电话:
+86 (0512) 65829739
传真:
+86 (010) 6788 5057
电子邮件:
orders@antibodies-online.cn

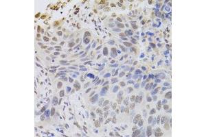
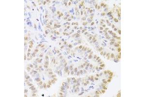
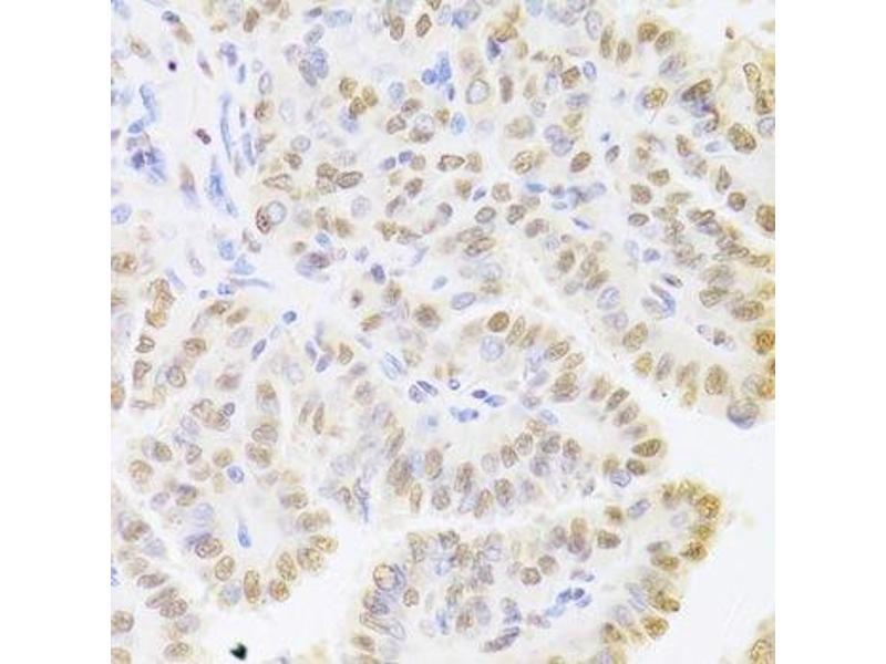
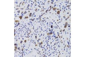
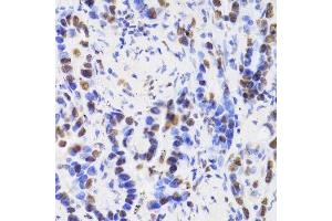
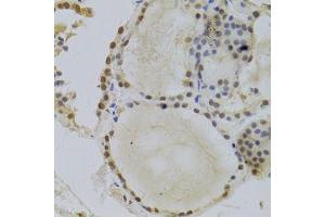
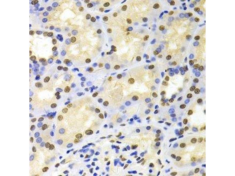
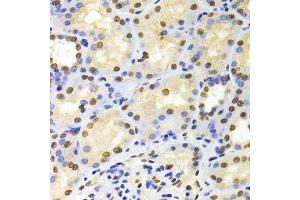
HDGF 抗体 (AA 1-240)

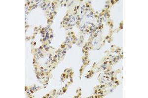
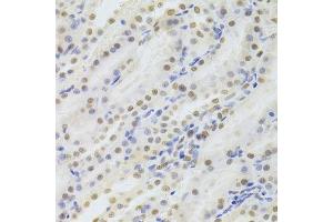
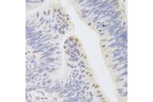
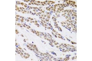
The 兔 多克隆 anti-HDGF antibody (ABIN6141694) specifically detects HDGF in WB, IHC 和 IF. The antibody is reactive with 人 samples.
产品编号 ABIN6141694
发货至: 中国
Contact our Customer Service for availability and price in your country. Contact Info

Our Local Distributor

中国
北京 101111
No. 88 KeChuang 6th Street
Beijing Economic Technological Development Area
Room 801-803
4A Biotech Co.,Ltd.
Tel +86 (0512) 65829739 传真 +86 (010) 6788 5057

Quick Overview for HDGF 抗体 (AA 1-240) (ABIN6141694)

抗原

See all HDGF 抗体
HDGF (Hepatoma-Derived Growth Factor (HDGF))

适用

  • 69
  • 24
  • 7
  • 1
  • 1
  • 1
  • 1
  • 1

宿主

  • 62
  • 9
  • 1

克隆类型

  • 52
  • 19
  • 1
多克隆

标记

  • 37
  • 5
  • 5
  • 3
  • 1
  • 1
  • 1
  • 1
  • 1
  • 1
  • 1
  • 1
  • 1
  • 1
  • 1
  • 1
  • 1
  • 1
  • 1
  • 1
  • 1
  • 1
  • 1
  • 1
  • 1
  • 1
This HDGF antibody is un-conjugated

应用范围

  • 43
  • 29
  • 24
  • 18
  • 17
  • 17
  • 13
  • 13
  • 12
  • 12
  • 3
  • 3
  • 3
  • 2
  • 2
  • 1
Western Blotting (WB), Immunohistochemistry (IHC), Immunofluorescence (IF)
  • 抗原表位

    • 15
    • 6
    • 5
    • 4
    • 3
    • 2
    • 2
    • 2
    • 2
    • 2
    • 2
    • 1
    • 1
    • 1
    AA 1-240

    序列

    MSRSNRQKEY KCGDLVFAKM KGYPHWPARI DEMPEAAVKS TANKYQVFFF GTHETAFLGP KDLFPYEESK EKFGKPNKRK GFSEGLWEIE NNPTVKASGY QSSQKKSCVE EPEPEPEAAE GDGDKKGNAE GSSDEEGKLV IDEPAKEKNE KGALKRRAGD LLEDSPKRPK EAENPEGEEK EAATLEVERP LPMEVEKNST PSEPGSGRGP PQEEEEEEDE EEEATKEDAE APGIRDHESL

    交叉反应

    人, 小鼠, 大鼠

    产品特性

    Polyclonal Antibodies

    纯化方法

    Affinity purification

    免疫原

    Recombinant fusion protein containing a sequence corresponding to amino acids 1-240 of human HDGF (NP_004485.1).

    亚型

    IgG
  • 应用备注

    WB,1:500 - 1:2000,IHC,1:50 - 1:200,IF,1:50 - 1:200

    说明

    HIGH QUALITY

    限制

    仅限研究用
  • 状态

    Liquid

    缓冲液

    PBS with 0.02 % sodium azide,50 % glycerol, pH 7.3.

    储存液

    Sodium azide

    注意事项

    This product contains Sodium azide: a POISONOUS AND HAZARDOUS SUBSTANCE which should be handled by trained staff only.

    储存条件

    -20 °C

    储存方法

    Store at -20°C. Avoid freeze / thaw cycles.
  • 抗原

    HDGF (Hepatoma-Derived Growth Factor (HDGF))

    别名

    HDGF

    背景

    This gene encodes a member of the hepatoma-derived growth factor family. The encoded protein has mitogenic and DNA-binding activity and may play a role in cellular proliferation and differentiation. High levels of expression of this gene enhance the growth of many tumors. This gene was thought initially to be located on chromosome X, however, that location has been determined to correspond to a related pseudogene. Alternatively spliced transcript variants encoding distinct isoforms have been described.,HDGF,HMG1L2,Epigenetics & Nuclear Signaling,RNA Binding,Cancer,Tumor biomarkers,Cell Biology & Developmental Biology,Growth factor,HDGF

    分子量

    25 kDa/26 kDa/28 kDa

    基因ID

    3068

    UniProt

    P51858

    途径

    ER-Nucleus Signaling
You are here: