电话:
+86 (0512) 65829739
传真:
+86 (010) 6788 5057
电子邮件:
orders@antibodies-online.cn

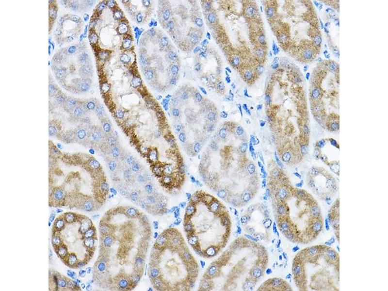
GRPEL2 抗体 (AA 33-225)

Cited in 1 publication. The 兔 多克隆 anti-GRPEL2 antibody (ABIN6141437) specifically detects GRPEL2 in WB 和 IHC. The antibody is reactive with 人 samples.
产品编号 ABIN6141437
发货至: 中国
Contact our Customer Service for availability and price in your country. Contact Info

Our Local Distributor

中国
北京 101111
No. 88 KeChuang 6th Street
Beijing Economic Technological Development Area
Room 801-803
4A Biotech Co.,Ltd.
Tel +86 (0512) 65829739 传真 +86 (010) 6788 5057

Quick Overview for GRPEL2 抗体 (AA 33-225) (ABIN6141437)

抗原

See all GRPEL2 抗体
GRPEL2 (GrpE-Like 2, Mitochondrial (GRPEL2))

适用

  • 16
  • 13
  • 5
  • 2
  • 2
  • 2
  • 2
  • 1
  • 1
  • 1
  • 1
  • 1

宿主

  • 15
  • 1

克隆类型

  • 16
多克隆

标记

  • 11
  • 1
  • 1
  • 1
  • 1
  • 1
This GRPEL2 antibody is un-conjugated

应用范围

  • 14
  • 9
  • 2
Western Blotting (WB), Immunohistochemistry (IHC)
  • 抗原表位

    • 8
    • 2
    • 1
    • 1
    • 1
    • 1
    AA 33-225

    序列

    STATQRTAGE DCRSEDPPDE LGPPLAERAL RVKAVKLEKE VQDLTVRYQR AIADCENIRR RTQRCVEDAK IFGIQSFCKD LVEVADILEK TTECISEESE PEDQKLTLEK VFRGLLLLEA KLKSVFAKHG LEKLTPIGDK YDPHEHELIC HVPAGVGVQP GTVALVRQDG YKLHGRTIRL ARVEVAVESQ RRL

    交叉反应

    人, 小鼠, 大鼠

    产品特性

    Polyclonal Antibodies

    纯化方法

    Affinity purification

    免疫原

    Recombinant fusion protein containing a sequence corresponding to amino acids 33-225 of human GRPEL2 (NP_689620.2).

    亚型

    IgG
  • 应用备注

    WB,1:500 - 1:2000,IHC,1:50 - 1:100

    说明

    HIGH QUALITY

    限制

    仅限研究用
  • 状态

    Liquid

    缓冲液

    PBS with 0.02 % sodium azide,50 % glycerol, pH 7.3.

    储存液

    Sodium azide

    注意事项

    This product contains Sodium azide: a POISONOUS AND HAZARDOUS SUBSTANCE which should be handled by trained staff only.

    储存条件

    -20 °C

    储存方法

    Store at -20°C. Avoid freeze / thaw cycles.
  • Wu, Xiong, Li, Yang, Ge et al.: "Integrated Proteomic and Transcriptomic Analysis Reveals Long Noncoding RNA HOX Transcript Antisense Intergenic RNA (HOTAIR) Promotes Hepatocellular Carcinoma Cell Proliferation by Regulating Opioid ..." in: Molecular & cellular proteomics : MCP, Vol. 17, Issue 1, pp. 146-159, (2019) (PubMed).

  • 抗原

    GRPEL2 (GrpE-Like 2, Mitochondrial (GRPEL2))

    别名

    GRPEL2

    背景

    Essential component of the PAM complex, a complex required for the translocation of transit peptide-containing proteins from the inner membrane into the mitochondrial matrix in an ATP-dependent manner. Seems to control the nucleotide-dependent binding of mitochondrial HSP70 to substrate proteins. Stimulates ATPase activity of mt-HSP70. May also serve to modulate the interconversion of oligomeric (inactive and monomeric (active forms of mt-HSP70 (By similarity.,GRPEL2,Mt-GrpE#2,GrpE like 2,Signal Transduction,Endocrine & Metabolism,Mitochondrial metabolism,GRPEL2

    分子量

    14 kDa/25 kDa

    基因ID

    134266

    UniProt

    Q8TAA5
You are here: