电话:
+86 (0512) 65829739
传真:
+86 (010) 6788 5057
电子邮件:
orders@antibodies-online.cn

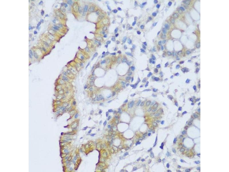
EFCAB4B 抗体 (AA 1-200)

The 兔 多克隆 anti-EFCAB4B antibody (ABIN6138999) specifically detects EFCAB4B in WB 和 IHC. The antibody is reactive with 人 samples.
产品编号 ABIN6138999
发货至: 中国
Contact our Customer Service for availability and price in your country. Contact Info

Our Local Distributor

中国
北京 101111
No. 88 KeChuang 6th Street
Beijing Economic Technological Development Area
Room 801-803
4A Biotech Co.,Ltd.
Tel +86 (0512) 65829739 传真 +86 (010) 6788 5057

Quick Overview for EFCAB4B 抗体 (AA 1-200) (ABIN6138999)

抗原

See all EFCAB4B 抗体
EFCAB4B (EF-Hand Calcium Binding Domain 4B (EFCAB4B))

适用

  • 20
  • 4
  • 3
  • 3
  • 2
  • 2
  • 2
  • 2
  • 1
  • 1

宿主

  • 18
  • 2

克隆类型

  • 20
多克隆

标记

  • 15
  • 1
  • 1
  • 1
  • 1
  • 1
This EFCAB4B antibody is un-conjugated

应用范围

  • 19
  • 9
  • 3
  • 1
  • 1
  • 1
Western Blotting (WB), Immunohistochemistry (IHC)
  • 抗原表位

    • 8
    • 3
    • 2
    • 2
    • 1
    • 1
    • 1
    • 1
    • 1
    • 1
    • 1
    AA 1-200

    序列

    MAAPDGRVVS RPQRLGQGSG QGPKGSGACL HPLDSLEQKE TQEQTSGQLV MLRKAQEFFQ TCDAEGKGFI ARKDMQRLHK ELPLSLEELE DVFDALDADG NGYLTPQEFT TGFSHFFFSQ NNPSQEDAGE QVAQRHEEKV YLSRGDEDLG DMGEDEEAQF RMLMDRLGAQ KVLEDESDVK QLWLQLKKEE PHLLSNFEDF

    交叉反应

    人, 小鼠

    产品特性

    Polyclonal Antibodies

    纯化方法

    Affinity purification

    免疫原

    Recombinant fusion protein containing a sequence corresponding to amino acids 1-200 of human CRACR2A (NP_001138430.1).

    亚型

    IgG
  • 应用备注

    WB,1:500 - 1:2000,IHC,1:50 - 1:200

    限制

    仅限研究用
  • 状态

    Liquid

    缓冲液

    PBS with 0.02 % sodium azide,50 % glycerol, pH 7.3.

    储存液

    Sodium azide

    注意事项

    This product contains Sodium azide: a POISONOUS AND HAZARDOUS SUBSTANCE which should be handled by trained staff only.

    储存条件

    -20 °C

    储存方法

    Store at -20°C. Avoid freeze / thaw cycles.
  • 抗原

    EFCAB4B (EF-Hand Calcium Binding Domain 4B (EFCAB4B))

    别名

    CRACR2A

    背景

    [Isoform 1]: Ca(2+-binding protein that plays a key role in store-operated Ca(2+ entry (SOCE in T-cells by regulating CRAC channel activation. Acts as a cytoplasmic calcium-sensor that facilitates the clustering of ORAI1 and STIM1 at the junctional regions between the plasma membrane and the endoplasmic reticulum upon low Ca(2+ concentration. It thereby regulates CRAC channel activation, including translocation and clustering of ORAI1 and STIM1. Upon increase of cytoplasmic Ca(2+ resulting from opening of CRAC channels, dissociates from ORAI1 and STIM1, thereby destabilizing the ORAI1-STIM1 complex.,CRACR2A,EFCAB4B,Signal Transduction,Neuroscience,Calcium Signaling,CRACR2A

    分子量

    45 kDa/83 kDa

    基因ID

    84766

    UniProt

    Q9BSW2
You are here: