电话:
+86 (0512) 65829739
传真:
+86 (010) 6788 5057
电子邮件:
orders@antibodies-online.cn

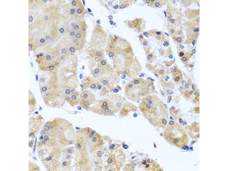
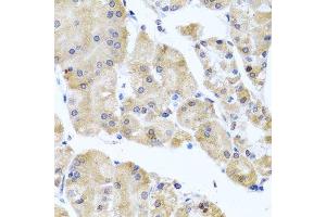
CETN3 抗体 (AA 1-167)

The 兔 多克隆 anti-CETN3 antibody (ABIN6138444) specifically detects CETN3 in WB, IF 和 IHC. The antibody is reactive with 人 samples.
产品编号 ABIN6138444
发货至: 中国
Contact our Customer Service for availability and price in your country. Contact Info

Our Local Distributor

中国
北京 101111
No. 88 KeChuang 6th Street
Beijing Economic Technological Development Area
Room 801-803
4A Biotech Co.,Ltd.
Tel +86 (0512) 65829739 传真 +86 (010) 6788 5057

Quick Overview for CETN3 抗体 (AA 1-167) (ABIN6138444)

抗原

See all CETN3 抗体
CETN3 (Centrin, EF-Hand Protein, 3 (CETN3))

适用

  • 24
  • 20
  • 3

宿主

  • 30
  • 9

克隆类型

  • 32
  • 7
多克隆

标记

  • 15
  • 2
  • 2
  • 1
  • 1
  • 1
  • 1
  • 1
  • 1
  • 1
  • 1
  • 1
  • 1
  • 1
  • 1
  • 1
  • 1
  • 1
  • 1
  • 1
  • 1
  • 1
  • 1
This CETN3 antibody is un-conjugated

应用范围

  • 30
  • 13
  • 13
  • 9
  • 6
  • 4
  • 4
  • 3
  • 3
  • 2
  • 1
Western Blotting (WB), Immunofluorescence (IF), Immunohistochemistry (IHC)
  • 抗原表位

    • 19
    • 4
    • 1
    AA 1-167

    序列

    MSLALRSELV VDKTKRKKRR ELSEEQKQEI KDAFELFDTD KDEAIDYHEL KVAMRALGFD VKKADVLKIL KDYDREATGK ITFEDFNEVV TDWILERDPH EEILKAFKLF DDDDSGKISL RNLRRVAREL GENMSDEELR AMIEEFDKDG DGEINQEEFI AIMTGDI

    交叉反应

    人, 小鼠, 大鼠

    产品特性

    Polyclonal Antibodies

    纯化方法

    Affinity purification

    免疫原

    Recombinant fusion protein containing a sequence corresponding to amino acids 1-167 of human CETN3 (NP_004356.2).

    亚型

    IgG
  • 应用备注

    WB,1:500 - 1:2000,IHC,1:50 - 1:100,IF,1:50 - 1:200

    说明

    HIGH QUALITY

    限制

    仅限研究用
  • 状态

    Liquid

    缓冲液

    PBS with 0.02 % sodium azide,50 % glycerol, pH 7.3.

    储存液

    Sodium azide

    注意事项

    This product contains Sodium azide: a POISONOUS AND HAZARDOUS SUBSTANCE which should be handled by trained staff only.

    储存条件

    -20 °C

    储存方法

    Store at -20°C. Avoid freeze / thaw cycles.
  • 抗原

    CETN3 (Centrin, EF-Hand Protein, 3 (CETN3))

    别名

    CETN3

    背景

    The protein encoded by this gene contains four EF-hand calcium binding domains, and is a member of the centrin protein family. Centrins are evolutionarily conserved proteins similar to the CDC31 protein of S. cerevisiae. Yeast CDC31 is located at the centrosome of interphase and mitotic cells, where it plays a fundamental role in centrosome duplication and separation. Multiple forms of the proteins similar to the yeast centrin have been identified in human and other mammalian cells, some of which have been shown to be associated with centrosome fractions. This protein appears to be one of the most abundant centrins associated with centrosome, which suggests a similar function to its yeast counterpart. Alternatively spliced transcript variants encoding different isoforms have been found for this gene.,CETN3,CDC31,CEN3,centrin-3,Cell Biology & Developmental Biology,Cell Cycle,Centrosome,CETN3

    分子量

    19 kDa

    基因ID

    1070

    UniProt

    O15182
You are here: