电话:
+86 (0512) 65829739
传真:
+86 (010) 6788 5057
电子邮件:
orders@antibodies-online.cn

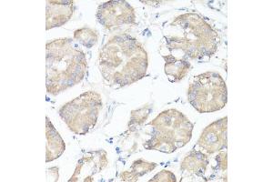
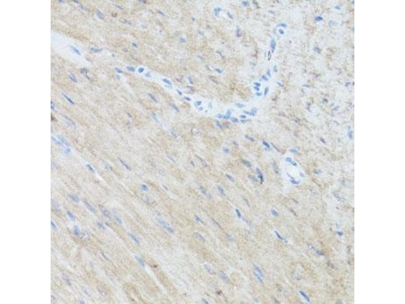
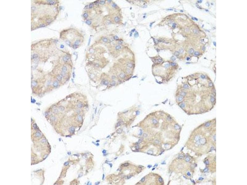
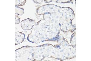
CLUH 抗体 (AA 1120-1309)

This 兔 多克隆 antibody specifically detects CLUH in WB, IHC 和 IF. It exhibits reactivity toward 人.
产品编号 ABIN6138760
发货至: 中国
Contact our Customer Service for availability and price in your country. Contact Info

Our Local Distributor

中国
北京 101111
No. 88 KeChuang 6th Street
Beijing Economic Technological Development Area
Room 801-803
4A Biotech Co.,Ltd.
Tel +86 (0512) 65829739 传真 +86 (010) 6788 5057

Quick Overview for CLUH 抗体 (AA 1120-1309) (ABIN6138760)

抗原

CLUH (Clustered Mitochondria (CluA/CLU1) Homolog (CLUH))

适用

  • 6
  • 4
  • 2
  • 2
  • 2
  • 2
  • 1
  • 1
  • 1
  • 1

宿主

  • 6

克隆类型

  • 6
多克隆

标记

  • 6
This CLUH antibody is un-conjugated

应用范围

  • 5
  • 2
  • 2
  • 1
  • 1
Western Blotting (WB), Immunohistochemistry (IHC), Immunofluorescence (IF)
  • 抗原表位

    • 1
    • 1
    • 1
    • 1
    • 1
    AA 1120-1309

    序列

    YDLSLRFLEN ALAVSTKYHG PKALKVALSH HLVARVYESK AEFRSALQHE KEGYTIYKTQ LGEDHEKTKE SSEYLKCLTQ QAVALQRTMN EIYRNGSSAN IPPLKFTAPS MASVLEQLNV INGILFIPLS QKDLENLKAE VARRHQLQEA SRNRDRAEEP MATEPAPAGA PGDLGSQPPA AKDPSPSVQG

    交叉反应

    人, 小鼠

    产品特性

    Polyclonal Antibodies

    纯化方法

    Affinity purification

    免疫原

    Recombinant fusion protein containing a sequence corresponding to amino acids 1120-1309 of human CLUH (NP_056044.3).

    亚型

    IgG
  • 应用备注

    WB,1:1000 - 1:4000,IHC,1:50 - 1:200,IF,1:50 - 1:200

    说明

    HIGH QUALITY

    限制

    仅限研究用
  • 状态

    Liquid

    缓冲液

    PBS with 0.02 % sodium azide,50 % glycerol, pH 7.3.

    储存液

    Sodium azide

    注意事项

    This product contains Sodium azide: a POISONOUS AND HAZARDOUS SUBSTANCE which should be handled by trained staff only.

    储存条件

    -20 °C

    储存方法

    Store at -20°C. Avoid freeze / thaw cycles.
  • 抗原

    CLUH (Clustered Mitochondria (CluA/CLU1) Homolog (CLUH))

    别名

    CLUH

    背景

    MRNA-binding protein involved in proper cytoplasmic distribution of mitochondria. Specifically binds mRNAs of nuclear-encoded mitochondrial proteins in the cytoplasm and regulates transport or translation of these transcripts close to mitochondria, playing a role in mitochondrial biogenesis.,CLUH,CLU1,KIAA0664,CLUH

    分子量

    146 kDa

    基因ID

    23277

    UniProt

    O75153
You are here: