电话:
+86 (0512) 65829739
传真:
+86 (010) 6788 5057
电子邮件:
orders@antibodies-online.cn

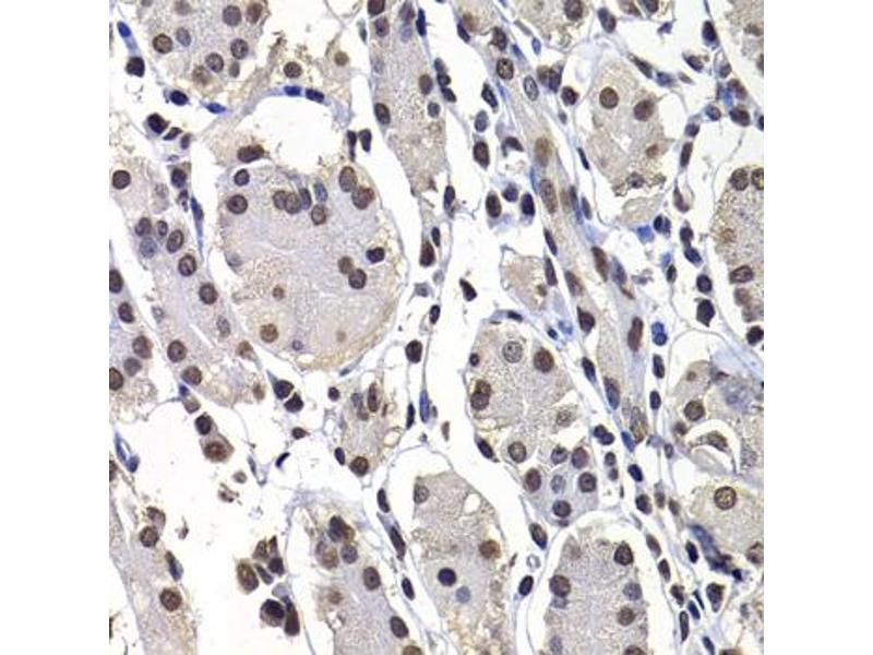
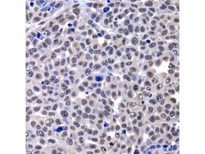
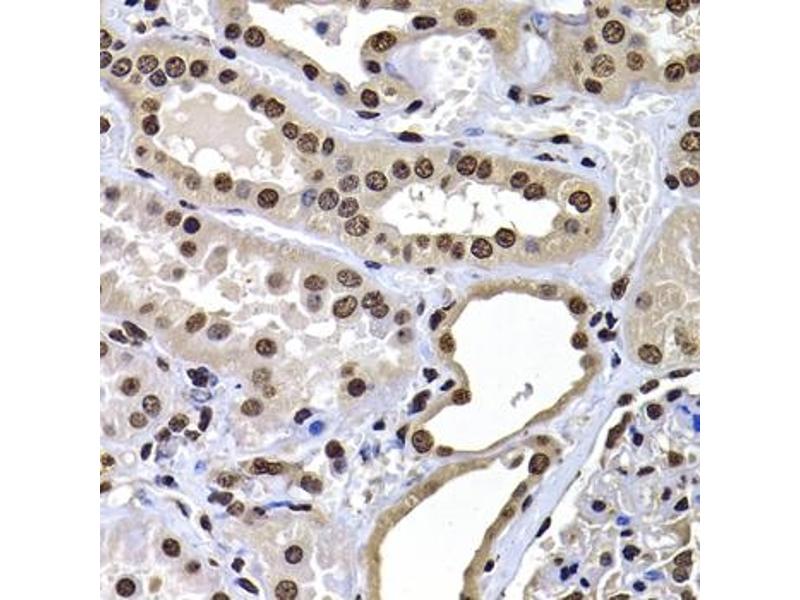
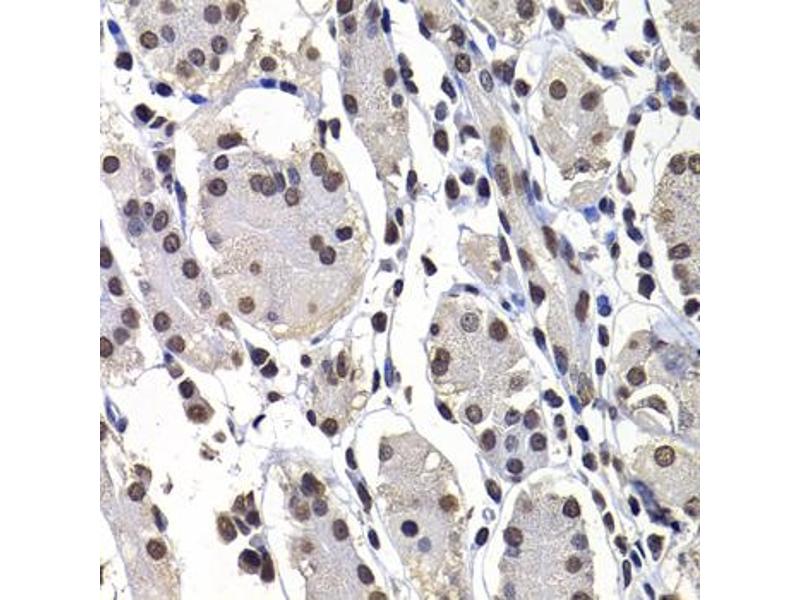
H2AFY 抗体 (AA 123-372)

The 兔 多克隆 anti-H2AFY antibody is suitable to detect H2AFY in samples from 人. It has been validated for WB, IHC 和 IF.
产品编号 ABIN6141569
发货至: 中国
Contact our Customer Service for availability and price in your country. Contact Info

Our Local Distributor

中国
北京 101111
No. 88 KeChuang 6th Street
Beijing Economic Technological Development Area
Room 801-803
4A Biotech Co.,Ltd.
Tel +86 (0512) 65829739 传真 +86 (010) 6788 5057

Quick Overview for H2AFY 抗体 (AA 123-372) (ABIN6141569)

抗原

See all H2AFY 抗体
H2AFY (H2A Histone Family, Member Y (H2AFY))

适用

  • 48
  • 42
  • 41
  • 5
  • 5
  • 4
  • 4
  • 4
  • 4
  • 3
  • 2
  • 2
  • 2
  • 1
  • 1

宿主

  • 48

克隆类型

  • 31
  • 17
多克隆

标记

  • 23
  • 3
  • 3
  • 3
  • 3
  • 3
  • 3
  • 3
  • 2
  • 2
This H2AFY antibody is un-conjugated

应用范围

  • 40
  • 25
  • 18
  • 14
  • 6
  • 2
  • 2
  • 1
  • 1
  • 1
Western Blotting (WB), Immunohistochemistry (IHC), Immunofluorescence (IF)
  • 抗原表位

    • 3
    • 3
    • 2
    • 2
    • 1
    • 1
    • 1
    • 1
    AA 123-372

    序列

    KLEAIITPPP AKKAKSPSQK KPVSKKAGGK KGARKSKKKQ GEVSKAASAD STTEGTPADG FTVLSTKSLF LGQKLNLIHS EISNLAGFEV EAIINPTNAD IDLKDDLGNT LEKKGGKEFV EAVLELRKKN GPLEVAGAAV SAGHGLPAKF VIHCNSPVWG ADKCEELLEK TVKNCLALAD DKKLKSIAFP SIGSGRNGFP KQTAAQLILK AISSYFVSTM SSSIKTVYFV LFDSESIGIY VQEMAKLDAN

    交叉反应

    人, 小鼠, 大鼠

    产品特性

    Polyclonal Antibodies

    纯化方法

    Affinity purification

    免疫原

    Recombinant fusion protein containing a sequence corresponding to amino acids 123-372 of human H2AFY (NP_613258.2).

    亚型

    IgG
  • 应用备注

    WB,1:500 - 1:2000,IHC,1:50 - 1:200,IF,1:50 - 1:100

    说明

    HIGH QUALITY

    限制

    仅限研究用
  • 状态

    Liquid

    缓冲液

    PBS with 0.02 % sodium azide,50 % glycerol, pH 7.3.

    储存液

    Sodium azide

    注意事项

    This product contains Sodium azide: a POISONOUS AND HAZARDOUS SUBSTANCE which should be handled by trained staff only.

    储存条件

    -20 °C

    储存方法

    Store at -20°C. Avoid freeze / thaw cycles.
  • 抗原

    H2AFY (H2A Histone Family, Member Y (H2AFY))

    别名

    H2AFY

    背景

    Histones are basic nuclear proteins that are responsible for the nucleosome structure of the chromosomal fiber in eukaryotes. Nucleosomes consist of approximately 146 bp of DNA wrapped around a histone octamer composed of pairs of each of the four core histones (H2A, H2B, H3, and H4). The chromatin fiber is further compacted through the interaction of a linker histone, H1, with the DNA between the nucleosomes to form higher order chromatin structures. This gene encodes a replication-independent histone that is a member of the histone H2A family. It replaces conventional H2A histones in a subset of nucleosomes where it represses transcription and participates in stable X chromosome inactivation. Alternative splicing results in multiple transcript variants encoding different isoforms.,H2AFY,H2A.y,H2A/y,H2AF12M,MACROH2A1.1,mH2A1,macroH2A1.2,Epigenetics & Nuclear Signaling,Histones,H2AFY

    分子量

    39 kDa

    基因ID

    9555

    UniProt

    O75367
You are here: