电话:
+86 (0512) 65829739
传真:
+86 (010) 6788 5057
电子邮件:
orders@antibodies-online.cn

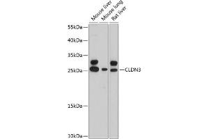
Claudin 3 抗体 (AA 141-220)

This 兔 多克隆 antibody specifically detects Claudin 3 in WB. It exhibits reactivity toward 人.
产品编号 ABIN6138688
发货至: 中国
Contact our Customer Service for availability and price in your country. Contact Info

Our Local Distributor

中国
北京 101111
No. 88 KeChuang 6th Street
Beijing Economic Technological Development Area
Room 801-803
4A Biotech Co.,Ltd.
Tel +86 (0512) 65829739 传真 +86 (010) 6788 5057

Quick Overview for Claudin 3 抗体 (AA 141-220) (ABIN6138688)

抗原

See all Claudin 3 (CLDN3) 抗体
Claudin 3 (CLDN3)

适用

  • 66
  • 21
  • 16
  • 3
  • 3

宿主

  • 55
  • 13
  • 2

克隆类型

  • 43
  • 27
多克隆

标记

  • 37
  • 6
  • 3
  • 3
  • 3
  • 3
  • 3
  • 3
  • 3
  • 1
  • 1
  • 1
  • 1
  • 1
  • 1
This Claudin 3 antibody is un-conjugated

应用范围

  • 41
  • 25
  • 19
  • 16
  • 15
  • 11
  • 4
  • 3
  • 2
Western Blotting (WB)
  • 抗原表位

    • 10
    • 8
    • 5
    • 2
    • 2
    • 2
    • 2
    • 1
    • 1
    • 1
    • 1
    • 1
    AA 141-220

    序列

    TIIRDFYNPV VPEAQKREMG AGLYVGWAAA ALQLLGGALL CCSCPPREKK YTATKVVYSA PRSTGPGASL GTGYDRKDYV

    交叉反应

    小鼠, 大鼠

    产品特性

    Polyclonal Antibodies

    纯化方法

    Affinity purification

    免疫原

    Recombinant fusion protein containing a sequence corresponding to amino acids 141-220 of human CLDN3 (NP_001297.1).

    亚型

    IgG
  • 应用备注

    WB,1:500 - 1:2000

    说明

    HIGH QUALITY

    限制

    仅限研究用
  • 状态

    Liquid

    缓冲液

    PBS with 0.02 % sodium azide,50 % glycerol, pH 7.3.

    储存液

    Sodium azide

    注意事项

    This product contains Sodium azide: a POISONOUS AND HAZARDOUS SUBSTANCE which should be handled by trained staff only.

    储存条件

    -20 °C

    储存方法

    Store at -20°C. Avoid freeze / thaw cycles.
  • 抗原

    Claudin 3 (CLDN3)

    别名

    CLDN3

    背景

    Tight junctions represent one mode of cell-to-cell adhesion in epithelial or endothelial cell sheets, forming continuous seals around cells and serving as a physical barrier to prevent solutes and water from passing freely through the paracellular space. These junctions are comprised of sets of continuous networking strands in the outwardly facing cytoplasmic leaflet, with complementary grooves in the inwardly facing extracytoplasmic leaflet. The protein encoded by this intronless gene, a member of the claudin family, is an integral membrane protein and a component of tight junction strands. It is also a low-affinity receptor for Clostridium perfringens enterotoxin, and shares aa sequence similarity with a putative apoptosis-related protein found in rat.,CLDN3,C7orf1,CPE-R2,CPETR2,HRVP1,RVP1,claudin-3,Cancer,Signal Transduction,Cell Biology & Developmental Biology,Cell Adhesion,Tight Junctions,Cytoskeleton,Endocrine & Metabolism,CLDN3

    分子量

    23 kDa

    基因ID

    1365

    UniProt

    O15551

    途径

    Hepatitis C
You are here: