电话:
+86 (0512) 65829739
传真:
+86 (010) 6788 5057
电子邮件:
orders@antibodies-online.cn

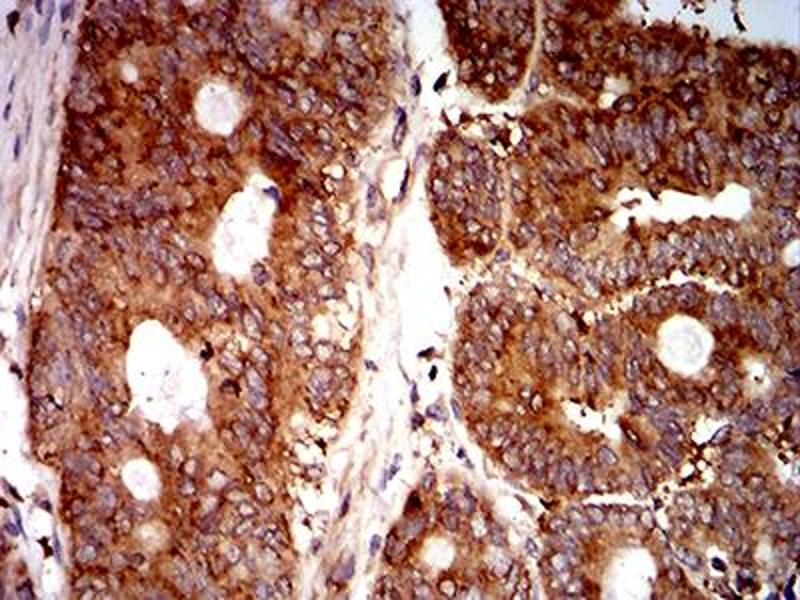
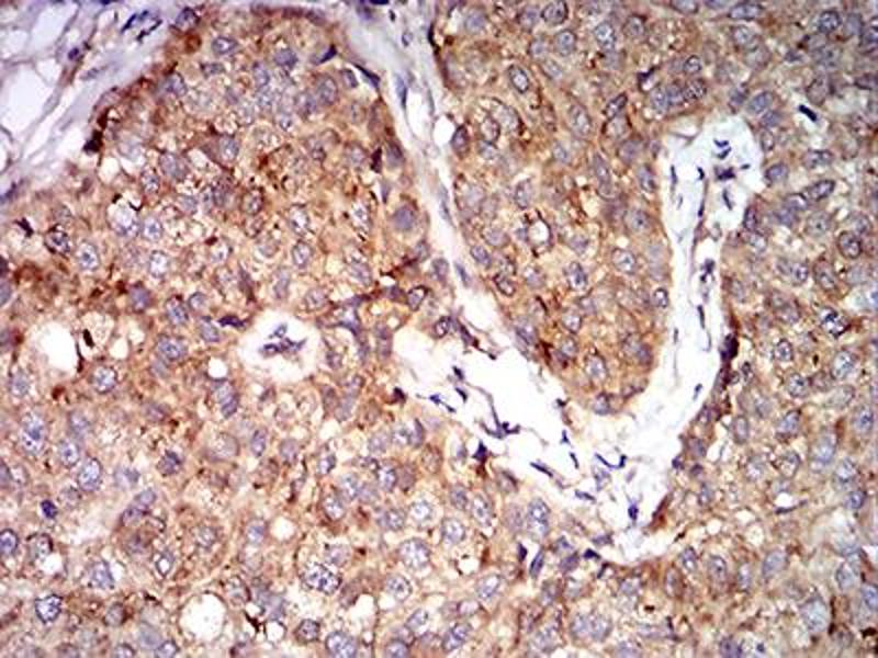
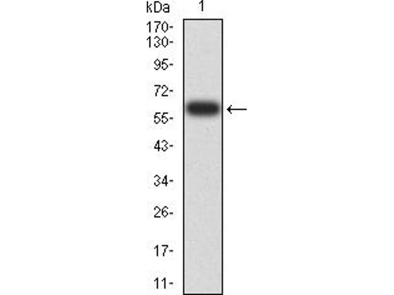
EIF5 抗体 (AA 1-300)

The 小鼠 单克隆 anti-EIF5 antibody is suitable to detect EIF5 in samples from 人.
产品编号 ABIN5865324
发货至: 中国
Contact our Customer Service for availability and price in your country. Contact Info

Our Local Distributor

中国
北京 101111
No. 88 KeChuang 6th Street
Beijing Economic Technological Development Area
Room 801-803
4A Biotech Co.,Ltd.
Tel +86 (0512) 65829739 传真 +86 (010) 6788 5057

Quick Overview for EIF5 抗体 (AA 1-300) (ABIN5865324)

抗原

See all EIF5 抗体
EIF5 (Eukaryotic Translation Initiation Factor 5 (EIF5))

适用

  • 39
  • 29
  • 28
  • 6
  • 6
  • 6
  • 5
  • 5
  • 5
  • 3
  • 3
  • 2
  • 2
  • 2
  • 2
  • 1
  • 1
  • 1
  • 1
  • 1
  • 1

宿主

  • 49
  • 6
小鼠

克隆类型

  • 49
  • 6
单克隆

标记

  • 30
  • 3
  • 3
  • 2
  • 1
  • 1
  • 1
  • 1
  • 1
  • 1
  • 1
  • 1
  • 1
  • 1
  • 1
  • 1
  • 1
  • 1
  • 1
  • 1
  • 1
This EIF5 antibody is un-conjugated

应用范围

请咨询
You are here: