电话:
+86 (0512) 65829739
传真:
+86 (010) 6788 5057
电子邮件:
orders@antibodies-online.cn

OAT 抗体

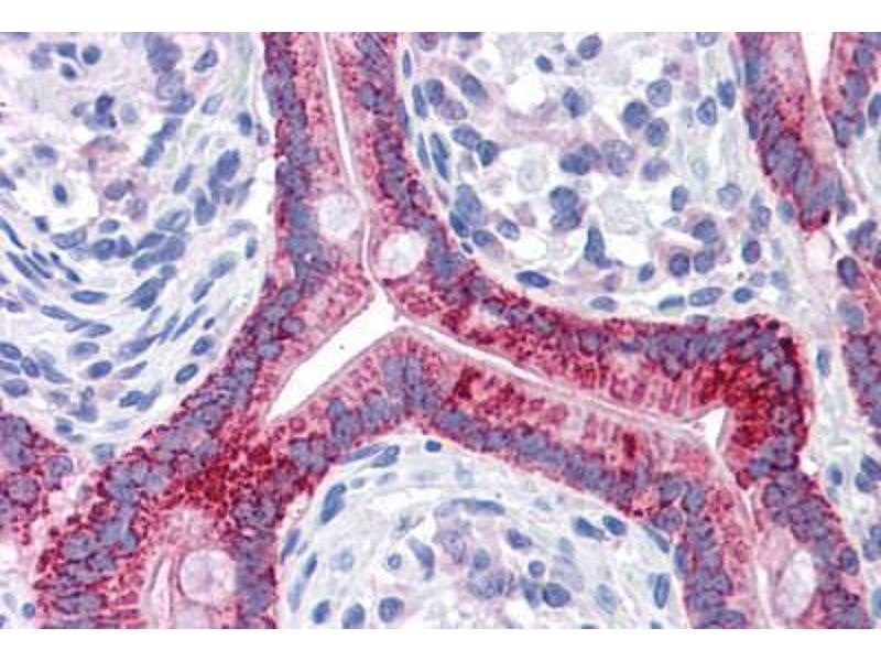
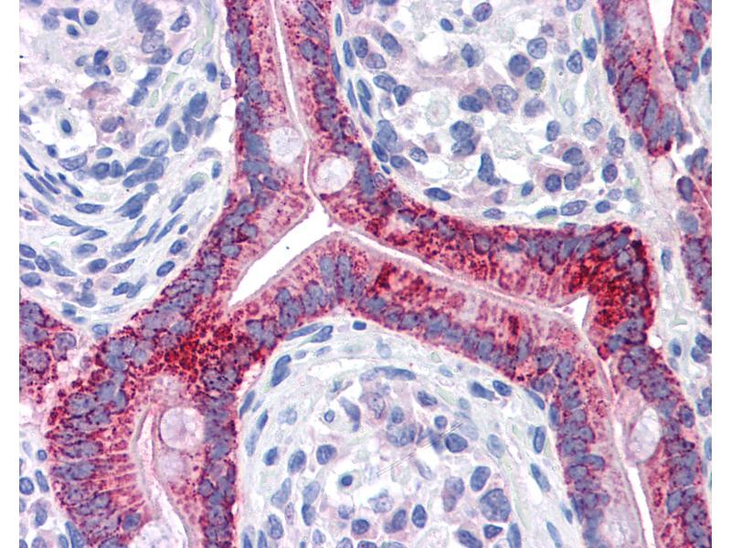
This 小鼠 单克隆 antibody specifically detects OAT in IHC 和 IHC (p). It exhibits reactivity toward 人.
产品编号 ABIN574114
发货至: 中国
Contact our Customer Service for availability and price in your country. Contact Info

Our Local Distributor

中国
北京 101111
No. 88 KeChuang 6th Street
Beijing Economic Technological Development Area
Room 801-803
4A Biotech Co.,Ltd.
Tel +86 (0512) 65829739 传真 +86 (010) 6788 5057

Quick Overview for OAT 抗体 (ABIN574114)

抗原

See all OAT 抗体
OAT (Ornithine Aminotransferase (OAT))

适用

  • 45
  • 21
  • 20
  • 4
  • 4
  • 4
  • 3
  • 3
  • 3
  • 3
  • 1
  • 1
  • 1
  • 1

宿主

  • 44
  • 2
小鼠

克隆类型

  • 44
  • 2
单克隆

标记

  • 27
  • 3
  • 2
  • 2
  • 2
  • 2
  • 2
  • 2
  • 1
  • 1
  • 1
  • 1
This OAT antibody is un-conjugated

应用范围

  • 30
  • 14
  • 10
  • 6
  • 5
  • 4
  • 3
  • 3
  • 1
Immunohistochemistry (IHC), Immunohistochemistry (Paraffin-embedded Sections) (IHC (p))

克隆位点

AT23A2
  • 特异性

    Human OAT

    纯化方法

    Protein G purified

    免疫原

    Recombinant human OAT

    Type of Immunogen: Recombinant protein

    亚型

    IgG1 kappa
  • 应用备注

    Approved: IHC, IHC-P (5 μg/mL)

    说明

    Target Species of Antibody: Human

    限制

    仅限研究用
  • 状态

    Liquid

    浓度

    Lot specific

    缓冲液

    Phosphate buffered saline,  pH 7.4, 0.1 % sodium azide

    储存液

    Sodium azide

    注意事项

    This product contains Sodium azide: a POISONOUS AND HAZARDOUS SUBSTANCE which should be handled by trained staff only.

    注意事项

    avoid freeze thaw cycles. Store undiluted.

    储存条件

    4 °C,-20 °C

    储存方法

    Short term 4°C, long term aliquot and store at -20°C, avoid freeze-thaw cycles. Store undiluted.
  • 抗原

    OAT (Ornithine Aminotransferase (OAT))

    背景

    Name/Gene ID: OAT

    Synonyms: OAT, GACR, HOGA, OKT, Gyrate atrophy, OATASE, Ornithine aminotransferase

    基因ID

    4942

    UniProt

    P04181
You are here: