电话:
+86 (0512) 65829739
传真:
+86 (010) 6788 5057
电子邮件:
orders@antibodies-online.cn

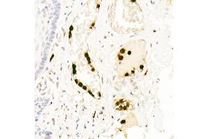
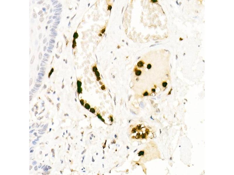
ELANE 抗体 (AA 30-267)

This 兔 多克隆 antibody specifically detects ELANE in WB 和 IF. It exhibits reactivity toward 人.
产品编号 ABIN6140110
发货至: 中国
Contact our Customer Service for availability and price in your country. Contact Info

Our Local Distributor

中国
北京 101111
No. 88 KeChuang 6th Street
Beijing Economic Technological Development Area
Room 801-803
4A Biotech Co.,Ltd.
Tel +86 (0512) 65829739 传真 +86 (010) 6788 5057

Quick Overview for ELANE 抗体 (AA 30-267) (ABIN6140110)

抗原

See all ELANE 抗体
ELANE (Elastase, Neutrophil Expressed (ELANE))

适用

  • 83
  • 6
  • 6
  • 2
  • 1

宿主

  • 62
  • 20
  • 5
  • 1

克隆类型

  • 48
  • 40
多克隆

标记

  • 49
  • 6
  • 5
  • 3
  • 3
  • 3
  • 3
  • 3
  • 3
  • 3
  • 2
  • 2
  • 1
  • 1
  • 1
This ELANE antibody is un-conjugated

应用范围

  • 49
  • 34
  • 30
  • 22
  • 18
  • 18
  • 8
  • 5
  • 3
  • 3
  • 3
  • 3
  • 3
  • 2
  • 2
  • 2
  • 1
  • 1
Western Blotting (WB), Immunofluorescence (IF)
  • 抗原表位

    • 10
    • 5
    • 5
    • 5
    • 2
    • 1
    • 1
    • 1
    • 1
    • 1
    • 1
    • 1
    AA 30-267

    序列

    IVGGRRARPH AWPFMVSLQL RGGHFCGATL IAPNFVMSAA HCVANVNVRA VRVVLGAHNL SRREPTRQVF AVQRIFENGY DPVNLLNDIV ILQLNGSATI NANVQVAQLP AQGRRLGNGV QCLAMGWGLL GRNRGIASVL QELNVTVVTS LCRRSNVCTL VRGRQAGVCF GDSGSPLVCN GLIHGIASFV RGGCASGLYP DAFAPVAQFV NWIDSIIQRS EDNPCPHPRD PDPASRTH

    交叉反应

    人, 小鼠, 大鼠

    产品特性

    Polyclonal Antibodies

    纯化方法

    Affinity purification

    免疫原

    Recombinant fusion protein containing a sequence corresponding to amino acids 30-267 of human Neutrophil Elastase (ELANE) (NP_001963.1).

    亚型

    IgG
  • 应用备注

    WB,1:500 - 1:2000,IF,1:50 - 1:200

    说明

    HIGH QUALITY

    限制

    仅限研究用
  • 状态

    Liquid

    缓冲液

    PBS with 0.02 % sodium azide,50 % glycerol, pH 7.3.

    储存液

    Sodium azide

    注意事项

    This product contains Sodium azide: a POISONOUS AND HAZARDOUS SUBSTANCE which should be handled by trained staff only.

    储存条件

    -20 °C

    储存方法

    Store at -20°C. Avoid freeze / thaw cycles.
  • 抗原

    ELANE (Elastase, Neutrophil Expressed (ELANE))

    别名

    ELANE

    背景

    Elastases form a subfamily of serine proteases that hydrolyze many proteins in addition to elastin. Humans have six elastase genes which encode structurally similar proteins. The encoded preproprotein is proteolytically processed to generate the active protease. Following activation, this protease hydrolyzes proteins within specialized neutrophil lysosomes, called azurophil granules, as well as proteins of the extracellular matrix. The enzyme may play a role in degenerative and inflammatory diseases through proteolysis of collagen-IV and elastin. This protein also degrades the outer membrane protein A (OmpA) of E. coli as well as the virulence factors of such bacteria as Shigella, Salmonella and Yersinia. Mutations in this gene are associated with cyclic neutropenia and severe congenital neutropenia (SCN). This gene is present in a gene cluster on chromosome 19.,ELANE,ELA2,GE,HLE,HNE,NE,PMN-E,SCN1,Signal Transduction,Cell Biology & Developmental Biology,Cytoskeleton,Extracellular Matrix,ELANE

    分子量

    28 kDa

    基因ID

    1991

    UniProt

    P08246
You are here: