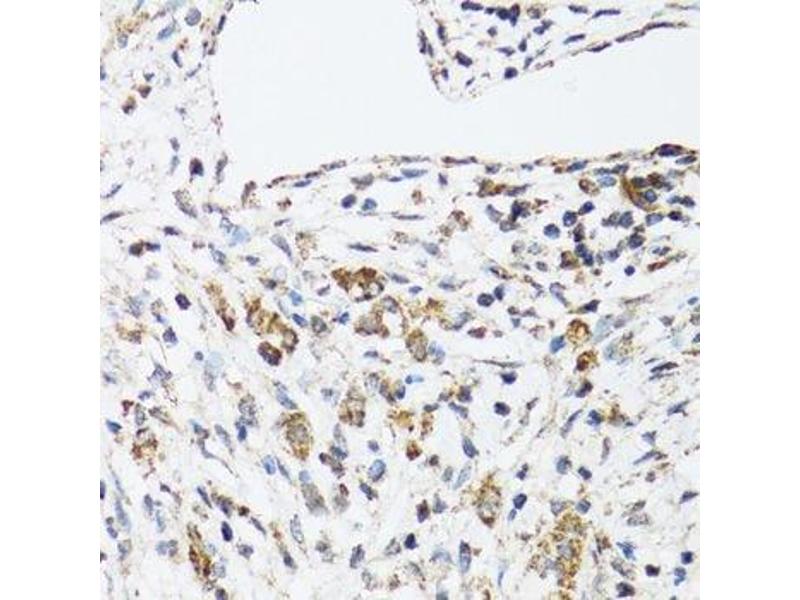
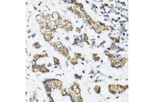
DHRS2 抗体 (AA 1-300)
Our Local Distributor
北京 101111
Quick Overview for DHRS2 抗体 (AA 1-300) (ABIN6139594)
抗原
See all DHRS2 抗体适用
宿主
克隆类型
标记
应用范围
-
-
抗原表位
- AA 1-300
-
序列
- MLSAVARGYQ GWFHPCARLS VRMSSTGIDR KGVLANRVAV VTGSTSGIGF AIARRLARDG AHVVISSRKQ QNVDRAMAKL QGEGLSVAGI VCHVGKAEDR EQLVAKALEH CGGVDFLVCS AGVNPLVGST LGTSEQIWDK ILSVNVKSPA LLLSQLLPYM ENRRGAVILV SSIAAYNPVV ALGVYNVSKT ALLGLTRTLA LELAPKDIRV NCVVPGIIKT DFSKVVRIGF MGMSLSGRTS RNIISCRGLG SQRTVQESCP SCALQMPATS TGRTLRWQAT PLGSERSGGG CVAVVPGPGA
-
交叉反应
- 人, 小鼠, 大鼠
-
产品特性
- Polyclonal Antibodies
-
纯化方法
- Affinity purification
-
免疫原
- Recombinant fusion protein containing a sequence corresponding to amino acids 1-300 of human DHRS2 (NP_878912.1).
-
亚型
- IgG
-
-
-
-
应用备注
- WB,1:500 - 1:2000,IF,1:10 - 1:100
-
说明
-
HIGH QUALITY
-
限制
- 仅限研究用
-
-
-
状态
- Liquid
-
缓冲液
- PBS with 0.02 % sodium azide,50 % glycerol, pH 7.3.
-
储存液
- Sodium azide
-
注意事项
- This product contains Sodium azide: a POISONOUS AND HAZARDOUS SUBSTANCE which should be handled by trained staff only.
-
储存条件
- -20 °C
-
储存方法
- Store at -20°C. Avoid freeze / thaw cycles.
-
-
- DHRS2 (Dehydrogenase/reductase (SDR Family) Member 2 (DHRS2))
-
别名
- DHRS2
-
背景
- This gene encodes a member of the short-chain dehydrogenases/reductases (SDR) family, which has over 46,000 members. Members of this family are enzymes that metabolize many different compounds, such as steroid hormones, prostaglandins, retinoids, lipids and xenobiotics. Alternative promoter use and alternative splicing results in multiple transcript variants.,DHRS2,HEP27,SDR25C1,Cancer,Signal Transduction,Cell Biology & Developmental Biology,Growth factor,Endocrine & Metabolism,Drug metabolism,DHRS2
-
分子量
- 29 kDa/31 kDa
-
基因ID
- 10202
-
UniProt
- Q13268
-
途径
- C21-Steroid Hormone Metabolic Process
抗原
-