电话:
+86 (0512) 65829739
传真:
+86 (010) 6788 5057
电子邮件:
orders@antibodies-online.cn

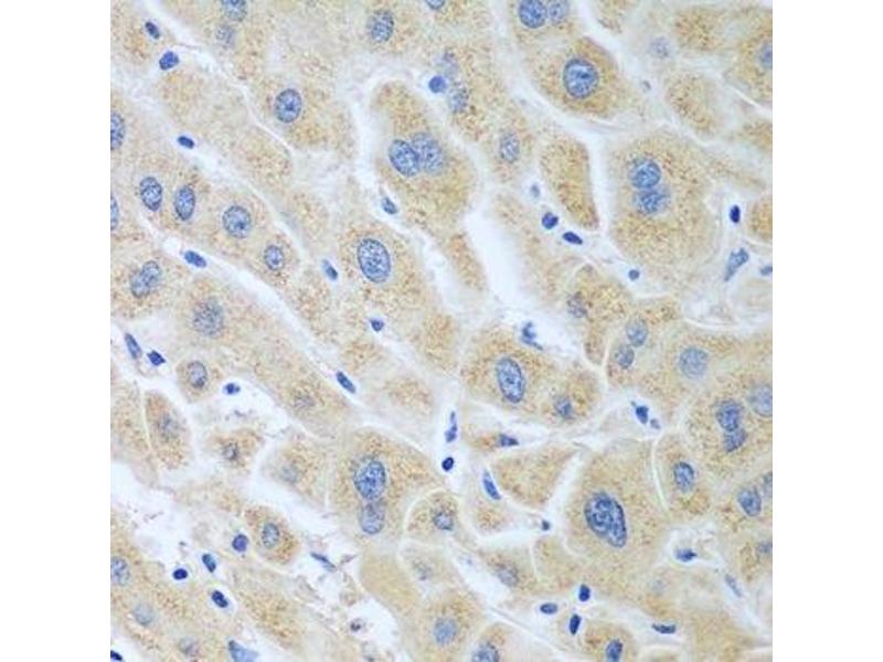
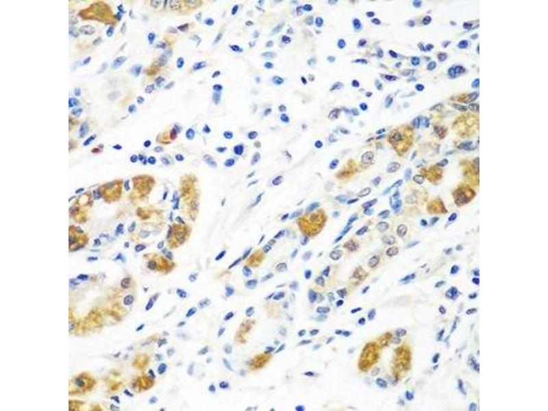
BLVRB 抗体 (AA 1-206)

The 兔 多克隆 anti-BLVRB antibody (ABIN6137582) specifically detects BLVRB in WB 和 IHC. The antibody is reactive with 人 samples.
产品编号 ABIN6137582
发货至: 中国
Contact our Customer Service for availability and price in your country. Contact Info

Our Local Distributor

中国
北京 101111
No. 88 KeChuang 6th Street
Beijing Economic Technological Development Area
Room 801-803
4A Biotech Co.,Ltd.
Tel +86 (0512) 65829739 传真 +86 (010) 6788 5057

Quick Overview for BLVRB 抗体 (AA 1-206) (ABIN6137582)

抗原

See all BLVRB 抗体
BLVRB (Flavin Reductase (BLVRB))

适用

  • 39
  • 18
  • 8
  • 4
  • 2
  • 2
  • 2
  • 2
  • 1
  • 1

宿主

  • 35
  • 5
  • 2
  • 2

克隆类型

  • 40
  • 4
多克隆

标记

  • 26
  • 4
  • 3
  • 3
  • 1
  • 1
  • 1
  • 1
  • 1
  • 1
  • 1
  • 1
This BLVRB antibody is un-conjugated

应用范围

  • 29
  • 21
  • 7
  • 3
  • 3
  • 2
  • 1
  • 1
Western Blotting (WB), Immunohistochemistry (IHC)
  • 抗原表位

    • 7
    • 7
    • 4
    • 4
    • 2
    • 2
    • 1
    • 1
    • 1
    • 1
    • 1
    AA 1-206

    序列

    MAVKKIAIFG ATGQTGLTTL AQAVQAGYEV TVLVRDSSRL PSEGPRPAHV VVGDVLQAAD VDKTVAGQDA VIVLLGTRND LSPTTVMSEG ARNIVAAMKA HGVDKVVACT SAFLLWDPTK VPPRLQAVTD DHIRMHKVLR ESGLKYVAVM PPHIGDQPLT GAYTVTLDGR GPSRVISKHD LGHFMLRCLT TDEYDGHSTY PSHQYQ

    交叉反应

    人, 小鼠, 大鼠

    产品特性

    Polyclonal Antibodies

    纯化方法

    Affinity purification

    免疫原

    Recombinant fusion protein containing a sequence corresponding to amino acids 1-206 of human BLVRB (NP_000704.1).

    亚型

    IgG
  • 应用备注

    WB,1:500 - 1:2000,IHC,1:50 - 1:100

    说明

    HIGH QUALITY

    限制

    仅限研究用
  • 状态

    Liquid

    缓冲液

    PBS with 0.02 % sodium azide,50 % glycerol, pH 7.3.

    储存液

    Sodium azide

    注意事项

    This product contains Sodium azide: a POISONOUS AND HAZARDOUS SUBSTANCE which should be handled by trained staff only.

    储存条件

    -20 °C

    储存方法

    Store at -20°C. Avoid freeze / thaw cycles.
  • 抗原

    BLVRB (Flavin Reductase (BLVRB))

    别名

    BLVRB

    背景

    The final step in heme metabolism in mammals is catalyzed by the cytosolic biliverdin reductase enzymes A and B (EC 1.3.1.24).[supplied by OMIM, Jul 2009],BLVRB,BVRB,FLR,HEL-S-10,SDR43U1,Signal Transduction,Endocrine & Metabolism,BLVRB

    分子量

    22 kDa

    基因ID

    645

    UniProt

    P30043
You are here: