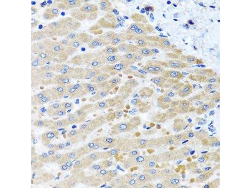
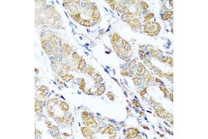
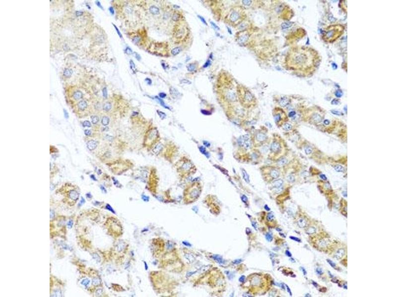
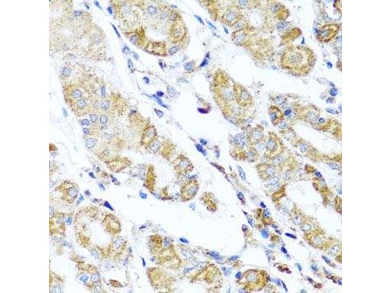
DARS2 抗体 (AA 406-645)
Our Local Distributor
北京 101111
Quick Overview for DARS2 抗体 (AA 406-645) (ABIN6139409)
抗原
See all DARS2 抗体适用
宿主
克隆类型
标记
应用范围
-
-
抗原表位
- AA 406-645
-
序列
- ANRNWNSPVA NFIMESQRLE LIRLMETQEE DVVLLTAGEH NKACSLLGKL RLECADLLET RGVVLRDPTL FSFLWVVDFP LFLPKEENPR ELESAHHPFT APHPSDIHLL YTEPKKARSQ HYDLVLNGNE IGGGSIRIHN AELQRYILAT LLKEDVKMLS HLLQALDYGA PPHGGIALGL DRLICLVTGS PSIRDVIAFP KSFRGHDLMS NTPDSVPPEE LKPYHIRVSK PTDSKAERAH
-
交叉反应
- 人, 小鼠
-
产品特性
- Polyclonal Antibodies
-
纯化方法
- Affinity purification
-
免疫原
- Recombinant fusion protein containing a sequence corresponding to amino acids 406-645 of human DARS2 (NP_060592.2).
-
亚型
- IgG
-
-
-
-
应用备注
- WB,1:500 - 1:2000,IHC,1:50 - 1:200
-
说明
-
HIGH QUALITY
-
限制
- 仅限研究用
-
-
-
状态
- Liquid
-
缓冲液
- PBS with 0.02 % sodium azide,50 % glycerol, pH 7.3.
-
储存液
- Sodium azide
-
注意事项
- This product contains Sodium azide: a POISONOUS AND HAZARDOUS SUBSTANCE which should be handled by trained staff only.
-
储存条件
- -20 °C
-
储存方法
- Store at -20°C. Avoid freeze / thaw cycles.
-
-
- DARS2 (Aspartyl-tRNA Synthetase 2, Mitochondrial (DARS2))
-
别名
- DARS2
-
背景
- The protein encoded by this gene belongs to the class-II aminoacyl-tRNA synthetase family. It is a mitochondrial enzyme that specifically aminoacylates aspartyl-tRNA. Mutations in this gene are associated with leukoencephalopathy with brainstem and spinal cord involvement and lactate elevation (LBSL).,DARS2,ASPRS,LBSL,MT-ASPRS,Epigenetics & Nuclear Signaling,Signal Transduction,Endocrine & Metabolism,Mitochondrial metabolism,Mitochondrial markers,Mitochondrial translation,Nucleotide metabolism,DARS2
-
分子量
- 73 kDa
-
基因ID
- 55157
-
UniProt
- Q6PI48
抗原
-