电话:
+86 (0512) 65829739
传真:
+86 (010) 6788 5057
电子邮件:
orders@antibodies-online.cn

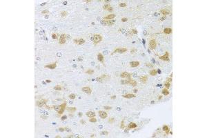
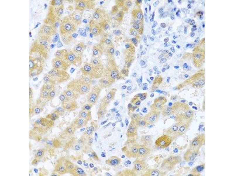
Pramel15 抗体 (AA 67-274)

The 兔 多克隆 anti-Pramel15 antibody (ABIN6141174) specifically detects Pramel15 in IHC 和 WB. The antibody is reactive with 小鼠 samples.
产品编号 ABIN6141174
发货至: 中国
Contact our Customer Service for availability and price in your country. Contact Info

Our Local Distributor

中国
北京 101111
No. 88 KeChuang 6th Street
Beijing Economic Technological Development Area
Room 801-803
4A Biotech Co.,Ltd.
Tel +86 (0512) 65829739 传真 +86 (010) 6788 5057

Quick Overview for Pramel15 抗体 (AA 67-274) (ABIN6141174)

抗原

Pramel15 (PRAME like 15 (Pramel15))

适用

  • 1
  • 1
  • 1
小鼠

宿主

  • 1

克隆类型

  • 1
多克隆

标记

  • 1
This Pramel15 antibody is un-conjugated

应用范围

Immunohistochemistry (IHC), Western Blotting (WB)
  • 抗原表位

    AA 67-274

    序列

    GALKKRTPYL ETQLQVVLEE VDKLLIQEVH PREYKLEVLD LRSVGQNYLN VWPGAMDDWL PKTTQTDPCC SKTVMTQPLK VLVDLQLNNR GQSRLFSYLV QWSDRRKGLL QLYCNKLQIW SPSQQNYRKL SQKVNLDYVE TLGLHSSCSP SFLLNFAPYL RQMRNLRKLA LSNIREEHII SPEKRRCIIT RFTLQILKLE SLQKLHLD

    交叉反应

    人, 小鼠, 大鼠

    产品特性

    Polyclonal Antibodies

    纯化方法

    Affinity purification

    免疫原

    Recombinant fusion protein containing a sequence corresponding to amino acids 67-274 of mouse Gm13125 (NP_001108549.1).

    亚型

    IgG
  • 应用备注

    WB,1:500 - 1:2000,IHC,1:100 - 1:200

    说明

    HIGH QUALITY

    限制

    仅限研究用
  • 状态

    Liquid

    缓冲液

    PBS with 0.02 % sodium azide,50 % glycerol, pH 7.3.

    储存液

    Sodium azide

    注意事项

    This product contains Sodium azide: a POISONOUS AND HAZARDOUS SUBSTANCE which should be handled by trained staff only.

    储存条件

    -20 °C

    储存方法

    Store at -20°C. Avoid freeze / thaw cycles.
  • 抗原

    Pramel15 (PRAME like 15 (Pramel15))

    别名

    Gm13125

    背景

    PRAMEF20,PRAMEF21,Gm13125,Gm13125

    分子量

    55 kDa

    基因ID

    627009

    UniProt

    Q5VT98
You are here: