电话:
+86 (0512) 65829739
传真:
+86 (010) 6788 5057
电子邮件:
orders@antibodies-online.cn

EYA1 抗体 (AA 100-250)

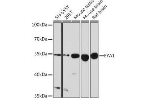
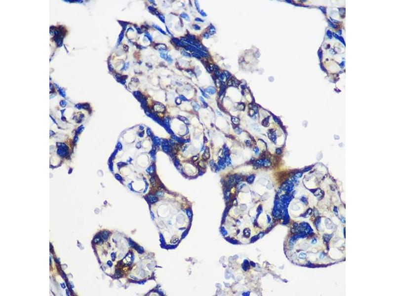
The 兔 多克隆 anti-EYA1 antibody is suitable to detect EYA1 in samples from 人. It has been validated for WB 和 IHC.
产品编号 ABIN6135167
发货至: 中国
Contact our Customer Service for availability and price in your country. Contact Info

Our Local Distributor

中国
北京 101111
No. 88 KeChuang 6th Street
Beijing Economic Technological Development Area
Room 801-803
4A Biotech Co.,Ltd.
Tel +86 (0512) 65829739 传真 +86 (010) 6788 5057

Quick Overview for EYA1 抗体 (AA 100-250) (ABIN6135167)

抗原

See all EYA1 抗体
EYA1 (Eyes Absent Homolog 1 (EYA1))

适用

  • 35
  • 19
  • 8
  • 5
  • 5
  • 5
  • 4
  • 4
  • 4
  • 2
  • 2
  • 1

宿主

  • 40
  • 1
  • 1

克隆类型

  • 42
多克隆

标记

  • 19
  • 4
  • 3
  • 3
  • 1
  • 1
  • 1
  • 1
  • 1
  • 1
  • 1
  • 1
  • 1
  • 1
  • 1
  • 1
  • 1
This EYA1 antibody is un-conjugated

应用范围

  • 21
  • 19
  • 13
  • 13
  • 5
  • 3
  • 3
  • 2
  • 1
  • 1
Western Blotting (WB), Immunohistochemistry (IHC)
  • 抗原表位

    • 15
    • 10
    • 5
    • 5
    • 1
    • 1
    • 1
    • 1
    • 1
    • 1
    AA 100-250

    序列

    TPSSQTMAAY GQTQFTTGMQ QATAYATYPQ PGQPYGISSY GALWAGIKTE GGLSQSQSPG QTGFLSYGTS FSTPQPGQAP YSYQMQGSSF TTSSGIYTGN NSLTNSSGFN SSQQDYPSYP SFGQGQYAQY YNSSPYPAHY MTSSNTSPTT P

    交叉反应

    人, 小鼠, 大鼠

    产品特性

    Polyclonal Antibodies

    纯化方法

    Affinity purification

    免疫原

    Recombinant fusion protein containing a sequence corresponding to amino acids 100-250 of human EYA1 (NP_742055.1).

    亚型

    IgG
  • 应用备注

    WB,1:200 - 1:2000,IHC,1:50 - 1:200

    限制

    仅限研究用
  • 状态

    Liquid

    缓冲液

    PBS with 0.02 % sodium azide,50 % glycerol, pH 7.3.

    储存液

    Sodium azide

    注意事项

    This product contains Sodium azide: a POISONOUS AND HAZARDOUS SUBSTANCE which should be handled by trained staff only.

    储存条件

    -20 °C

    储存方法

    Store at -20°C. Avoid freeze / thaw cycles.
  • 抗原

    EYA1 (Eyes Absent Homolog 1 (EYA1))

    别名

    EYA1

    背景

    This gene encodes a member of the eyes absent (EYA) family of proteins. The encoded protein may play a role in the developing kidney, branchial arches, eye, and ear. Mutations of this gene have been associated with branchiootorenal dysplasia syndrome, branchiootic syndrome, and sporadic cases of congenital cataracts and ocular anterior segment anomalies. A similar protein in mice can act as a transcriptional activator. Alternatively spliced transcript variants have been identified for this gene.,EYA1,BOP,BOR,BOS1,OFC1,Epigenetics & Nuclear Signaling,Chromatin Modifying Enzymes,Dephosphorylation,Cell Biology & Developmental Biology,EYA1

    分子量

    60 kDa/61 kDa/64 kDa

    基因ID

    2138

    UniProt

    Q99502

    途径

    Sensory Perception of Sound, Positive Regulation of Response to DNA Damage Stimulus
You are here: