RWDD3 抗体 (N-Term)
Our Local Distributor
北京 101111
Quick Overview for RWDD3 抗体 (N-Term) (ABIN605124)
抗原
See all RWDD3 抗体适用
宿主
克隆类型
标记
应用范围
-
-
抗原表位
- N-Term
-
纯化方法
- Immunoaffinity purified
-
亚型
- IgG
-
-
-
-
应用备注
-
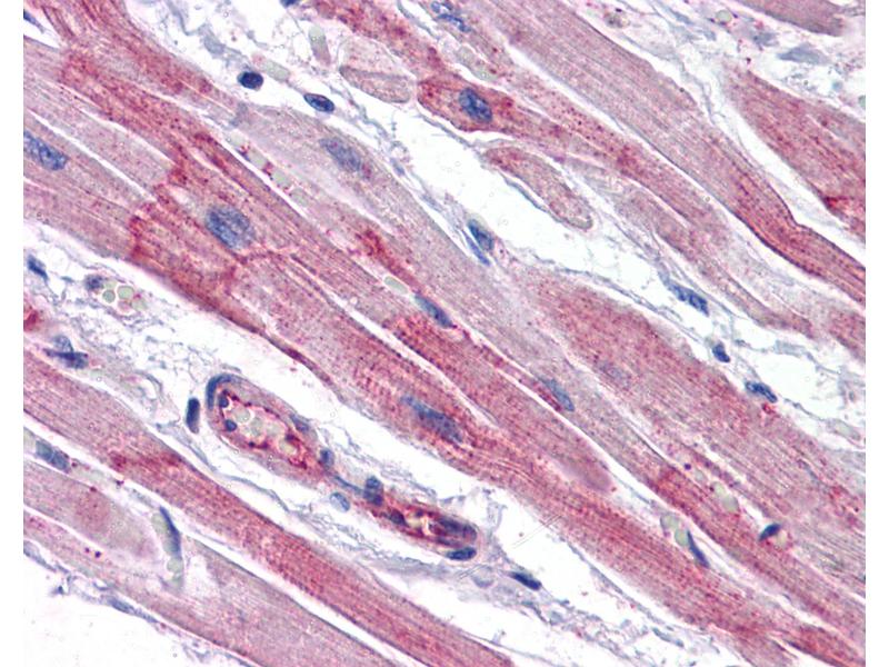
Approved: ELISA, IHC, IHC-P (10 μg/mL), WB (0.5 - 1 μg/mL)
Usage: RWDD3 antibody can be used for detection of RWDD3 by Western blot at 0.5-1 μg/mL. -
说明
-
Target Species of Antibody: Human
-
限制
- 仅限研究用
-
-
-
状态
- Liquid
-
浓度
- Lot specific
-
缓冲液
- PBS, 0.02 % sodium azide
-
储存液
- Sodium azide
-
注意事项
- This product contains Sodium azide: a POISONOUS AND HAZARDOUS SUBSTANCE which should be handled by trained staff only.
-
注意事项
- avoid freeze thaw cycles. Store undiluted.
-
储存条件
- 4 °C,-20 °C
-
储存方法
- Store at 4°C for 3 months and -20°C, stable for up to 1 year. Avoid repeated freeze-thaw cycles.
-
有效期
- 12 months
-
-
- RWDD3 (RWD Domain Containing 3 (RWDD3))
-
别名
- RWDD3
-
背景
-
Name/Gene ID: RWDD3
Synonyms: RWDD3, DKFZP566K023, RSUME, RWD domain containing 3 -
基因ID
- 25950
-
UniProt
- Q9Y3V2
抗原
-