电话:
+86 (0512) 65829739
传真:
+86 (010) 6788 5057
电子邮件:
orders@antibodies-online.cn

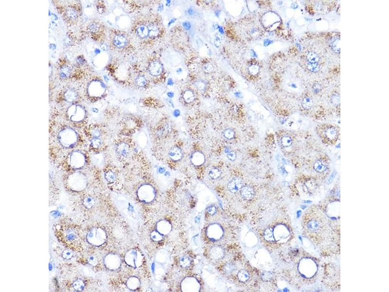
AADAT 抗体 (AA 34-429)

The 兔 多克隆 anti-AADAT antibody is suitable to detect AADAT in samples from 人. It has been validated for WB, IHC 和 IF.
产品编号 ABIN6136315
发货至: 中国
Contact our Customer Service for availability and price in your country. Contact Info

Our Local Distributor

中国
北京 101111
No. 88 KeChuang 6th Street
Beijing Economic Technological Development Area
Room 801-803
4A Biotech Co.,Ltd.
Tel +86 (0512) 65829739 传真 +86 (010) 6788 5057

Quick Overview for AADAT 抗体 (AA 34-429) (ABIN6136315)

抗原

See all AADAT 抗体
AADAT (Aminoadipate Aminotransferase (AADAT))

适用

  • 34
  • 10
  • 6
  • 3
  • 3
  • 3
  • 2
  • 2
  • 2
  • 2
  • 2
  • 1
  • 1

宿主

  • 34
  • 4
  • 2

克隆类型

  • 39
  • 1
多克隆

标记

  • 30
  • 3
  • 3
  • 2
  • 1
  • 1
This AADAT antibody is un-conjugated

应用范围

  • 33
  • 20
  • 13
  • 6
  • 4
  • 2
  • 1
  • 1
Western Blotting (WB), Immunohistochemistry (IHC), Immunofluorescence (IF)
  • 抗原表位

    • 8
    • 6
    • 5
    • 4
    • 4
    • 3
    • 2
    • 2
    • 1
    • 1
    • 1
    • 1
    • 1
    AA 34-429

    序列

    PKSMISLAGG LPNPNMFPFK TAVITVENGK TIQFGEEMMK RALQYSPSAG IPELLSWLKQ LQIKLHNPPT IHYPPSQGQM DLCVTSGSQQ GLCKVFEMII NPGDNVLLDE PAYSGTLQSL HPLGCNIINV ASDESGIVPD SLRDILSRWK PEDAKNPQKN TPKFLYTVPN GNNPTGNSLT SERKKEIYEL ARKYDFLIIE DDPYYFLQFN KFRVPTFLSM DVDGRVIRAD SFSKIISSGL RIGFLTGPKP LIERVILHIQ VSTLHPSTFN QLMISQLLHE WGEEGFMAHV DRVIDFYSNQ KDAILAAADK WLTGLAEWHV PAAGMFLWIK VKGINDVKEL IEEKAVKMGV LMLPGNAFYV DSSAPSPYLR ASFSSASPEQ MDVAFQVLAQ LIKESL

    交叉反应

    人, 小鼠, 大鼠

    产品特性

    Polyclonal Antibodies

    纯化方法

    Affinity purification

    免疫原

    Recombinant fusion protein containing a sequence corresponding to amino acids 34-429 of human AADAT (NP_001273611.1).

    亚型

    IgG
  • 应用备注

    WB,1:500 - 1:2000,IHC,1:50 - 1:200,IF,1:50 - 1:200

    说明

    HIGH QUALITY

    限制

    仅限研究用
  • 状态

    Liquid

    缓冲液

    PBS with 0.02 % sodium azide,50 % glycerol, pH 7.3.

    储存液

    Sodium azide

    注意事项

    This product contains Sodium azide: a POISONOUS AND HAZARDOUS SUBSTANCE which should be handled by trained staff only.

    储存条件

    -20 °C

    储存方法

    Store at -20°C. Avoid freeze / thaw cycles.
  • 抗原

    AADAT (Aminoadipate Aminotransferase (AADAT))

    别名

    AADAT

    背景

    This gene encodes a protein that is highly similar to mouse and rat kynurenine aminotransferase II. The rat protein is a homodimer with two transaminase activities. One activity is the transamination of alpha-aminoadipic acid, a final step in the saccaropine pathway which is the major pathway for L-lysine catabolism. The other activity involves the transamination of kynurenine to produce kynurenine acid, the precursor of kynurenic acid which has neuroprotective properties. Several transcript variants encoding two different isoforms have been found for this gene.,AADAT,KAT2,KATII,KYAT2,Cancer,Signal Transduction,Endocrine & Metabolism,Amino acid metabolism,AADAT

    分子量

    47 kDa

    基因ID

    51166

    UniProt

    Q8N5Z0
You are here: