电话:
+86 (0512) 65829739
传真:
+86 (010) 6788 5057
电子邮件:
orders@antibodies-online.cn

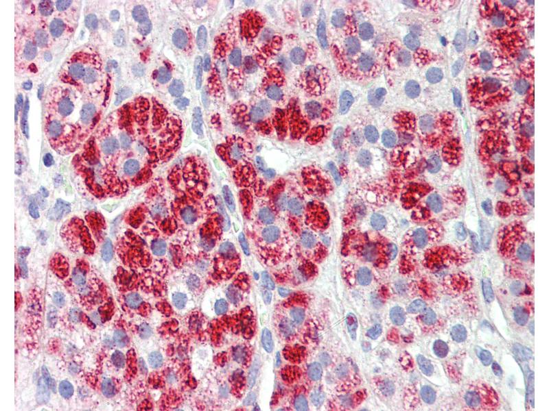
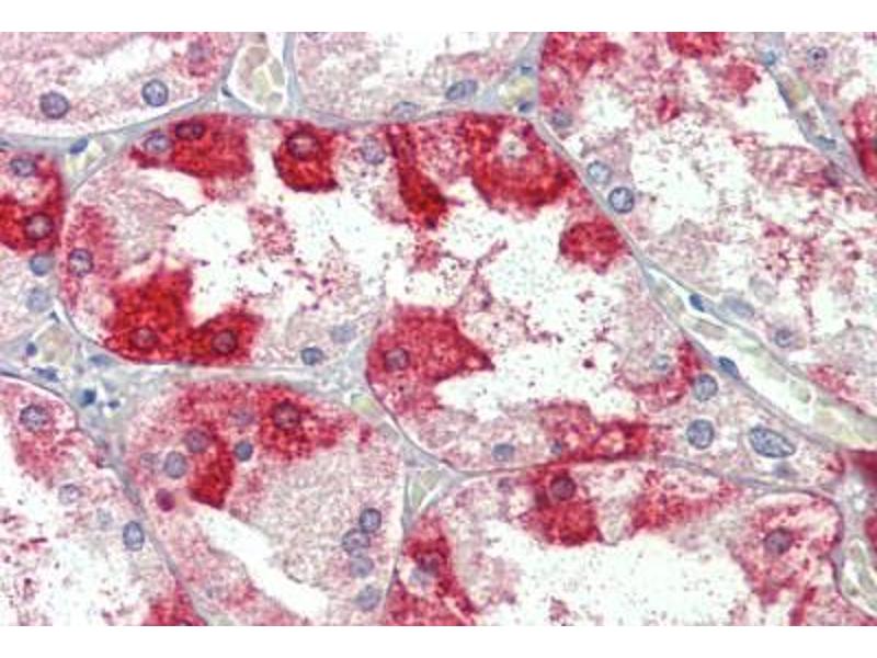
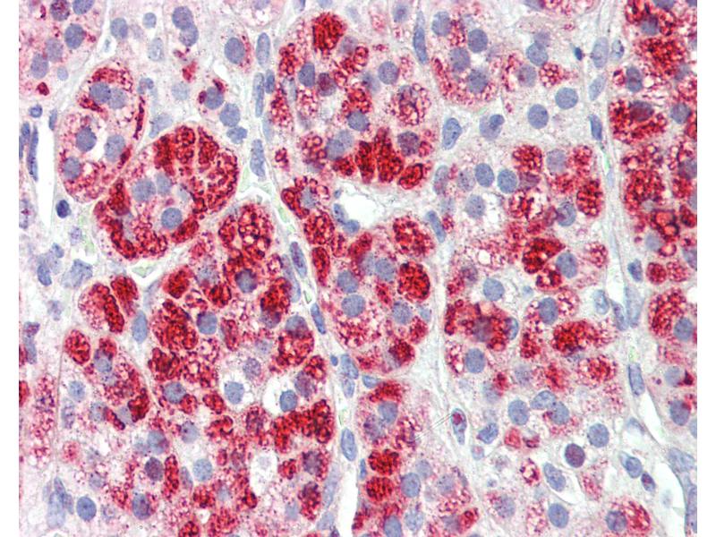
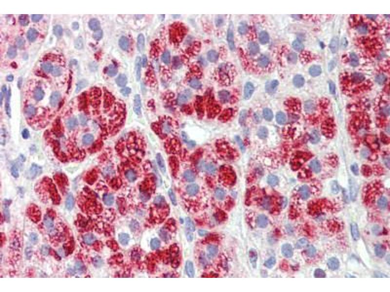
Clathrin Heavy Chain (CLTC) (AA 1617-1630) 抗体

The 山羊 多克隆 anti-Clathrin Heavy Chain antibody is suitable to detect Clathrin Heavy Chain in samples from 人, 小鼠, 大鼠, Cow, Pig, 犬, 非洲爪蟾, 猴, 兔, 小鸡, 马, 斑马鱼 和 Bat. It has been validated for IHC 和 IHC (p).
产品编号 ABIN574100
发货至: 中国
Contact our Customer Service for availability and price in your country. Contact Info

Our Local Distributor

中国
北京 101111
No. 88 KeChuang 6th Street
Beijing Economic Technological Development Area
Room 801-803
4A Biotech Co.,Ltd.
Tel +86 (0512) 65829739 传真 +86 (010) 6788 5057

Quick Overview for Clathrin Heavy Chain (CLTC) (AA 1617-1630) 抗体 (ABIN574100)

抗原

See all Clathrin Heavy Chain (CLTC) 抗体
Clathrin Heavy Chain (CLTC)

适用

  • 124
  • 88
  • 71
  • 17
  • 16
  • 14
  • 12
  • 11
  • 11
  • 4
  • 4
  • 4
  • 3
  • 3
  • 1
  • 1
  • 1
  • 1
  • 1
  • 1
  • 1
  • 1
  • 1
  • 1
  • 1
人, 小鼠, 大鼠, Cow, Pig, 犬, 非洲爪蟾, 猴, 兔, 小鸡, 马, 斑马鱼, Bat

宿主

  • 95
  • 32
  • 4
  • 1
山羊

克隆类型

  • 68
  • 64
多克隆

标记

  • 46
  • 10
  • 5
  • 4
  • 4
  • 4
  • 4
  • 4
  • 4
  • 4
  • 2
  • 2
  • 2
  • 2
  • 2
  • 2
  • 2
  • 2
  • 2
  • 2
  • 2
  • 2
  • 2
  • 2
  • 2
  • 2
  • 2
  • 2
  • 2
  • 2
  • 1
  • 1
  • 1
非结合性

应用范围

  • 97
  • 47
  • 38
  • 28
  • 23
  • 16
  • 13
  • 13
  • 7
  • 6
  • 4
  • 3
  • 2
  • 1
  • 1
Immunohistochemistry (IHC), Immunohistochemistry (Paraffin-embedded Sections) (IHC (p))
  • 抗原表位

    • 15
    • 12
    • 7
    • 5
    • 4
    • 4
    • 3
    • 2
    • 2
    • 2
    • 2
    • 2
    • 2
    • 1
    • 1
    • 1
    • 1
    • 1
    AA 1617-1630

    特异性

    Human CLTC.

    预测反应

    Percent identity by BLAST analysis: Human, Gorilla, Gibbon, Monkey, Marmoset, Mouse, Rat, Elephant, Panda, Dog, Bat, Bovine, Horse, Rabbit, Pig, Opossum, Turkey, Chicken, Platypus, Xenopus, Zebrafish (100%) Stickleback (93%) Pufferfish (86%).

    纯化方法

    Immunoaffinity purified

    免疫原

    Synthetic peptide C-ESLRKEEEQATETQ from an internal region (near C-terminus) of human CLTC (NP_004850.1). Percent identity by BLAST analysis: Human, Gorilla, Gibbon, Monkey, Marmoset, Mouse, Rat, Elephant, Panda, Dog, Bat, Bovine, Horse, Rabbit, Pig, Opossum, Turkey, Chicken, Platypus, Xenopus, Zebrafish (100%), Stickleback (93%), Pufferfish (86%).

    Type of Immunogen: Synthetic peptide
  • 应用备注

    Approved: IHC, IHC-P (3.75 μg/mL)

    Usage: Immunohistochemistry: This antibody was validated for use in immunohistochemistry on a panel of 21 formalin-fixed, paraffin-embedded (FFPE) human tissues after heat induced antigen retrieval in  pH 6.0 citrate buffer. After incubation with the primary antibody, slides were incubated with biotinylated secondary antibody, followed by alkaline phosphatase-streptavidin and chromogen. The stained slides were evaluated by a pathologist to confirm staining specificity. The optimal working concentration for this antibody was determined to be 3.75 μg/mL

    说明

    Target Species of Antibody: Human

    限制

    仅限研究用
  • 状态

    Liquid

    浓度

    Lot specific

    缓冲液

    Tris-buffered saline,  pH 7.3, 0.5 % BSA, 0.02 % sodium azide

    储存液

    Sodium azide

    注意事项

    This product contains Sodium azide: a POISONOUS AND HAZARDOUS SUBSTANCE which should be handled by trained staff only.

    注意事项

    Minimize freezing and thawing.

    储存条件

    -20 °C

    储存方法

    Store at -20°C. Avoid freeze-thaw cycles.
  • 抗原

    Clathrin Heavy Chain (CLTC)

    别名

    CLTC / Clathrin

    背景

    Name/Gene ID: CLTC

    Synonyms: CLTC, Clathrin, heavy chain, CLH17, CLTCL2, CHC, CHC17, Clathrin heavy chain 1, CLH-17, KIAA0034, Hc, Clathrin Heavy Chain, Clathrin, heavy chain (Hc)

    基因ID

    1213

    NCBI登录号

    NP_004850

    UniProt

    Q00610
You are here: