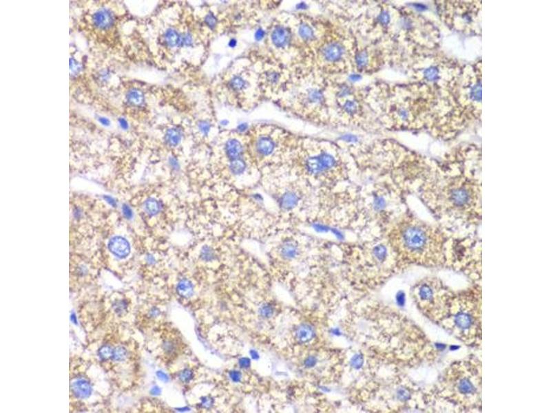
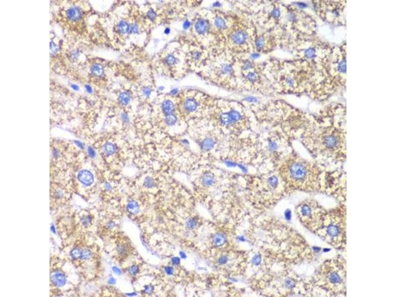
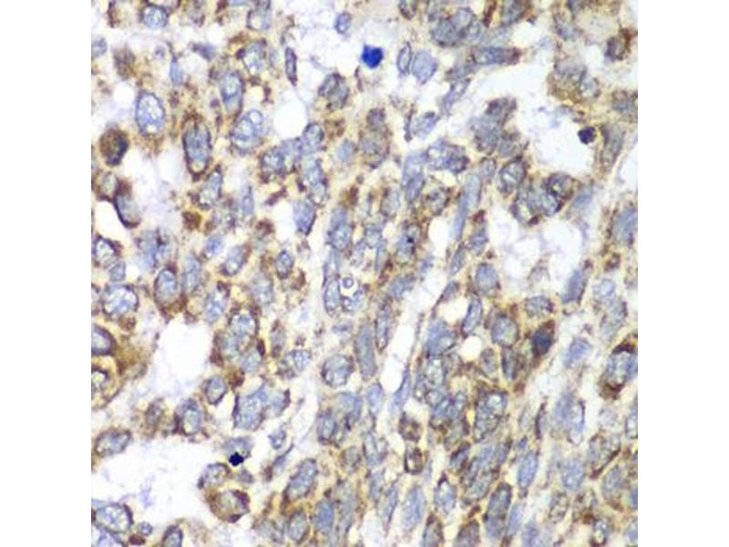
DLST 抗体 (AA 1-290)
Our Local Distributor
北京 101111
Quick Overview for DLST 抗体 (AA 1-290) (ABIN6139665)
抗原
See all DLST 抗体适用
宿主
克隆类型
标记
应用范围
-
-
抗原表位
- AA 1-290
-
序列
- MLSRSRCVSR AFSRSLSAFQ KGNCPLGRRS LPGVSLCQGP GYPNSRKVVI NNSVFSVRFF RTTAVCKDDL VTVKTPAFAE SVTEGDVRWE KAVGDTVAED EVVCEIETDK TSVQVPSPAN GVIEALLVPD GGKVEGGTPL FTLRKTGAAP AKAKPAEAPA AAAPKAEPTA AAVPPPAAPI PTQMPPVPSP SQPPSGKPVS AVKPTVAPPL AEPGAGKGLR SEHREKMNRM RQRIAQRLKE AQNTCAMLTT FNEIDMSNIQ EMRARHKEAF LKKHNLKLGF MSAFVKASAF
-
交叉反应
- 人, 小鼠, 大鼠
-
产品特性
- Polyclonal Antibodies
-
纯化方法
- Affinity purification
-
免疫原
- Recombinant fusion protein containing a sequence corresponding to amino acids 1-290 of human DLST (NP_001924.2).
-
亚型
- IgG
-
-
-
-
应用备注
- WB,1:500 - 1:2000,IHC,1:50 - 1:100,IF,1:50 - 1:100
-
限制
- 仅限研究用
-
-
-
状态
- Liquid
-
缓冲液
- PBS with 0.02 % sodium azide,50 % glycerol, pH 7.3.
-
储存液
- Sodium azide
-
注意事项
- This product contains Sodium azide: a POISONOUS AND HAZARDOUS SUBSTANCE which should be handled by trained staff only.
-
储存条件
- -20 °C
-
储存方法
- Store at -20°C. Avoid freeze / thaw cycles.
-
-
- DLST (Dihydrolipoamide S-Succinyltransferase (E2 Component of 2-Oxo-Glutarate Complex) (DLST))
-
别名
- DLST
-
背景
- This gene encodes a mitochondrial protein that belongs to the 2-oxoacid dehydrogenase family. This protein is one of the three components (the E2 component) of the 2-oxoglutarate dehydrogenase complex that catalyzes the overall conversion of 2-oxoglutarate to succinyl-CoA and CO(2). Alternatively spliced transcript variants have been found for this gene.,DLST,DLTS,Signal Transduction,Endocrine & Metabolism,Mitochondrial metabolism,Mitochondrial markers,Amino acid metabolism,DLST
-
分子量
- 39 kDa/48 kDa
-
基因ID
- 1743
-
UniProt
- P36957
抗原
-