电话:
+86 (0512) 65829739
传真:
+86 (010) 6788 5057
电子邮件:
orders@antibodies-online.cn

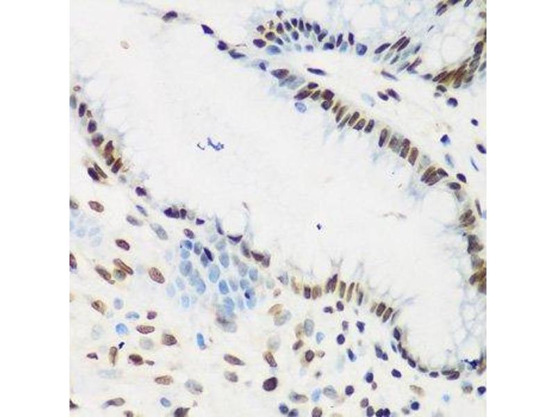
KLF4 抗体 (AA 180-479)

The 兔 多克隆 anti-KLF4 antibody (ABIN6142920) specifically detects KLF4 in WB, IF 和 IHC. The antibody is reactive with 人 samples.
产品编号 ABIN6142920
发货至: 中国
Contact our Customer Service for availability and price in your country. Contact Info

Our Local Distributor

中国
北京 101111
No. 88 KeChuang 6th Street
Beijing Economic Technological Development Area
Room 801-803
4A Biotech Co.,Ltd.
Tel +86 (0512) 65829739 传真 +86 (010) 6788 5057

Quick Overview for KLF4 抗体 (AA 180-479) (ABIN6142920)

抗原

See all KLF4 抗体
KLF4 (Kruppel-Like Factor 4 (Gut) (KLF4))

适用

  • 113
  • 44
  • 34
  • 9
  • 8
  • 7
  • 7
  • 6
  • 6
  • 6
  • 3
  • 3
  • 2
  • 2
  • 1
  • 1
  • 1
  • 1

宿主

  • 97
  • 22
  • 1

克隆类型

  • 75
  • 45
多克隆

标记

  • 81
  • 7
  • 5
  • 5
  • 4
  • 3
  • 2
  • 2
  • 2
  • 2
  • 2
  • 2
  • 1
  • 1
  • 1
This KLF4 antibody is un-conjugated

应用范围

  • 94
  • 54
  • 53
  • 35
  • 34
  • 24
  • 11
  • 10
  • 9
  • 6
  • 2
  • 2
  • 2
Western Blotting (WB), Immunofluorescence (IF), Immunohistochemistry (IHC)
  • 抗原表位

    • 12
    • 9
    • 8
    • 8
    • 6
    • 3
    • 3
    • 3
    • 2
    • 2
    • 2
    • 2
    • 2
    • 2
    • 2
    • 2
    • 2
    • 1
    • 1
    • 1
    • 1
    • 1
    • 1
    • 1
    • 1
    • 1
    • 1
    • 1
    • 1
    • 1
    • 1
    • 1
    • 1
    • 1
    • 1
    • 1
    • 1
    • 1
    AA 180-479

    序列

    PPTAPFNLAD INDVSPSGGF VAELLRPELD PVYIPPQQPQ PPGGGLMGKF VLKASLSAPG SEYGSPSVIS VSKGSPDGSH PVVVAPYNGG PPRTCPKIKQ EAVSSCTHLG AGPPLSNGHR PAAHDFPLGR QLPSRTTPTL GLEEVLSSRD CHPALPLPPG FHPHPGPNYP SFLPDQMQPQ VPPLHYQELM PPGSCMPEEP KPKRGRRSWP RKRTATHTCD YAGCGKTYTK SSHLKAHLRT HTGEKPYHCD WDGCGWKFAR SDELTRHYRK HTGHRPFQCQ KCDRAFSRSD HLALHMKRHF

    交叉反应

    人, 小鼠, 大鼠

    产品特性

    Polyclonal Antibodies

    免疫原

    Recombinant fusion protein containing a sequence corresponding to amino acids 180-479 of human KLF4 (NP_004226.3).

    亚型

    IgG
  • 应用备注

    WB,1:500 - 1:2000,IHC,1:50 - 1:200,IF,1:50 - 1:200

    限制

    仅限研究用
  • 状态

    Liquid

    缓冲液

    PBS with 0.02 % sodium azide,50 % glycerol, pH 7.3.

    储存液

    Sodium azide

    注意事项

    This product contains Sodium azide: a POISONOUS AND HAZARDOUS SUBSTANCE which should be handled by trained staff only.

    储存条件

    -20 °C

    储存方法

    Store at -20°C. Avoid freeze / thaw cycles.
  • 抗原

    KLF4 (Kruppel-Like Factor 4 (Gut) (KLF4))

    别名

    KLF4

    背景

    This gene encodes a protein that belongs to the Kruppel family of transcription factors. The encoded zinc finger protein is required for normal development of the barrier function of skin. The encoded protein is thought to control the G1-to-S transition of the cell cycle following DNA damage by mediating the tumor suppressor gene p53. Mice lacking this gene have a normal appearance but lose weight rapidly, and die shortly after birth due to fluid evaporation resulting from compromised epidermal barrier function. Alternative splicing results in multiple transcript variants encoding different isoforms.,EZF,GKLF,KLF4,Epigenetics & Nuclear Signaling,Transcription Factors,Cancer,Tumor suppressors,Cell Biology & Developmental Biology,Cell Cycle,Cell cycle inhibitors,Cell differentiation,Stem Cells,Embryonic Stem Cells,Cardiovascular,Heart,Hypertrophy,KLF4

    分子量

    6 kDa/12 kDa/45 kDa/51 kDa/54 kDa

    基因ID

    9314

    UniProt

    O43474

    途径

    Peptide Hormone Metabolism, Stem Cell Maintenance
You are here: