电话:
+86 (0512) 65829739
传真:
+86 (010) 6788 5057
电子邮件:
orders@antibodies-online.cn

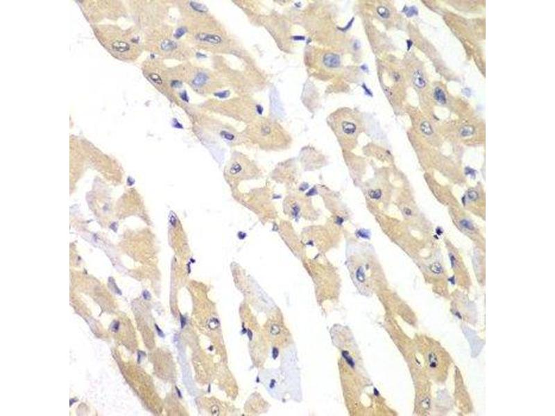
CCT3 抗体 (AA 1-300)

Cited in 1 publication. The 兔 多克隆 anti-CCT3 antibody (ABIN6138106) specifically detects CCT3 in WB 和 IF. The antibody is reactive with 人 samples.
产品编号 ABIN6138106
发货至: 中国
Contact our Customer Service for availability and price in your country. Contact Info

Our Local Distributor

中国
北京 101111
No. 88 KeChuang 6th Street
Beijing Economic Technological Development Area
Room 801-803
4A Biotech Co.,Ltd.
Tel +86 (0512) 65829739 传真 +86 (010) 6788 5057

Quick Overview for CCT3 抗体 (AA 1-300) (ABIN6138106)

抗原

See all CCT3 抗体
CCT3 (Chaperonin Containing TCP1, Subunit 3 (Gamma) (CCT3))

适用

  • 38
  • 18
  • 12
  • 3
  • 3
  • 3
  • 3
  • 3
  • 3
  • 1
  • 1
  • 1

宿主

  • 35
  • 3
  • 1

克隆类型

  • 37
  • 2
多克隆

标记

  • 27
  • 2
  • 1
  • 1
  • 1
  • 1
  • 1
  • 1
  • 1
  • 1
  • 1
  • 1
This CCT3 antibody is un-conjugated

应用范围

  • 31
  • 15
  • 10
  • 8
  • 6
  • 5
  • 3
  • 2
  • 2
  • 2
Western Blotting (WB), Immunofluorescence (IF)
  • 抗原表位

    • 8
    • 8
    • 2
    • 2
    • 2
    • 2
    • 1
    • 1
    • 1
    • 1
    • 1
    • 1
    • 1
    AA 1-300

    序列

    MMGHRPVLVL SQNTKRESGR KVQSGNINAA KTIADIIRTC LGPKSMMKML LDPMGGIVMT NDGNAILREI QVQHPAAKSM IEISRTQDEE VGDGTTSVII LAGEMLSVAE HFLEQQMHPT VVISAYRKAL DDMISTLKKI SIPVDISDSD MMLNIINSSI TTKAISRWSS LACNIALDAV KMVQFEENGR KEIDIKKYAR VEKIPGGIIE DSCVLRGVMI NKDVTHPRMR RYIKNPRIVL LDSSLEYKKG ESQTDIEITR EEDFTRILQM EEEYIQQLCE DIIQLKPDVV ITEKGISDLA

    交叉反应

    人, 小鼠, 大鼠

    产品特性

    Polyclonal Antibodies

    纯化方法

    Affinity purification

    免疫原

    Recombinant fusion protein containing a sequence corresponding to amino acids 1-300 of human CCT3 (NP_005989.3).

    亚型

    IgG
  • 应用备注

    WB,1:500 - 1:2000,IF,1:50 - 1:200

    说明

    HIGH QUALITY

    限制

    仅限研究用
  • 状态

    Liquid

    缓冲液

    PBS with 0.02 % sodium azide,50 % glycerol, pH 7.3.

    储存液

    Sodium azide

    注意事项

    This product contains Sodium azide: a POISONOUS AND HAZARDOUS SUBSTANCE which should be handled by trained staff only.

    储存条件

    -20 °C

    储存方法

    Store at -20°C. Avoid freeze / thaw cycles.
  • Knowlton, Fernández de Castro, Ashbrook, Gestaut, Zamora, Bauer, Forrest, Frydman, Risco, Dermody: "The TRiC chaperonin controls reovirus replication through outer-capsid folding." in: Nature microbiology, Vol. 3, Issue 4, pp. 481-493, (2018) (PubMed).

  • 抗原

    CCT3 (Chaperonin Containing TCP1, Subunit 3 (Gamma) (CCT3))

    别名

    CCT3

    背景

    The protein encoded by this gene is a molecular chaperone that is a member of the chaperonin containing TCP1 complex (CCT), also known as the TCP1 ring complex (TRiC). This complex consists of two identical stacked rings, each containing eight different proteins. Unfolded polypeptides enter the central cavity of the complex and are folded in an ATP-dependent manner. The complex folds various proteins, including actin and tubulin. Alternate transcriptional splice variants have been characterized for this gene. In addition, a pseudogene of this gene has been found on chromosome 8.,CCT3,CCT-gamma,CCTG,PIG48,TCP-1-gamma,TRIC5,Signal Transduction,CCT3

    分子量

    56 kDa/60 kDa

    基因ID

    7203

    UniProt

    P49368
You are here: