电话:
+86 (0512) 65829739
传真:
+86 (010) 6788 5057
电子邮件:
orders@antibodies-online.cn

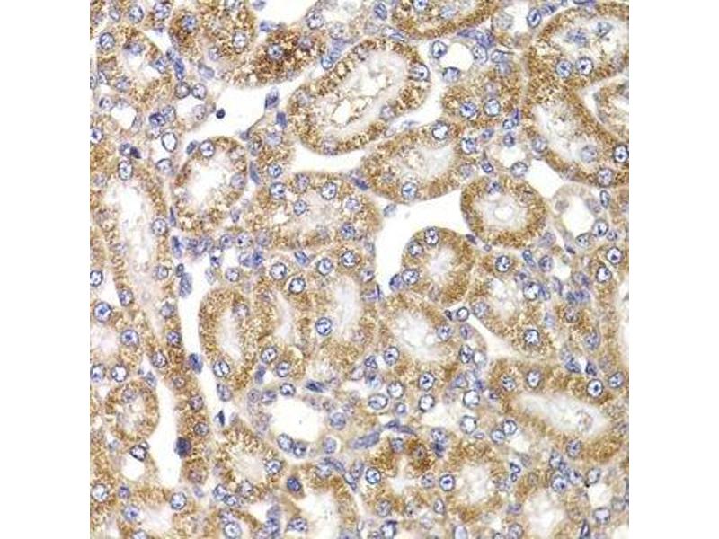
ANAPC5 抗体 (AA 1-250)

This 兔 多克隆 antibody specifically detects ANAPC5 in WB, IHC 和 IP. It exhibits reactivity toward 人.
产品编号 ABIN6136867
发货至: 中国
Contact our Customer Service for availability and price in your country. Contact Info

Our Local Distributor

中国
北京 101111
No. 88 KeChuang 6th Street
Beijing Economic Technological Development Area
Room 801-803
4A Biotech Co.,Ltd.
Tel +86 (0512) 65829739 传真 +86 (010) 6788 5057

Quick Overview for ANAPC5 抗体 (AA 1-250) (ABIN6136867)

抗原

See all ANAPC5 抗体
ANAPC5 (Anaphase Promoting Complex Subunit 5 (ANAPC5))

适用

  • 54
  • 15
  • 6
  • 3
  • 3
  • 3
  • 3
  • 2
  • 1
  • 1
  • 1

宿主

  • 53
  • 1

克隆类型

  • 54
多克隆

标记

  • 22
  • 5
  • 4
  • 3
  • 1
  • 1
  • 1
  • 1
  • 1
  • 1
  • 1
  • 1
  • 1
  • 1
  • 1
  • 1
  • 1
  • 1
  • 1
  • 1
  • 1
  • 1
  • 1
  • 1
This ANAPC5 antibody is un-conjugated

应用范围

  • 43
  • 22
  • 13
  • 13
  • 8
  • 6
  • 4
  • 4
  • 3
  • 3
  • 2
  • 2
Western Blotting (WB), Immunohistochemistry (IHC), Immunoprecipitation (IP)
  • 抗原表位

    • 15
    • 8
    • 5
    • 3
    • 2
    • 2
    • 2
    • 1
    • 1
    • 1
    • 1
    • 1
    • 1
    • 1
    • 1
    • 1
    • 1
    AA 1-250

    序列

    MASVHESLYF NPMMTNGVVH ANVFGIKDWV TPYKIAVLVL LNEMSRTGEG AVSLMERRRL NQLLLPLLQG PDITLSKLYK LIEESCPQLA NSVQIRIKLM AEGELKDMEQ FFDDLSDSFS GTEPEVHKTS VVGLFLRHMI LAYSKLSFSQ VFKLYTALQQ YFQNGEKKTV EDADMELTSR DEGERKMEKE ELDVSVREEE VSCSGPLSQK QAEFFLSQQA SLLKNDETKA LTPASLQKEL NNLLKFNPDF

    交叉反应

    人, 小鼠, 大鼠

    产品特性

    Polyclonal Antibodies

    纯化方法

    Affinity purification

    免疫原

    Recombinant fusion protein containing a sequence corresponding to amino acids 1-250 of human ANAPC5 (NP_057321.2).

    亚型

    IgG
  • 应用备注

    WB,1:500 - 1:2000,IHC,1:50 - 1:200,IP,1:50 - 1:100

    说明

    HIGH QUALITY

    限制

    仅限研究用
  • 状态

    Liquid

    缓冲液

    PBS with 0.02 % sodium azide,50 % glycerol, pH 7.3.

    储存液

    Sodium azide

    注意事项

    This product contains Sodium azide: a POISONOUS AND HAZARDOUS SUBSTANCE which should be handled by trained staff only.

    储存条件

    -20 °C

    储存方法

    Store at -20°C. Avoid freeze / thaw cycles.
  • 抗原

    ANAPC5 (Anaphase Promoting Complex Subunit 5 (ANAPC5))

    别名

    ANAPC5

    背景

    This gene encodes a tetratricopeptide repeat-containing component of the anaphase promoting complex/cyclosome (APC/C), a large E3 ubiquitin ligase that controls cell cycle progression by targeting a number of cell cycle regulators such as B-type cyclins for 26S proteasome-mediated degradation through ubiquitination. The encoded protein is required for the proper ubiquitination function of APC/C and for the interaction of APC/C with transcription coactivators. It also interacts with polyA binding protein and represses internal ribosome entry site-mediated translation. Multiple transcript variants encoding different isoforms have been found for this gene. These differences cause translation initiation at a downstream AUG and result in a shorter protein (isoform b), compared to isoform a.,ANAPC5,APC5,Cell Biology & Developmental Biology,Cell Cycle,Ubiquitin,Ubiquitin-Proteasome Signaling Pathway,ANAPC5

    分子量

    25 kDa/72 kDa/85 kDa

    基因ID

    51433

    UniProt

    Q9UJX4

    途径

    M Phase
You are here: