电话:
+86 (0512) 65829739
传真:
+86 (010) 6788 5057
电子邮件:
orders@antibodies-online.cn

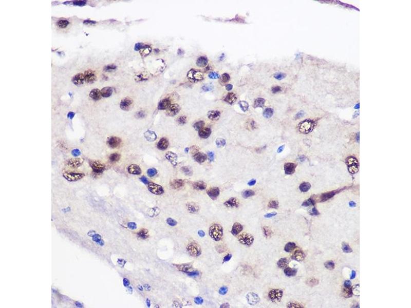
CELF1 抗体 (AA 108-483)

The 兔 多克隆 anti-CELF1 antibody (ABIN6138399) specifically detects CELF1 in WB, IHC 和 IP. The antibody is reactive with 人 samples.
产品编号 ABIN6138399
发货至: 中国
Contact our Customer Service for availability and price in your country. Contact Info

Our Local Distributor

中国
北京 101111
No. 88 KeChuang 6th Street
Beijing Economic Technological Development Area
Room 801-803
4A Biotech Co.,Ltd.
Tel +86 (0512) 65829739 传真 +86 (010) 6788 5057

Quick Overview for CELF1 抗体 (AA 108-483) (ABIN6138399)

抗原

See all CELF1 抗体
CELF1 (CUGBP, Elav-Like Family Member 1 (CELF1))

适用

  • 61
  • 34
  • 33
  • 7
  • 5
  • 4
  • 3
  • 3
  • 2
  • 2
  • 2
  • 1
  • 1

宿主

  • 49
  • 12

克隆类型

  • 38
  • 23
多克隆

标记

  • 33
  • 4
  • 3
  • 3
  • 3
  • 3
  • 3
  • 3
  • 1
  • 1
  • 1
  • 1
  • 1
  • 1
This CELF1 antibody is un-conjugated

应用范围

  • 44
  • 31
  • 18
  • 16
  • 14
  • 13
  • 11
  • 8
Western Blotting (WB), Immunohistochemistry (IHC), Immunoprecipitation (IP)
  • 抗原表位

    • 9
    • 5
    • 3
    • 2
    • 2
    • 1
    • 1
    • 1
    • 1
    • 1
    • 1
    • 1
    AA 108-483

    序列

    RKLFIGMISK KCTENDIRVM FSSFGQIEEC RILRGPDGLS RGCAFVTFTT RAMAQTAIKA MHQAQTMEGC SSPMVVKFAD TQKDKEQKRM AQQLQQQMQQ ISAASVWGNL AGLNTLGPQY LALLQQTASS GNLNTLSSLH PMGGLNAMQL QNLAALAAAA SAAQNTPSGT NALTTSSSPL SVLTSSAGSS PSSSSSNSVN PIASLGALQT LAGATAGLNV GSLAGMAALN GGLGSSGLSN GTGSTMEALT QAYSGIQQYA AAALPTLYNQ NLLTQQSIGA AGSQKEGPEG ANLFIYHLPQ EFGDQDLLQM FMPFGNVVSA KVFIDKQTNL SKCFGFVSYD NPVSAQAAIQ SMNGFQIGMK RLKVQLKRSK NDSKPY

    交叉反应

    人, 小鼠, 大鼠

    产品特性

    Polyclonal Antibodies

    纯化方法

    Affinity purification

    免疫原

    Recombinant fusion protein containing a sequence corresponding to amino acids 108-483 of human CELF1 (NP_941989.1).

    亚型

    IgG
  • 应用备注

    WB,1:200 - 1:2000,IHC,1:50 - 1:200,IP,1:50 - 1:200

    说明

    HIGH QUALITY

    限制

    仅限研究用
  • 状态

    Liquid

    缓冲液

    PBS with 0.02 % sodium azide,50 % glycerol, pH 7.3.

    储存液

    Sodium azide

    注意事项

    This product contains Sodium azide: a POISONOUS AND HAZARDOUS SUBSTANCE which should be handled by trained staff only.

    储存条件

    -20 °C

    储存方法

    Store at -20°C. Avoid freeze / thaw cycles.
  • 抗原

    CELF1 (CUGBP, Elav-Like Family Member 1 (CELF1))

    别名

    CELF1

    背景

    Members of the CELF/BRUNOL protein family contain two N-terminal RNA recognition motif (RRM) domains, one C-terminal RRM domain, and a divergent segment of 160-230 aa between the second and third RRM domains. Members of this protein family regulate pre-mRNA alternative splicing and may also be involved in mRNA editing, and translation. This gene may play a role in myotonic dystrophy type 1 (DM1) via interactions with the dystrophia myotonica-protein kinase (DMPK) gene. Alternative splicing results in multiple transcript variants encoding different isoforms.,CELF1,BRUNOL2,CUG-BP,CUGBP,CUGBP1,EDEN-BP,NAB50,NAPOR,hNab50,Epigenetics & Nuclear Signaling,RNA Binding,Neuroscience,Neurodegenerative Diseases,CELF1

    分子量

    50 kDa/51 kDa/52 kDa/55 kDa

    基因ID

    10658

    UniProt

    Q92879

    途径

    Ribonucleoprotein Complex Subunit Organization
You are here: