电话:
+86 (0512) 65829739
传真:
+86 (010) 6788 5057
电子邮件:
orders@antibodies-online.cn

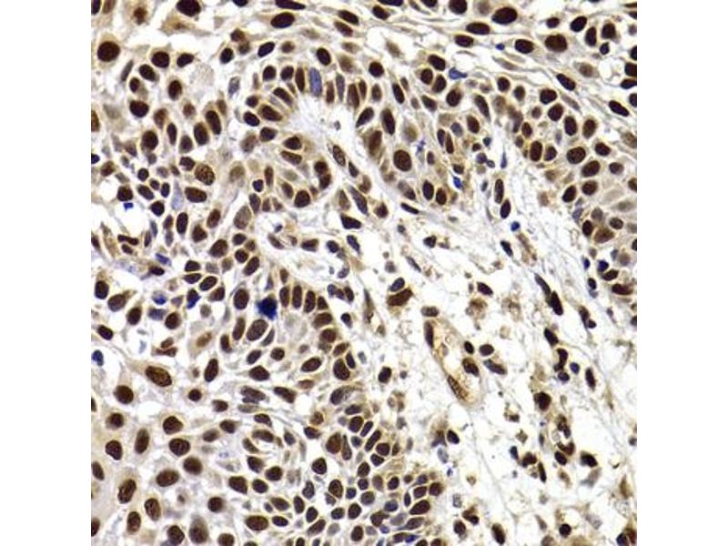
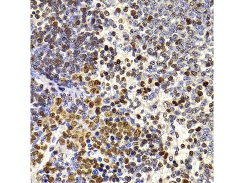
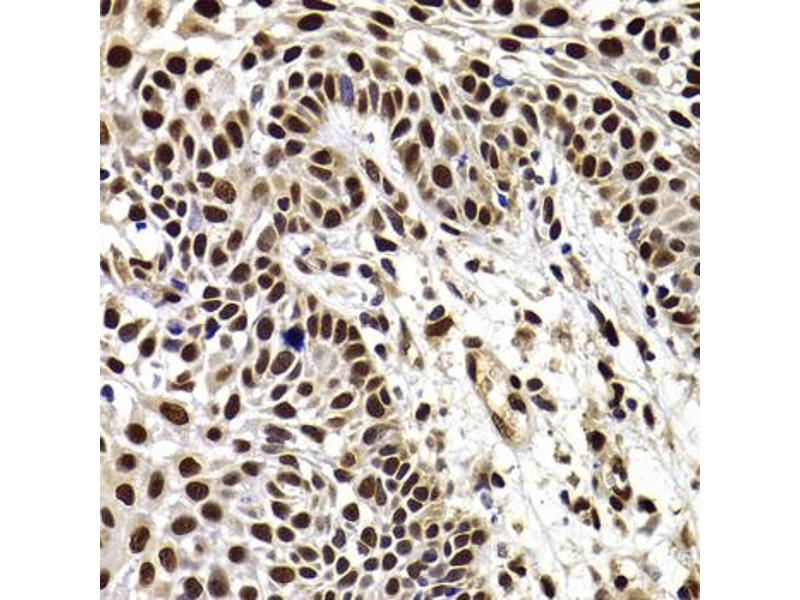
HIRIP3 抗体 (AA 417-556)

This 兔 多克隆 antibody specifically detects HIRIP3 in WB, IHC 和 IF. It exhibits reactivity toward 人.
产品编号 ABIN6141779
发货至: 中国
Contact our Customer Service for availability and price in your country. Contact Info

Our Local Distributor

中国
北京 101111
No. 88 KeChuang 6th Street
Beijing Economic Technological Development Area
Room 801-803
4A Biotech Co.,Ltd.
Tel +86 (0512) 65829739 传真 +86 (010) 6788 5057

Quick Overview for HIRIP3 抗体 (AA 417-556) (ABIN6141779)

抗原

See all HIRIP3 抗体
HIRIP3 (HIRA Interacting Protein 3 (HIRIP3))

适用

  • 33
  • 3
  • 3
  • 2
  • 2
  • 1

宿主

  • 28
  • 5

克隆类型

  • 30
  • 3
多克隆

标记

  • 14
  • 2
  • 2
  • 2
  • 1
  • 1
  • 1
  • 1
  • 1
  • 1
  • 1
  • 1
  • 1
  • 1
  • 1
  • 1
  • 1
This HIRIP3 antibody is un-conjugated

应用范围

  • 31
  • 13
  • 13
  • 12
  • 5
  • 4
  • 3
  • 3
  • 1
  • 1
Western Blotting (WB), Immunohistochemistry (IHC), Immunofluorescence (IF)
  • 抗原表位

    • 15
    • 7
    • 2
    • 1
    • 1
    • 1
    • 1
    • 1
    • 1
    AA 417-556

    序列

    GRRGEDHPAV MRLKRYIRAC GAHRNYKKLL GSCCSHKERL SILRAELEAL GMKGTPSLGK CRALKEQREE AAEVASLDVA NIISGSGRPR RRTAWNPLGE AAPPGELYRR TLDSDEERPR PAPPDWSHMR GIISSDGESN

    交叉反应

    人, 小鼠, 大鼠

    产品特性

    Polyclonal Antibodies

    纯化方法

    Affinity purification

    免疫原

    Recombinant fusion protein containing a sequence corresponding to amino acids 417-556 of human HIRIP3 (NP_003600.2).

    亚型

    IgG
  • 应用备注

    WB,1:500 - 1:2000,IHC,1:50 - 1:200,IF,1:50 - 1:100

    说明

    HIGH QUALITY

    限制

    仅限研究用
  • 状态

    Liquid

    缓冲液

    PBS with 0.02 % sodium azide,50 % glycerol, pH 7.3.

    储存液

    Sodium azide

    注意事项

    This product contains Sodium azide: a POISONOUS AND HAZARDOUS SUBSTANCE which should be handled by trained staff only.

    储存条件

    -20 °C

    储存方法

    Store at -20°C. Avoid freeze / thaw cycles.
  • 抗原

    HIRIP3 (HIRA Interacting Protein 3 (HIRIP3))

    别名

    HIRIP3

    背景

    The HIRA protein shares sequence similarity with Hir1p and Hir2p, the two corepressors of histone gene transcription characterized in the yeast, Saccharomyces cerevisiae. The structural features of the HIRA protein suggest that it may function as part of a multiprotein complex. Several cDNAs encoding HIRA-interacting proteins, or HIRIPs, have been identified. In vitro, the protein encoded by this gene binds HIRA, as well as H2B and H3 core histones, indicating that a complex containing HIRA-HIRIP3 could function in some aspects of chromatin and histone metabolism. Alternatively spliced transcript variants encoding distinct isoforms have been found for this gene.,HIRIP3,Epigenetics & Nuclear Signaling,Cell Biology & Developmental Biology,Stem Cells,Germline Stem Cells,HIRIP3

    分子量

    19 kDa/27 kDa/61 kDa

    基因ID

    8479

    UniProt

    Q9BW71
You are here: