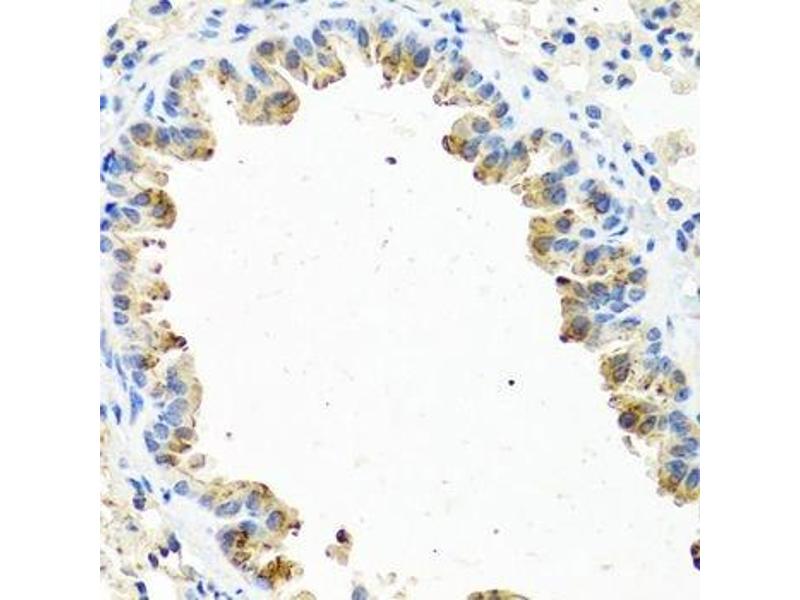
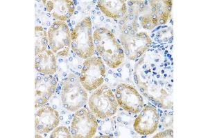
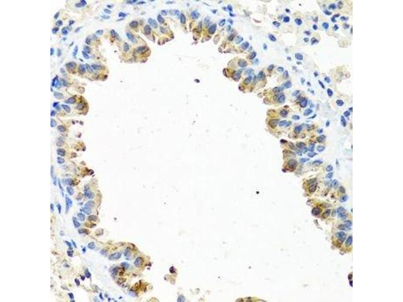
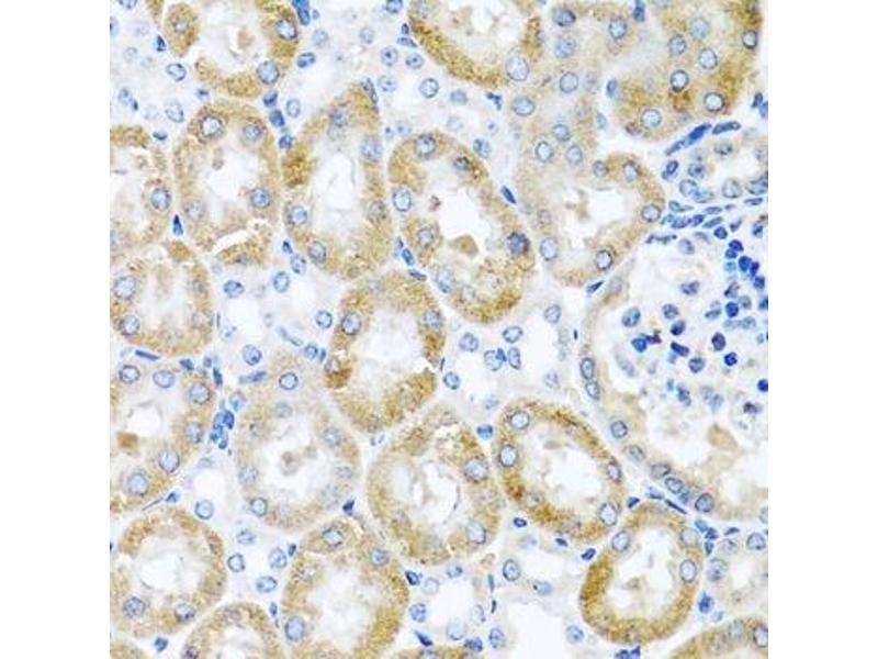
GnRH2 抗体 (AA 24-120)
Our Local Distributor
北京 101111
Quick Overview for GnRH2 抗体 (AA 24-120) (ABIN6141259)
抗原
See all GnRH2 抗体适用
宿主
克隆类型
标记
应用范围
-
-
抗原表位
- AA 24-120
-
序列
- QHWSHGWYPG GKRALSSAQD PQNALRPPGR ALDTAAGSPV QTAHGLPSDA LAPLDDSMPW EGRTTAQWSL HRKRHLARTL LTAAREPRPA PPSSNKV
-
交叉反应
- 人, 小鼠, 大鼠
-
产品特性
- Polyclonal Antibodies
-
纯化方法
- Affinity purification
-
免疫原
- Recombinant fusion protein containing a sequence corresponding to amino acids 24-120 of human GNRH2 (NP_001492.1).
-
亚型
- IgG
-
-
-
-
应用备注
- WB,1:500 - 1:2000,IF,1:50 - 1:100
-
说明
-
HIGH QUALITY
-
限制
- 仅限研究用
-
-
-
状态
- Liquid
-
缓冲液
- PBS with 0.02 % sodium azide,50 % glycerol, pH 7.3.
-
储存液
- Sodium azide
-
注意事项
- This product contains Sodium azide: a POISONOUS AND HAZARDOUS SUBSTANCE which should be handled by trained staff only.
-
储存条件
- -20 °C
-
储存方法
- Store at -20°C. Avoid freeze / thaw cycles.
-
-
- GnRH2 (Gonadotropin-Releasing Hormone 2 (GnRH2))
-
别名
- GNRH2
-
背景
- This gene encodes a secreted peptide hormone and member of the gonadotropin-releasing hormone (GnRH) family of proteins. The encoded protein regulates reproductive function by stimulating the production and release of the gonadotropins follicle-stimulating hormone (FSH) and luteinizing hormone (LH). The encoded protein may inhibit endometrial, ovarian, prostate, and breast cancer cell proliferation. Alternative splicing results in multiple transcript variants.,GNRH2,GnRH-II,LH-RHII,Signal Transduction,Cell Biology & Developmental Biology,Growth factor,GNRH2
-
分子量
- 12 kDa
-
基因ID
- 2797
-
UniProt
- O43555
-
途径
- Hormone Activity
抗原
-