电话:
+86 (0512) 65829739
传真:
+86 (010) 6788 5057
电子邮件:
orders@antibodies-online.cn

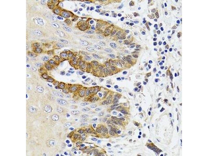
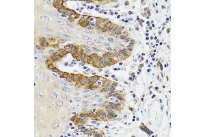
Esterase D 抗体 (AA 1-282)

This 兔 多克隆 antibody specifically detects Esterase D in WB 和 IHC. It exhibits reactivity toward 人.
产品编号 ABIN6140304
发货至: 中国
Contact our Customer Service for availability and price in your country. Contact Info

Our Local Distributor

中国
北京 101111
No. 88 KeChuang 6th Street
Beijing Economic Technological Development Area
Room 801-803
4A Biotech Co.,Ltd.
Tel +86 (0512) 65829739 传真 +86 (010) 6788 5057

Quick Overview for Esterase D 抗体 (AA 1-282) (ABIN6140304)

抗原

See all Esterase D (ESD) 抗体
Esterase D (ESD)

适用

  • 27
  • 26
  • 6
  • 2
  • 2
  • 2
  • 2
  • 1
  • 1
  • 1
  • 1
  • 1
  • 1

宿主

  • 38
  • 3

克隆类型

  • 40
  • 1
多克隆

标记

  • 17
  • 3
  • 2
  • 2
  • 1
  • 1
  • 1
  • 1
  • 1
  • 1
  • 1
  • 1
  • 1
  • 1
  • 1
  • 1
  • 1
  • 1
  • 1
  • 1
  • 1
This Esterase D antibody is un-conjugated

应用范围

  • 29
  • 13
  • 13
  • 12
  • 5
  • 4
  • 4
  • 3
  • 3
  • 1
  • 1
Western Blotting (WB), Immunohistochemistry (IHC)
  • 抗原表位

    • 15
    • 5
    • 5
    • 3
    • 1
    • 1
    • 1
    • 1
    AA 1-282

    序列

    MALKQISSNK CFGGLQKVFE HDSVELNCKM KFAVYLPPKA ETGKCPALYW LSGLTCTEQN FISKSGYHQS ASEHGLVVIA PDTSPRGCNI KGEDESWDFG TGAGFYVDAT EDPWKTNYRM YSYVTEELPQ LINANFPVDP QRMSIFGHSM GGHGALICAL KNPGKYKSVS AFAPICNPVL CPWGKKAFSG YLGTDQSKWK AYDATHLVKS YPGSQLDILI DQGKDDQFLL DGQLLPDNFI AACTEKKIPV VFRLQEGYDH SYYFIATFIT DHIRHHAKYL NA

    交叉反应

    人, 小鼠

    产品特性

    Polyclonal Antibodies

    纯化方法

    Affinity purification

    免疫原

    Recombinant fusion protein containing a sequence corresponding to amino acids 1-282 of human ESD (NP_001975.1).

    亚型

    IgG
  • 应用备注

    WB,1:500 - 1:2000,IHC,1:50 - 1:200

    说明

    HIGH QUALITY

    限制

    仅限研究用
  • 状态

    Liquid

    缓冲液

    PBS with 0.02 % sodium azide,50 % glycerol, pH 7.3.

    储存液

    Sodium azide

    注意事项

    This product contains Sodium azide: a POISONOUS AND HAZARDOUS SUBSTANCE which should be handled by trained staff only.

    储存条件

    -20 °C

    储存方法

    Store at -20°C. Avoid freeze / thaw cycles.
  • 抗原

    Esterase D (ESD)

    别名

    ESD

    背景

    This gene encodes a serine hydrolase that belongs to the esterase D family. The encoded enzyme is active toward numerous substrates including O-acetylated sialic acids, and it may be involved in the recycling of sialic acids. This gene is used as a genetic marker for retinoblastoma and Wilson's disease.,ESD,FGH,Signal Transduction,Cell Biology & Developmental Biology,Endocrine & Metabolism,ESD

    分子量

    31 kDa

    基因ID

    2098

    UniProt

    P10768
You are here: