电话:
+86 (0512) 65829739
传真:
+86 (010) 6788 5057
电子邮件:
orders@antibodies-online.cn

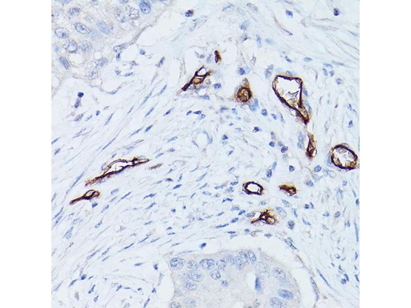
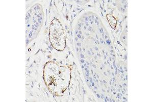
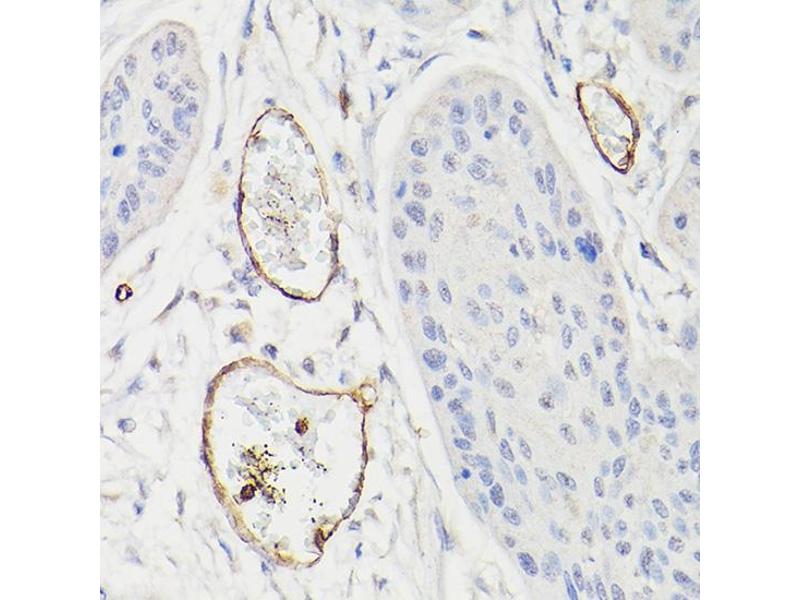
CD34 抗体 (C-Term)

The 兔 多克隆 anti-CD34 antibody (ABIN6138169) specifically detects CD34 in WB, IHC 和 IF. The antibody is reactive with 人 samples.
产品编号 ABIN6138169
发货至: 中国
Contact our Customer Service for availability and price in your country. Contact Info

Our Local Distributor

中国
北京 101111
No. 88 KeChuang 6th Street
Beijing Economic Technological Development Area
Room 801-803
4A Biotech Co.,Ltd.
Tel +86 (0512) 65829739 传真 +86 (010) 6788 5057

Quick Overview for CD34 抗体 (C-Term) (ABIN6138169)

抗原

See all CD34 抗体
CD34

适用

  • 361
  • 141
  • 132
  • 33
  • 29
  • 19
  • 19
  • 19
  • 18
  • 17
  • 10
  • 7
  • 6
  • 1
  • 1

宿主

  • 206
  • 176
  • 24
  • 4
  • 3

克隆类型

  • 279
  • 130
  • 3
多克隆

标记

  • 153
  • 34
  • 30
  • 25
  • 18
  • 8
  • 8
  • 8
  • 7
  • 7
  • 7
  • 7
  • 7
  • 5
  • 4
  • 4
  • 4
  • 4
  • 4
  • 4
  • 4
  • 4
  • 4
  • 4
  • 4
  • 4
  • 3
  • 3
  • 3
  • 3
  • 3
  • 3
  • 3
  • 2
  • 2
  • 2
  • 2
  • 2
  • 1
  • 1
  • 1
  • 1
  • 1
  • 1
  • 1
  • 1
  • 1
  • 1
  • 1
This CD34 antibody is un-conjugated

应用范围

  • 280
  • 212
  • 106
  • 103
  • 55
  • 54
  • 43
  • 39
  • 37
  • 30
  • 28
  • 25
  • 21
  • 13
  • 7
  • 6
  • 4
  • 3
  • 3
  • 2
  • 1
  • 1
  • 1
Western Blotting (WB), Immunohistochemistry (IHC), Immunofluorescence (IF)
  • 抗原表位

    • 16
    • 16
    • 16
    • 16
    • 10
    • 7
    • 6
    • 5
    • 4
    • 4
    • 3
    • 2
    • 2
    • 2
    • 2
    • 2
    • 2
    • 1
    • 1
    • 1
    • 1
    • 1
    • 1
    • 1
    • 1
    • 1
    • 1
    • 1
    • 1
    • 1
    • 1
    • 1
    • 1
    • 1
    C-Term

    序列

    LLAVLGITGY FLMNRRSWSP TGERLGEDPY YTENGGGQGY SSGPGTSPEA QGKASVNRGA QENGTGQATS RNGHSARQHV VADTEL

    交叉反应

    人, 小鼠, 大鼠

    产品特性

    Polyclonal Antibodies

    纯化方法

    Affinity purification

    免疫原

    A synthetic peptide corresponding to a sequence within amino acids 300 to the C-terminus of human CD34 (NP_001020280.1).

    亚型

    IgG
  • 应用备注

    WB,1:500 - 1:2000,IHC,1:50 - 1:200,IF,1:50 - 1:200

    限制

    仅限研究用
  • 状态

    Liquid

    缓冲液

    PBS with 0.02 % sodium azide,50 % glycerol, pH 7.3.

    储存液

    Sodium azide

    注意事项

    This product contains Sodium azide: a POISONOUS AND HAZARDOUS SUBSTANCE which should be handled by trained staff only.

    储存条件

    -20 °C

    储存方法

    Store at -20°C. Avoid freeze / thaw cycles.
  • 抗原

    CD34

    别名

    CD34

    背景

    The protein encoded by this gene may play a role in the attachment of stem cells to the bone marrow extracellular matrix or to stromal cells. This single-pass membrane protein is highly glycosylated and phosphorylated by protein kinase C. Two transcript variants encoding different isoforms have been found for this gene.,CD34,CD34 Molecule,GIG3,MORT1,Cancer,Tumor biomarkers,Cell Biology & Developmental Biology,Immunology & Inflammation,CD markers,Neuroscience,Cell Type Marker,Stem Cells,Endothelial Progenitors,Hematopoietic Progenitors,Mesenchymal Stem Cells,Cardiovascular,Heart,Cardiogenesis,Neuron marker,CD34

    分子量

    35 kDa/40 kDa

    基因ID

    947

    UniProt

    P28906
You are here: