电话:
+86 (0512) 65829739
传真:
+86 (010) 6788 5057
电子邮件:
orders@antibodies-online.cn

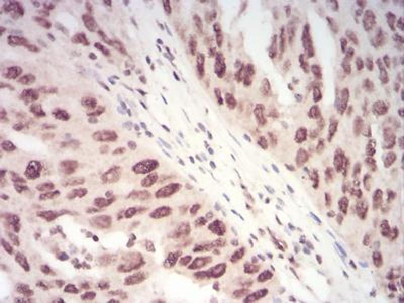
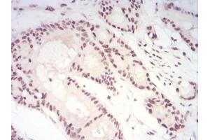
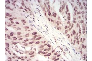
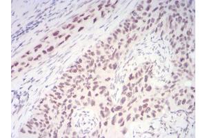
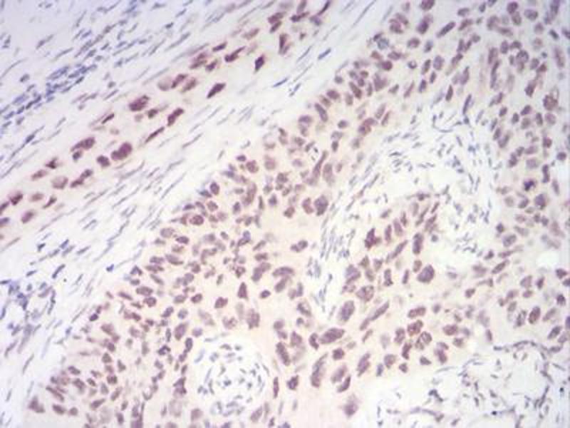
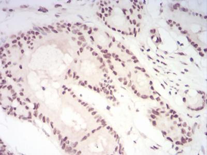
CBX1 抗体 (AA 1-185)

The 小鼠 单克隆 anti-CBX1 antibody is suitable to detect CBX1 in samples from 人.
产品编号 ABIN5890956
发货至: 中国
Contact our Customer Service for availability and price in your country. Contact Info

Our Local Distributor

中国
北京 101111
No. 88 KeChuang 6th Street
Beijing Economic Technological Development Area
Room 801-803
4A Biotech Co.,Ltd.
Tel +86 (0512) 65829739 传真 +86 (010) 6788 5057

Quick Overview for CBX1 抗体 (AA 1-185) (ABIN5890956)

抗原

See all CBX1 抗体
CBX1 (Chromobox Homolog 1 (CBX1))

适用

  • 49
  • 20
  • 17
  • 7
  • 7
  • 6
  • 5
  • 5
  • 4
  • 3
  • 3
  • 2
  • 2
  • 1
  • 1

宿主

  • 36
  • 10
  • 2
  • 1
小鼠

克隆类型

  • 35
  • 13
  • 1
单克隆

标记

  • 36
  • 2
  • 1
  • 1
  • 1
  • 1
  • 1
  • 1
  • 1
  • 1
  • 1
  • 1
  • 1
This CBX1 antibody is un-conjugated

应用范围

请咨询
  • 抗原表位

    • 8
    • 7
    • 2
    • 2
    • 2
    • 2
    • 1
    • 1
    • 1
    • 1
    • 1
    • 1
    • 1
    • 1
    • 1
    AA 1-185

    产品特性

    Isotype: Mouse IgG1

    免疫原

    Purified recombinant fragment of human CBX1 (AA: 1-185) expressed in E. Coli.

    亚型

    IgG1
  • 限制

    仅限研究用
  • 状态

    Liquid

    缓冲液

    Purified antibody in PBS with 0.05 % sodium azide.

    储存液

    Sodium azide

    注意事项

    This product contains Sodium azide: a POISONOUS AND HAZARDOUS SUBSTANCE which should be handled by trained staff only.

    储存条件

    -20 °C

    储存方法

    Aliquot and store at -20 °C. Avoid repeated freeze/thaw cycles.
  • 抗原

    CBX1 (Chromobox Homolog 1 (CBX1))

    别名

    CBX1

    分子量

    21.4 kDa

    基因ID

    10951

    UniProt

    P83916
You are here: