电话:
+86 (0512) 65829739
传真:
+86 (010) 6788 5057
电子邮件:
orders@antibodies-online.cn

Aminoacylase 1 抗体 (AA 1-408)

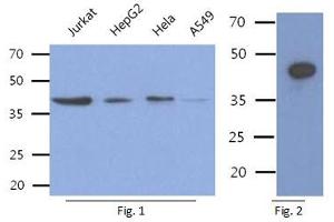
The 小鼠 单克隆 anti-Aminoacylase 1 antibody is suitable to detect Aminoacylase 1 in samples from 人. It has been validated for WB, ELISA, FACS, IF 和 ICC.
产品编号 ABIN5775904
发货至: 中国
Contact our Customer Service for availability and price in your country. Contact Info

Our Local Distributor

中国
北京 101111
No. 88 KeChuang 6th Street
Beijing Economic Technological Development Area
Room 801-803
4A Biotech Co.,Ltd.
Tel +86 (0512) 65829739 传真 +86 (010) 6788 5057

Quick Overview for Aminoacylase 1 抗体 (AA 1-408) (ABIN5775904)

抗原

See all Aminoacylase 1 (ACY1) 抗体
Aminoacylase 1 (ACY1)

适用

  • 36
  • 17
  • 5
  • 2
  • 1
  • 1

宿主

  • 24
  • 13
  • 2
小鼠

克隆类型

  • 26
  • 13
单克隆

标记

  • 32
  • 1
  • 1
  • 1
  • 1
  • 1
  • 1
  • 1
This Aminoacylase 1 antibody is un-conjugated

应用范围

  • 29
  • 16
  • 11
  • 7
  • 7
  • 5
  • 5
  • 2
  • 2
  • 1
  • 1
  • 1
  • 1
  • 1
  • 1
  • 1
  • 1
Western Blotting (WB), ELISA, Flow Cytometry (FACS), Immunofluorescence (IF), Immunocytochemistry (ICC)

克隆位点

AT1E2
  • 抗原表位

    • 10
    • 3
    • 1
    • 1
    • 1
    • 1
    • 1
    AA 1-408

    原理

    Human Aminoacylase/ACY1 antibody

    纯化方法

    Purified

    免疫原

    Recombinant human ACY1 (1-408aa) purified from E. coli

    亚型

    IgG2b kappa
  • 限制

    仅限研究用
  • 状态

    Liquid

    浓度

    1 mg/mL

    缓冲液

    Phosphate-Buffered Saline ( pH 7.4) with 0.02 % Sodium Azide, 10 % glycerol

    储存液

    Sodium azide

    注意事项

    This product contains Sodium azide: a POISONOUS AND HAZARDOUS SUBSTANCE which should be handled by trained staff only.

    注意事项

    Avoid repeated freezing and thawing cycles

    储存条件

    4 °C,-20 °C,-80 °C

    储存方法

    Can be stored at +2C to +8C for 1 week. For long term storage, aliquot and store at -20C to -80C. Avoid repeated freezing and thawing cycles.
  • 抗原

    Aminoacylase 1 (ACY1)

    别名

    Aminoacylase/ACY1

    背景

    Aminoacylase-1, also designated N-acyl-L-amino-acid amidohydrolase or ACY1, is a member of the largest metallopeptidase family called M20A. Aminoacylase-1 is a zinc-binding homodimeric enzyme expressed in kidney, brain, placenta and spleen. It is the most abundant of the aminoacylases. Defects in ACY1 are the cause of aminoacylase-1 deficiency (ACY1D). ACY1D results in a metabolic disorder manifesting with encephalopathy, unspecific psychomotor delay, psychomotor delay with atrophy of the vermis and syringomyelia, marked muscular hypotonia or normal clinical features. All affected individuals exhibit markedly increased urinary excretion of several N-acetylated amino acids.

    NCBI登录号

    NP_000657
You are here: