电话:
+86 (0512) 65829739
传真:
+86 (010) 6788 5057
电子邮件:
orders@antibodies-online.cn

TMEM205 抗体 (AA 142-151)

The 山羊 多克隆 anti-TMEM205 antibody (ABIN571263) specifically detects TMEM205 in ELISA, WB 和 IHC. The antibody is reactive with 人 samples.
产品编号 ABIN571263
发货至: 中国
Contact our Customer Service for availability and price in your country. Contact Info

Our Local Distributor

中国
北京 101111
No. 88 KeChuang 6th Street
Beijing Economic Technological Development Area
Room 801-803
4A Biotech Co.,Ltd.
Tel +86 (0512) 65829739 传真 +86 (010) 6788 5057

Quick Overview for TMEM205 抗体 (AA 142-151) (ABIN571263)

抗原

See all TMEM205 抗体
TMEM205 (Transmembrane Protein 205 (TMEM205))

适用

宿主

  • 8
  • 1
山羊

克隆类型

  • 9
多克隆

标记

  • 3
  • 2
  • 2
  • 2
This TMEM205 antibody is un-conjugated

应用范围

ELISA, Western Blotting (WB), Immunohistochemistry (IHC)

质量等级

Verified
  • 抗原表位

    • 8
    • 1
    AA 142-151

    原理

    TMEM205 (aa142-151)

    序列

    QLREKDPKYS

    特异性

    Reported variants represent identical protein: NP_940938.1, NP_212133.1, NP_001138888.1.

    交叉反应

    人, 小鼠, 大鼠

    纯化方法

    Purified from goat serum by ammonium sulphate precipitation followed by antigen affinity chromatography using the immunizing peptide.

    免疫原

    C-QLREKDPKYS

    亚型

    IgG
  • 应用备注

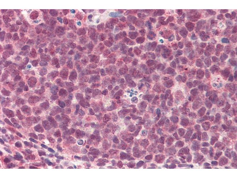
    Immunohistochemistry: Paraffin embedded Human Tonsil. Recommended concentration: 5 μg/mL.

    Western Blot: Approx 22 kDa band observed in Human Pancreas lysates (calculated MW of 21.2 kDa according to NP_212133.1). Recommended concentration: 0.03-0.1 μg/mL. Primary incubation was 1 hour.

    Peptide ELISA: antibody detection limit dilution 1:16000.

    限制

    仅限研究用
  • 状态

    Liquid

    浓度

    0.5 mg/mL

    缓冲液

    Supplied at 0.5 mg/mL in Tris saline, 0.02 % sodium azide, pH 7.3 with 0.5 % bovine serum albumin.

    储存液

    Sodium azide

    注意事项

    This product contains Sodium azide: a POISONOUS AND HAZARDOUS SUBSTANCE which should be handled by trained staff only.

    注意事项

    Minimize freezing and thawing.

    储存条件

    -20 °C

    储存方法

    Aliquot and store at -20°C, with minimal freeze/thawing. A working aliquot may be refrigerated at 4°C for a few weeks and still remain viable.
  • 抗原

    TMEM205 (Transmembrane Protein 205 (TMEM205))

    别名

    TMEM205

    背景

    TMEM205, transmembrane protein 205, MGC110858, MGC3205, UNQ501, MBC3205

    基因ID

    374882, 235043, 300441

    NCBI登录号

    NP_212133
You are here: