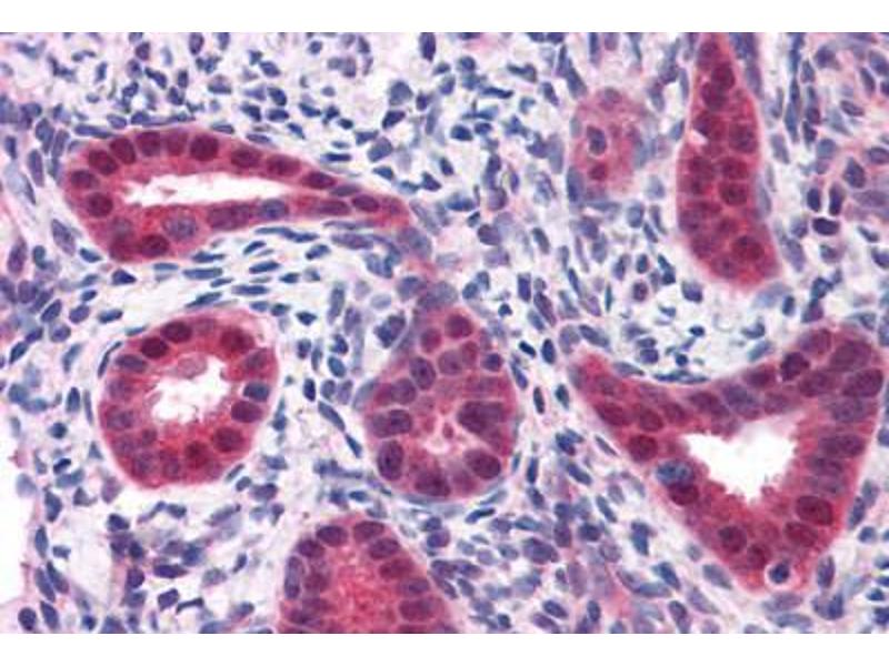
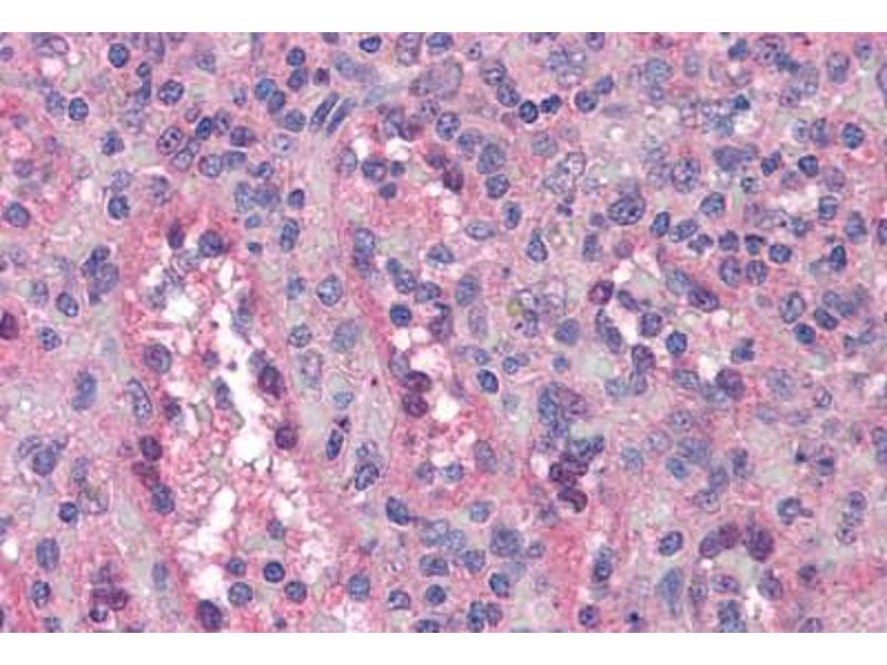
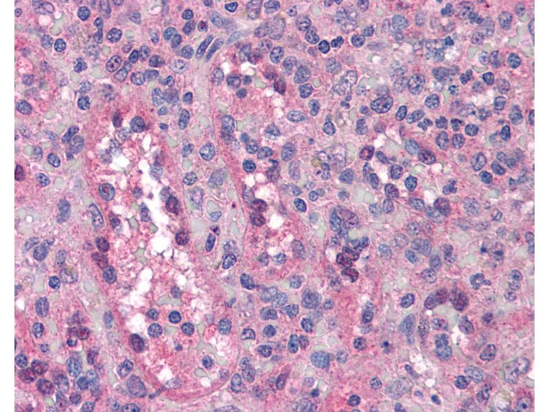
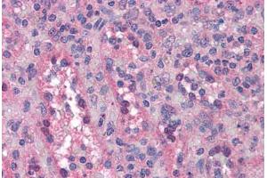
BUB1B 抗体 (AA 274-525)
Our Local Distributor
北京 101111
Quick Overview for BUB1B 抗体 (AA 274-525) (ABIN604939)
抗原
See all BUB1B 抗体适用
宿主
克隆类型
标记
应用范围
-
-
抗原表位
- AA 274-525
-
特异性
- Human BUB1 beta. Predicted cross-reactivity based on amino acid sequence homology: bovine (87 % ).
-
纯化方法
- Immunoaffinity purified
-
免疫原
-
Recombinant protein fragment containing a sequence corresponding to a region within amino acids 274 and 525 of Human BUB1 beta.
Type of Immunogen: Recombinant protein
-
-
-
-
应用备注
- Approved: IHC, IHC-P (10 μg/mL), WB (1:500 - 1:3000)
-
说明
-
Target Species of Antibody: Human
-
限制
- 仅限研究用
-
-
-
状态
- Liquid
-
浓度
- Lot specific
-
缓冲液
- 0.1 M Tris-glycine, pH 7, 10 % Glycerol, 0.01 % Thimerosal
-
储存液
- Thimerosal (Merthiolate)
-
注意事项
- This product contains Thimerosal (Merthiolate): a POISONOUS AND HAZARDOUS SUBSTANCE which should be handled by trained staff only.
-
注意事项
- Minimize freezing and thawing.
-
储存条件
- -20 °C
-
储存方法
- Aliquot and store at -20°C. Avoid freeze-thaw cycles.
-
-
- BUB1B (Budding Uninhibited By Benzimidazoles 1 Homolog beta (Yeast) (BUB1B))
-
别名
- BUB1B / BubR1
-
背景
-
Name/Gene ID: BUB1B
Subfamily: BUB1
Family: Protein Kinase
Synonyms: BUB1B, Bub1A, BUBR1, HBUBR1, Protein SSK1, SSK1, BUB1beta, MAD3L -
基因ID
- 701
-
UniProt
- O60566
抗原
-