电话:
+86 (0512) 65829739
传真:
+86 (010) 6788 5057
电子邮件:
orders@antibodies-online.cn

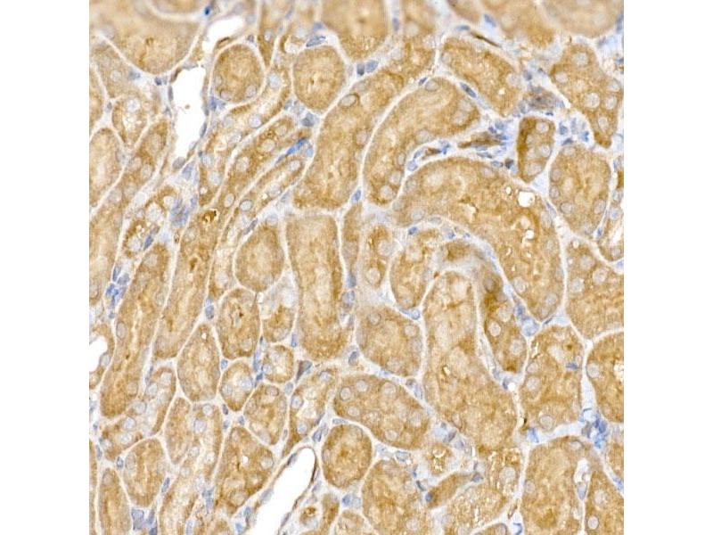
CLIC4 抗体 (AA 1-253)

This 兔 多克隆 antibody specifically detects CLIC4 in WB, IHC 和 IF. It exhibits reactivity toward 人.
产品编号 ABIN6138723
发货至: 中国
Contact our Customer Service for availability and price in your country. Contact Info

Our Local Distributor

中国
北京 101111
No. 88 KeChuang 6th Street
Beijing Economic Technological Development Area
Room 801-803
4A Biotech Co.,Ltd.
Tel +86 (0512) 65829739 传真 +86 (010) 6788 5057

Quick Overview for CLIC4 抗体 (AA 1-253) (ABIN6138723)

抗原

See all CLIC4 抗体
CLIC4 (Chloride Intracellular Channel 4 (CLIC4))

适用

  • 60
  • 35
  • 26
  • 2
  • 1
  • 1
  • 1
  • 1

宿主

  • 66
  • 2
  • 1

克隆类型

  • 55
  • 14
多克隆

标记

  • 32
  • 10
  • 2
  • 2
  • 2
  • 2
  • 2
  • 2
  • 1
  • 1
  • 1
  • 1
  • 1
  • 1
  • 1
  • 1
  • 1
  • 1
  • 1
  • 1
  • 1
  • 1
  • 1
This CLIC4 antibody is un-conjugated

应用范围

  • 46
  • 32
  • 19
  • 15
  • 14
  • 13
  • 13
  • 9
  • 9
  • 5
  • 3
  • 3
  • 1
  • 1
Western Blotting (WB), Immunohistochemistry (IHC), Immunofluorescence (IF)
  • 抗原表位

    • 15
    • 6
    • 6
    • 2
    • 1
    • 1
    • 1
    • 1
    • 1
    • 1
    • 1
    AA 1-253

    序列

    MALSMPLNGL KEEDKEPLIE LFVKAGSDGE SIGNCPFSQR LFMILWLKGV VFSVTTVDLK RKPADLQNLA PGTHPPFITF NSEVKTDVNK IEEFLEEVLC PPKYLKLSPK HPESNTAGMD IFAKFSAYIK NSRPEANEAL ERGLLKTLQK LDEYLNSPLP DEIDENSMED IKFSTRKFLD GNEMTLADCN LLPKLHIVKV VAKKYRNFDI PKEMTGIWRY LTNAYSRDEF TNTCPSDKEV EIAYSDVAKR LTK

    交叉反应

    人, 小鼠, 大鼠

    产品特性

    Polyclonal Antibodies

    纯化方法

    Affinity purification

    免疫原

    Recombinant fusion protein containing a sequence corresponding to amino acids 1-253 of human CLIC4 (NP_039234.1).

    亚型

    IgG
  • 应用备注

    WB,1:500 - 1:2000,IHC,1:50 - 1:200,IF,1:50 - 1:100

    说明

    HIGH QUALITY

    限制

    仅限研究用
  • 状态

    Liquid

    缓冲液

    PBS with 0.02 % sodium azide,50 % glycerol, pH 7.3.

    储存液

    Sodium azide

    注意事项

    This product contains Sodium azide: a POISONOUS AND HAZARDOUS SUBSTANCE which should be handled by trained staff only.

    储存条件

    -20 °C

    储存方法

    Store at -20°C. Avoid freeze / thaw cycles.
  • 抗原

    CLIC4 (Chloride Intracellular Channel 4 (CLIC4))

    别名

    CLIC4

    背景

    Chloride channels are a diverse group of proteins that regulate fundamental cellular processes including stabilization of cell membrane potential, transepithelial transport, maintenance of intracellular pH , and regulation of cell volume. Chloride intracellular channel 4 (CLIC4) protein, encoded by the CLIC4 gene, is a member of the p64 family, the gene is expressed in many tissues and exhibits a intracellular vesicular pattern in Panc-1 cells (pancreatic cancer cells).,CLIC4,CLIC4L,H1,MTCLIC,huH1,p64H1,Epigenetics & Nuclear Signaling,Cancer,Signal Transduction,Cell Biology & Developmental Biology,Apoptosis,Cell Cycle,Endocrine & Metabolism,Mitochondrial metabolism,Mitochondrial markers,CLIC4

    分子量

    28 kDa

    基因ID

    25932

    UniProt

    Q9Y696
You are here: