电话:
+86 (0512) 65829739
传真:
+86 (010) 6788 5057
电子邮件:
orders@antibodies-online.cn

A1CF 抗体 (AA 50-120)

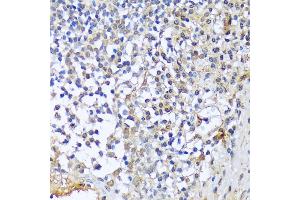
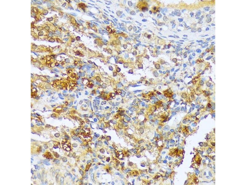
The 兔 多克隆 anti-A1CF antibody is suitable to detect A1CF in samples from 人. It has been validated for WB 和 IHC.
产品编号 ABIN6136302
发货至: 中国
Contact our Customer Service for availability and price in your country. Contact Info

Our Local Distributor

中国
北京 101111
No. 88 KeChuang 6th Street
Beijing Economic Technological Development Area
Room 801-803
4A Biotech Co.,Ltd.
Tel +86 (0512) 65829739 传真 +86 (010) 6788 5057

Quick Overview for A1CF 抗体 (AA 50-120) (ABIN6136302)

抗原

See all A1CF 抗体
A1CF (APOBEC1 Complementation Factor (A1CF))

适用

  • 26
  • 8
  • 7
  • 2
  • 2
  • 2
  • 2
  • 2
  • 2
  • 1
  • 1
  • 1

宿主

  • 25
  • 2

克隆类型

  • 27
多克隆

标记

  • 21
  • 2
  • 1
  • 1
  • 1
  • 1
This A1CF antibody is un-conjugated

应用范围

  • 24
  • 13
  • 10
  • 10
  • 4
  • 2
  • 1
  • 1
  • 1
  • 1
  • 1
  • 1
Western Blotting (WB), Immunohistochemistry (IHC)
  • 抗原表位

    • 8
    • 6
    • 5
    • 3
    • 2
    • 2
    • 1
    • 1
    AA 50-120

    序列

    APPERGCEIF IGKLPRDLFE DELIPLCEKI GKIYEMRMMM DFNGNNRGYA FVTFSNKVEA KNAIKQLNNY E

    交叉反应

    人, 小鼠, 大鼠

    产品特性

    Polyclonal Antibodies

    纯化方法

    Affinity purification

    免疫原

    Recombinant fusion protein containing a sequence corresponding to amino acids 50-120 of human A1CF (NP_055391.2).

    亚型

    IgG
  • 应用备注

    WB,1:500 - 1:2000,IHC,1:50 - 1:200

    限制

    仅限研究用
  • 状态

    Liquid

    缓冲液

    PBS with 0.02 % sodium azide,50 % glycerol, pH 7.3.

    储存液

    Sodium azide

    注意事项

    This product contains Sodium azide: a POISONOUS AND HAZARDOUS SUBSTANCE which should be handled by trained staff only.

    储存条件

    -20 °C

    储存方法

    Store at -20°C. Avoid freeze / thaw cycles.
  • 抗原

    A1CF (APOBEC1 Complementation Factor (A1CF))

    别名

    A1CF

    背景

    Mammalian apolipoprotein B mRNA undergoes site-specific C to U deamination, which is mediated by a multi-component enzyme complex containing a minimal core composed of APOBEC-1 and a complementation factor encoded by this gene. The gene product has three non-identical RNA recognition motifs and belongs to the hnRNP R family of RNA-binding proteins. It has been proposed that this complementation factor functions as an RNA-binding subunit and docks APOBEC-1 to deaminate the upstream cytidine. Studies suggest that the protein may also be involved in other RNA editing or RNA processing events. Several transcript variants encoding a few different isoforms have been found for this gene.,A1CF,ACF,ACF64,ACF65,APOBEC1CF,ASP,Epigenetics & Nuclear Signaling,A1CF

    分子量

    55 kDa/58 kDa/62 kDa/64 kDa/65 kDa

    基因ID

    29974

    UniProt

    Q9NQ94
You are here: