电话:
+86 (0512) 65829739
传真:
+86 (010) 6788 5057
电子邮件:
orders@antibodies-online.cn

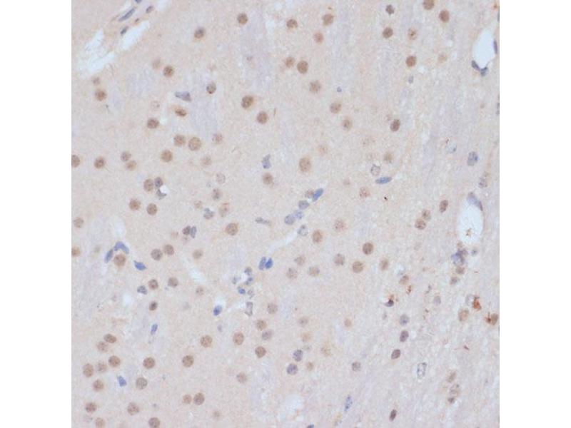
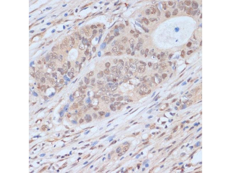
CDK9 抗体 (AA 153-372)

The 兔 多克隆 anti-CDK9 antibody is suitable to detect CDK9 in samples from 人. It has been validated for WB, IHC 和 IF.
产品编号 ABIN6138331
发货至: 中国
Contact our Customer Service for availability and price in your country. Contact Info

Our Local Distributor

中国
北京 101111
No. 88 KeChuang 6th Street
Beijing Economic Technological Development Area
Room 801-803
4A Biotech Co.,Ltd.
Tel +86 (0512) 65829739 传真 +86 (010) 6788 5057

Quick Overview for CDK9 抗体 (AA 153-372) (ABIN6138331)

抗原

See all CDK9 抗体
CDK9 (Cyclin-Dependent Kinase 9 (CDK9))

适用

  • 109
  • 49
  • 23
  • 7
  • 6
  • 6
  • 5
  • 3
  • 1
  • 1
  • 1

宿主

  • 105
  • 4
  • 2

克隆类型

  • 84
  • 27
多克隆

标记

  • 47
  • 6
  • 4
  • 4
  • 4
  • 4
  • 4
  • 4
  • 4
  • 3
  • 2
  • 2
  • 2
  • 2
  • 2
  • 2
  • 2
  • 2
  • 2
  • 2
  • 2
  • 2
  • 1
  • 1
  • 1
This CDK9 antibody is un-conjugated

应用范围

  • 86
  • 28
  • 27
  • 26
  • 25
  • 21
  • 18
  • 16
  • 16
  • 12
  • 8
  • 1
  • 1
  • 1
Western Blotting (WB), Immunohistochemistry (IHC), Immunofluorescence (IF)
  • 抗原表位

    • 26
    • 15
    • 10
    • 6
    • 6
    • 2
    • 2
    • 1
    • 1
    • 1
    • 1
    • 1
    • 1
    • 1
    • 1
    • 1
    • 1
    • 1
    • 1
    AA 153-372

    序列

    ANVLITRDGV LKLADFGLAR AFSLAKNSQP NRYTNRVVTL WYRPPELLLG ERDYGPPIDL WGAGCIMAEM WTRSPIMQGN TEQHQLALIS QLCGSITPEV WPNVDNYELY EKLELVKGQK RKVKDRLKAY VRDPYALDLI DKLLVLDPAQ RIDSDDALNH DFFWSDPMPS DLKGMLSTHL TSMFEYLAPP RRKGSQITQQ STNQSRNPAT TNQTEFERVF

    交叉反应

    人, 小鼠, 大鼠

    产品特性

    Polyclonal Antibodies

    纯化方法

    Affinity purification

    免疫原

    Recombinant fusion protein containing a sequence corresponding to amino acids 153-372 of human CDK9 (NP_001252.1).

    亚型

    IgG
  • 应用备注

    WB,1:500 - 1:1000,IHC,1:50 - 1:200,IF,1:50 - 1:200

    限制

    仅限研究用
  • 状态

    Liquid

    缓冲液

    PBS with 0.02 % sodium azide,50 % glycerol, pH 7.3.

    储存液

    Sodium azide

    注意事项

    This product contains Sodium azide: a POISONOUS AND HAZARDOUS SUBSTANCE which should be handled by trained staff only.

    储存条件

    -20 °C

    储存方法

    Store at -20°C. Avoid freeze / thaw cycles.
  • 抗原

    CDK9 (Cyclin-Dependent Kinase 9 (CDK9))

    别名

    CDK9

    背景

    The protein encoded by this gene is a member of the cyclin-dependent protein kinase (CDK) family. CDK family members are highly similar to the gene products of S. cerevisiae cdc28, and S. pombe cdc2, and known as important cell cycle regulators. This kinase was found to be a component of the multiprotein complex TAK/P-TEFb, which is an elongation factor for RNA polymerase II-directed transcription and functions by phosphorylating the C-terminal domain of the largest subunit of RNA polymerase II. This protein forms a complex with and is regulated by its regulatory subunit cyclin T or cyclin K. HIV-1 Tat protein was found to interact with this protein and cyclin T, which suggested a possible involvement of this protein in AIDS.,CDK9,C-2k,CDC2L4,CTK1,PITALRE,TAK,Epigenetics & Nuclear Signaling,Signal Transduction,Kinase,Serine/threonine kinases,Cell Biology & Developmental Biology,Cell Cycle,Immunology & Inflammation,CDK9

    分子量

    42 kDa/53 kDa

    基因ID

    1025

    UniProt

    P50750

    途径

    Cell Division Cycle
You are here: