BAZ1B 抗体 (AA 1-260)
Our Local Distributor
北京 101111
Quick Overview for BAZ1B 抗体 (AA 1-260) (ABIN6137461)
抗原
See all BAZ1B 抗体适用
宿主
克隆类型
标记
应用范围
-
-
抗原表位
- AA 1-260
-
序列
- MAPLLGRKPF PLVKPLPGEE PLFTIPHTQE AFRTREEYEA RLERYSERIW TCKSTGSSQL THKEAWEEEQ EVAELLKEEF PAWYEKLVLE MVHHNTASLE KLVDTAWLEI MTKYAVGEEC DFEVGKEKML KVKIVKIHPL EKVDEEATEK KSDGACDSPS SDKENSSQIA QDHQKKETVV KEDEGRRESI NDRARRSPRK LPTSLKKGER KWAPPKFLPH KYDVKLQNED KIISNVPADS LIRTERPPNK EIVRYFIRHN
-
交叉反应
- 人, 小鼠, 大鼠
-
产品特性
- Polyclonal Antibodies
-
纯化方法
- Affinity purification
-
免疫原
- Recombinant fusion protein containing a sequence corresponding to amino acids 1-260 of human WSTF (NP_115784.1).
-
亚型
- IgG
-
-
-
-
应用备注
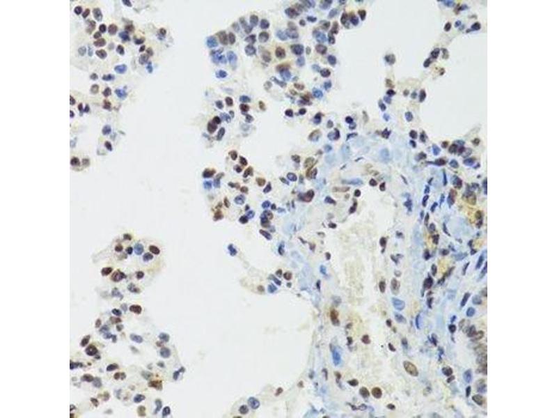
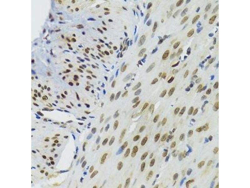
- WB,1:500 - 1:2000,IHC,1:50 - 1:200
-
说明
-
HIGH QUALITY
-
限制
- 仅限研究用
-
-
-
状态
- Liquid
-
缓冲液
- PBS with 0.02 % sodium azide,50 % glycerol, pH 7.3.
-
储存液
- Sodium azide
-
注意事项
- This product contains Sodium azide: a POISONOUS AND HAZARDOUS SUBSTANCE which should be handled by trained staff only.
-
储存条件
- -20 °C
-
储存方法
- Store at -20°C. Avoid freeze / thaw cycles.
-
-
- BAZ1B (Bromodomain Adjacent To Zinc Finger Domain, 1B (BAZ1B))
-
别名
- BAZ1B
-
背景
- This gene encodes a member of the bromodomain protein family. The bromodomain is a structural motif characteristic of proteins involved in chromatin-dependent regulation of transcription. This gene is deleted in Williams-Beuren syndrome, a developmental disorder caused by deletion of multiple genes at 7q11.23.,BAZ1B,WBSCR10,WBSCR9,WSTF,Epigenetics & Nuclear Signaling,Chromatin Modifying Enzymes,Phosphorylation,Chromatin Remodeling,Signal Transduction,Kinase,BAZ1B
-
分子量
- 170 kDa
-
基因ID
- 9031
-
UniProt
- Q9UIG0
-
途径
- Nuclear Hormone Receptor Binding, Chromatin Binding
抗原
-