电话:
+86 (0512) 65829739
传真:
+86 (010) 6788 5057
电子邮件:
orders@antibodies-online.cn

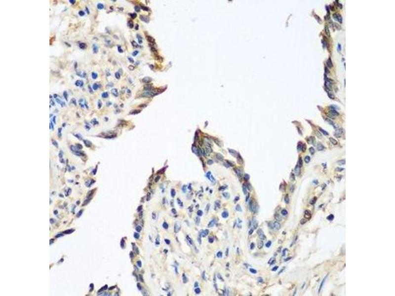
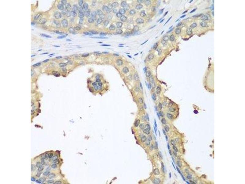
GPI 抗体 (AA 1-280)

The 兔 多克隆 anti-GPI antibody (ABIN6141327) specifically detects GPI in WB. The antibody is reactive with 人 samples.
产品编号 ABIN6141327
发货至: 中国
Contact our Customer Service for availability and price in your country. Contact Info

Our Local Distributor

中国
北京 101111
No. 88 KeChuang 6th Street
Beijing Economic Technological Development Area
Room 801-803
4A Biotech Co.,Ltd.
Tel +86 (0512) 65829739 传真 +86 (010) 6788 5057

Quick Overview for GPI 抗体 (AA 1-280) (ABIN6141327)

抗原

See all GPI 抗体
GPI (Glucose-6-Phosphate Isomerase (GPI))

适用

  • 98
  • 49
  • 13
  • 6
  • 5
  • 4
  • 4
  • 4
  • 3
  • 3
  • 2
  • 2
  • 1

宿主

  • 110
  • 28
  • 1

克隆类型

  • 91
  • 48
多克隆

标记

  • 73
  • 10
  • 8
  • 6
  • 3
  • 3
  • 3
  • 3
  • 3
  • 3
  • 2
  • 2
  • 1
  • 1
  • 1
  • 1
  • 1
  • 1
  • 1
  • 1
  • 1
  • 1
  • 1
  • 1
  • 1
  • 1
  • 1
  • 1
  • 1
  • 1
  • 1
  • 1
This GPI antibody is un-conjugated

应用范围

  • 110
  • 46
  • 43
  • 37
  • 28
  • 23
  • 14
  • 14
  • 12
  • 11
  • 9
  • 4
  • 3
  • 2
  • 2
  • 2
  • 2
  • 1
  • 1
Western Blotting (WB)
  • 抗原表位

    • 15
    • 10
    • 7
    • 7
    • 6
    • 6
    • 5
    • 2
    • 2
    • 2
    • 2
    • 2
    • 2
    • 1
    • 1
    • 1
    • 1
    • 1
    • 1
    • 1
    • 1
    • 1
    AA 1-280

    序列

    MAALTRDPQF QKLQQWYREH RSELNLRRLF DANKDRFNHF SLTLNTNHGH ILVDYSKNLV TEDVMRMLVD LAKSRGVEAA RERMFNGEKI NYTEGRAVLH VALRNRSNTP ILVDGKDVMP EVNKVLDKMK SFCQRVRSGD WKGYTGKTIT DVINIGIGGS DLGPLMVTEA LKPYSSGGPR VWYVSNIDGT HIAKTLAQLN PESSLFIIAS KTFTTQETIT NAETAKEWFL QAAKDPSAVA KHFVALSTNT TKVKEFGIDP QNMFEFWDWV GGRYSLWSAI

    交叉反应

    人, 小鼠, 大鼠

    产品特性

    Polyclonal Antibodies

    纯化方法

    Affinity purification

    免疫原

    Recombinant fusion protein containing a sequence corresponding to amino acids 1-280 of human glucose-6-phosphate isomerase (NP_000166.2).

    亚型

    IgG
  • 应用备注

    WB,1:500 - 1:2000

    说明

    HIGH QUALITY

    限制

    仅限研究用
  • 状态

    Liquid

    缓冲液

    PBS with 0.02 % sodium azide,50 % glycerol, pH 7.3.

    储存液

    Sodium azide

    注意事项

    This product contains Sodium azide: a POISONOUS AND HAZARDOUS SUBSTANCE which should be handled by trained staff only.

    储存条件

    -20 °C

    储存方法

    Store at -20°C. Avoid freeze / thaw cycles.
  • 抗原

    GPI (Glucose-6-Phosphate Isomerase (GPI))

    别名

    GPI

    背景

    This gene encodes a member of the glucose phosphate isomerase protein family. The encoded protein has been identified as a moonlighting protein based on its ability to perform mechanistically distinct functions. In the cytoplasm, the gene product functions as a glycolytic enzyme (glucose-6-phosphate isomerase) that interconverts glucose-6-phosphate and fructose-6-phosphate. Extracellularly, the encoded protein (also referred to as neuroleukin) functions as a neurotrophic factor that promotes survival of skeletal motor neurons and sensory neurons, and as a lymphokine that induces immunoglobulin secretion. The encoded protein is also referred to as autocrine motility factor based on an additional function as a tumor-secreted cytokine and angiogenic factor. Defects in this gene are the cause of nonspherocytic hemolytic anemia and a severe enzyme deficiency can be associated with hydrops fetalis, immediate neonatal death and neurological impairment. Alternative splicing results in multiple transcript variants.,GPI,AMF,GNPI,NLK,PGI,PHI,SA-36,SA36,Cancer,Signal Transduction,Cell Biology & Developmental Biology,Growth factor,Endocrine & Metabolism,Carbohydrate metabolism,Immunology & Inflammation,Cytokines,Neuroscience,GPI

    分子量

    63 kDa/64 kDa

    基因ID

    2821

    UniProt

    P06744
You are here: