKSFKNKGR DVETMRRHRN EVTVELRKNK RDEHLLKKRN VPQEESLEDS DVDADFKAQN VTLEAILQNA TSDNPVVQLS AVQAARKLLS SDRNPPIDDL IKSGILPILV KCLERDDNPS LQFEAAWALT NIASGTSAQT QAVVQSNAVP LFLRLLRSPH QNVCEQAVWA LGNIIGDGPQ CRDYVISLGV VKPLLSFISP

    交叉反应

    人, 小鼠, 大鼠

    产品特性

    Polyclonal Antibodies

    免疫原

    Recombinant fusion protein containing a sequence corresponding to amino acids 1-210 of human KPNA3 (NP_002258.2).

    亚型

    IgG
  • 应用备注

    WB,1:500 - 1:2000,IHC,1:50 - 1:100

    说明

    HIGH QUALITY

    限制

    仅限研究用
  • 状态

    Liquid

    缓冲液

    PBS with 0.02 % sodium azide,50 % glycerol, pH 7.3.

    储存液

    Sodium azide

    注意事项

    This product contains Sodium azide: a POISONOUS AND HAZARDOUS SUBSTANCE which should be handled by trained staff only.

    储存条件

    -20 °C

    储存方法

    Store at -20°C. Avoid freeze / thaw cycles.
  • Li, Lu, Huang, Lv: "Porcine circovirus type 2 inhibits inter-β expression by targeting Karyopherin alpha-3 in PK-15 cells." in: Virology, Vol. 520, pp. 75-82, (2018) (PubMed).

    Ye, Chen, Li, Zhao, He, Zohaib, Song, Deng, Zhang, Chen, Cao: "Japanese Encephalitis Virus NS5 Inhibits Type I Interferon (IFN) Production by Blocking the Nuclear Translocation of IFN Regulatory Factor 3 and NF-κB." in: Journal of virology, Vol. 91, Issue 8, (2017) (PubMed).

  • 抗原

    KPNA3 (Karyopherin alpha 3 (Importin alpha 4) (KPNA3))

    别名

    KPNA3

    背景

    The transport of molecules between the nucleus and the cytoplasm in eukaryotic cells is mediated by the nuclear pore complex (NPC), which consists of 60-100 proteins. Small molecules (up to 70 kD) can pass through the nuclear pore by nonselective diffusion while larger molecules are transported by an active process. The protein encoded by this gene belongs to the importin alpha family, and is involved in nuclear protein import.,KPNA3,IPOA4,SRP1,SRP1gamma,SRP4,hSRP1,Signal Transduction,KPNA3

    分子量

    57 kDa

    基因ID

    3839

    UniProt

    O00505

    途径

    Protein targeting to Nucleus
You are here: